前 略
この度、近代出版より2014年9月30日に『エビデンス血液形態学』(B5版.348頁)を発行しました。これは『形態学からせまる血液疾患』(近代出版.1999)に継ぐものとなります。
本書は、“何でそうなるの? 痒いところに手が届く”を重点に、形態検査のながれを振り返り、形態学の定性評価を可能な限り定量評価にもっていくことや病態生理学的根拠を追究し経験のビジュアル化を目指しました。
学生諸君には血液形態学を馴染んでいただくために、スケッチによる「細胞描写法」や細胞の鑑別をわかりやすく解説した「細胞の綴り方鏡室」を盛り込み、現場の技師諸氏には、見逃しが許されない細胞を“形態パニック値”と称し、その捉え方と報告法についても触れてみました。
本書の執筆者の皆さんは、各専門分野に活躍している九州の医師、臨床検査技師で、講演会や研修会などの質問事項をもとに執筆して頂きました。
本書が日常の血液形態検査のガイドブックとして、形態診断ならびに臨床診断への手助けとなればこの上ないことです。
草々
形態マガジン号キャプテン 阿南 建一 
今回は末梢血と骨髄の細胞同定と特殊染色に挑戦します。
末梢血と骨髄像では、鑑別を要する細胞を提示しました。
特殊染色はPAS染色の判定に挑みます。PAS陽性、陰性の意義や判定の捉え方に注目してみました。
末梢血・骨髄像の細胞同定をリストより選んで下さい。
PB-MG×600

PB-MG×1000

BM-MG×1000

末梢血のPAS染色の所見から設問に答えて下さい。
PB-MG ×1000


PB-PAS ×1000







(CASE A) 1-③.分葉核球、2-⑤.単球、3-④.リンパ球
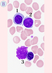
(CASE B) 1-④.リンパ球、2-④.リンパ球、3-⑦.多染性赤芽球
(CASE C) 1-⑦.多染性赤芽球、2・3・4-⑨.形質細胞
(CASE A)
1.は核糸に連結された分葉核球です。2.は棒状の核より桿状核球を思い浮かべますが、核網工の繊細さや細胞質の灰青色と空胞の所見より単球に同定しました。 3.は核形不整より単球を思い浮かべますが、小型で核網工の粗剛さや細胞質の淡青色とやや粗大のアズール顆粒を有することよりリンパ球に同定しました。
(CASE B)
1.と2.は類似した細胞と思われます。共に大きさは14μm大の小型で、核は中心性、 核網工は粗剛で、細胞質は軽度の塩基性を呈し、2.は僅かにコブ状の突起がみられます。これらの所見はリンパ球の形態であり、小リンパ球はもともと好塩基性の 細胞質を有しますので異型リンパ球に同定されないことです。
(CASE C)
骨髄では鑑別を要する細胞の一つです。大きく異なる点は、核の位置、核網工、細胞質の色調です。1.は核中心性でクロマチンの結節が顕著(濃染状)で多染性の色調より多染性赤芽球に同定しました。2・3・4は核偏在性で核網工は粗剛、不規則性の細胞質は強度の好塩基性と核周明庭がみられることより形質細胞に同定しました。



(設問1-A) A.はALLのMG染色とPAS染色です。
(設問2-B) CMLの末梢血におけるPAS染色です。
(設問1-A)
中央上の細胞は小型で核網工が粗剛よりリンパ球と思われますが、下の細胞 はN/C比は高く、核形不整がみられ、クロマチンはやや繊細のようでリンパ芽球を思わせます。PAS染色で、1.は点状(dot状)陽性を呈したリンパ芽球ですが、2.と3.は陰性のリンパ球と思われます。陰性のリンパ球は1.に比べ中~大型リンパ球で、N/C比が低く正常リンパ球のようです。正常リンパ球はPAS染色にほぼ陰性ですが、リンパ芽球は陽性の頻度が高く、点状や粗大顆粒状の陽性はリンパ芽球の特徴的な所見になります。
(設問2-B)
CMLでは顆粒球系細胞の増殖のもと好塩基球や好酸球の増加が特徴的です。なかでも好塩基球は好中球との鑑別が重要で、前者は粗大の紫黒色の粗大顆粒を有することや水溶性の性質から染色の過程で顆粒が抜け出た後の空胞化がポイントになります。B.CMLのPAS染色で、1.は塊状~粗大顆粒状を呈した好塩基球で、2.は細顆粒状~びまん性陽性の好中球です。染色性の違いを把握しましょう。PAS染色のついては、第32回にも赤芽球、微小巨核球、単芽球の染色性についても提示していますが、本例のようなリンパ芽球や好塩基球の染色性は特徴的な所見ですので認識しておく必要があります。
これから先のページでは、医療関係者の方々を対象に医療機器・体外診断薬等の製品に関する情報を提供しております。当社製品を適正に使用していただくことを目的としており、一部の情報では専門的な用語を使用しております。
一般の方への情報提供を目的としたものではありませんので、ご了承ください。
医療関係者の方は、次のページへお進みください。
(お手数ですが、「進む」ボタンのクリックをお願いします)