前 略
今回は、急きょ執筆活動について最近のものと過去のものを少し振り返ってみたいと思います。 昨年は三冊目となる血液形態学書として「エビデンス血液形態学」(近代出版.2014)を出版させて頂きました。そして今年は、「白血病診療Q&A~一つ上を行く診療の実践~」(中外医学社.2015.4)と臨床検査「特集.血液細胞形態編判読の極意」(医学書院.vol.59,No.7,2015.7)において執筆のチャンスを戴きました。
前者は、監修された松村到先生(近畿大学医学部血液・膠原病内科教授)のご配慮によるもので、医師52名のなかに技師として加えて下さいました。Ⅰ-基礎事項:5.形態異常の定義とは? と6.形態異常から染色体異常を予測できるか ?(p23-33)を担当しましたが、1人では心細かったものですから、染色体・遺伝子にご専門の三浦偉久男先生(聖マリアンナ医科大学血液・腫瘍内科学教授)に加わって頂きました。以前、医師と共執させて頂いたなかに「三輪血液病学(第3版)」(文光堂.2006)があります。この時は、浅野茂隆先生(東京大学名誉教授)のご配慮によるもので、Ⅲ.白血球-A.顆粒球の形態(p262-276、カラー付図36枚)を担当しました。この成書は日本のそうそうたる血液学者143名が名を揃え、なんとページ数は2070、成書の厚さは6cm、価格は4,5000円とすべてビッグでした。
後者は、監修された佐藤尚武先生(順天堂大学医学部・大学院医学研究科)のご配慮によるもので、末梢血液像の観察ポイント(p664-671)を担当させて頂きました。「血液細胞形態判読の極意」というテーマでしたので、現場の技師が形態診断を行う上における問題点に着眼し、その打開策について取り組んでみました。
過去を振り返り、浅学の身ながら臨床の先生の枠に入らせて頂き執筆することができたことは名誉なことで、何よりも貴重な財産となっています。まだまだ、先を眺めて進みたいと思います。
草々
形態マガジン号キャプテン 阿南 建一 

松村 到 監修
(中外医学社.2015.4)

佐藤尚武 監修
(医学書院.2015.7)

浅野茂隆・池田康夫・内山 卓 監修
(文光堂.2006.1)

阿南建一 監修
(近代出版.2014.9)
今回は末梢血液像および骨髄像の細胞同定と診断に挑みます。
細胞同定には共に正常なものから見逃してはいけないもの、また鑑別を要する細胞を提示してみました。
症例は稀なものであるが、周囲の類似疾患との鑑別には認識しておくことが必要です。臨床症状や形態学的特徴を持ち合わせた疾患でもありますので、類似疾患も考えながら診断を試みて下さい。
末梢血液像の細胞同定をリストより選んで下さい。


骨髄像の細胞同定をリストより選んで下さい。

末梢血・骨髄像から考えられる疾患をリストより選んで下さい。
PB-MG ×1000

BM-MG ×1000

問題 1
(正解と解説)
末梢血液像の細胞同定です。ここでは、リンパ球と異常リンパ球そして好中球を出題しました。
【正解】
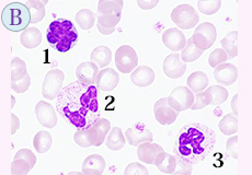
(CASE A) 1-③.異型リンパ球、2-②.リンパ球(CASE B) 1-④.異常リンパ球、2-⑥.分葉核球、3-⑥.分葉核球
【解説】


問題 2
(正解と解説)
骨髄像の細胞同定です。ここでは、赤芽球系、骨髄芽球、単球を出題しました。
【正解】
1-⑤.多染性赤芽球、2-③.前赤芽球、3-⑪.フェラタ細胞、4-⑧.単球、5-①.骨髄芽球、6-⑩.分葉核球
【解説】

問題 3
(正解と解説)
【正解】
③.前リンパ球性白血病(prolymphocytic leukemia: PLL)
【解説】
(PB-MG ×1000)
(BM-MG ×1000)
【PLLの分類 (Galton.1974)】
これから先のページでは、医療関係者の方々を対象に医療機器・体外診断薬等の製品に関する情報を提供しております。当社製品を適正に使用していただくことを目的としており、一部の情報では専門的な用語を使用しております。
一般の方への情報提供を目的としたものではありませんので、ご了承ください。
医療関係者の方は、次のページへお進みください。
(お手数ですが、「進む」ボタンのクリックをお願いします)