前 略
1年の締めくくりとして、今、後進に伝えたいことを2点に絞りお話してみたいと思います。
それは約40年の技師生活のなかからと、学生教育に携わっている現状から気づいたことです。
1つは臨床検査技師として臨床研究グループに積極的に参画することと、もう1つは教育施設と臨床現場の双方向性についてです。
臨床検査技師は、日頃より臨床とのコンセンサスをとりながら高度な臨床診断を目指すことが 求められます。これで十分なのですが、施設外活動の一環として臨床研究グループに参画して、技師が生かせる場にも目を向けて欲しいと思います。私は在職中に全国レベルの小児がん白血病研究グループ(CCLSG)と九州山口小児がん研究グループ(KYCCSG)の2つのグループに所属し、形態中央診断の業務を担当させてして頂きました。18年間に約3,000例を経験し、形態診断の重圧を感じながらも全国の小児科医とコンタクトをとりながら、治療の知識や形態診断の向上につながったことは事実です。退職後、2011年より小児グループが1つに結束された日本小児白血病・リンパ腫研究グループ(JPLSG)において、再び形態中央診断部(今回はALL)に参画し、これまで約1300例のALLの初発から治療後の形態管理を担当しております。
教育施設に関しては2施設の“血液形態学”を中心に講義・実習を担当させて頂いておりますが、顕微鏡実習を例にあげると、施設間に指導内容や指導方法に統一性が見当たりません。形態学は即習得することは困難であり、せめて教育施設で基本から応用を学び、臨床現場で実践を経験することが理想と思われます。すなわち、二者間には“架橋結合” たるものが存在すべきと思われますが、現状はお互い任せの感があるようです。これを打破するには、日本臨床検査学教育協議会(2006)、臨床検査技師教育臨地実習ガイドライン(日本臨床検査技師会.2013)などを参考に臨床検査技師教育の水準向上を図り、果ては臨床現場との双方向性が1本線になるように勝手ながら期待したいと思います。
草々
形態マガジン号キャプテン 阿南 建一 
=訂正とお詫び=

昨年9月に近代出版より発行しました『エビデンス血液形態学』に訂正がありましたので謹んでお詫び申し上げます。
[訂正箇所]
P.7の3)塗抹に潜むこと‥7行目
22%アルブミン添加血液(アルブミン1:9血液)で処理した後の‥
本年の最後の問題となります。本年もお付き合い下さいましてありがとうございました。
今回は末梢血液像および骨髄像の細胞同定と光顕的診断に挑みます。
末梢血液像では類似細胞を提示しましたので鑑別を試みてください。
骨髄像は空胞を有する非ホジキンリンパ腫細胞を提示しましたので、考えられる悪性リンパ腫を考えてみてください。
症例につきましては白血病を提示しましたので光顕的診断を試み、そしてその疾患に必要な検査所見も考えてください。
末梢血液像の細胞同定を行ってください
PB-MG×1000

PB-MG×1000

PB-MG×1000

PB-MG×1000

PB-MG×1000

PB-MG×1000

骨髄像の細胞同定を行ってください。
BM-MG×1000

BM-MG×1000

BM-MG×1000

BM-MG×1000

骨髄の光顕的診断を行い必要な検査を考えてください。
BM-MG×1000

BM-PO×1000

BM-αNA/EST×1000

BM-ACP×1000

問題 1
(正解と解説)
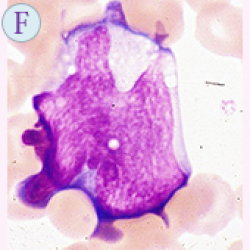
末梢血液像の鑑別細胞を提示しました。AとB、CとD、EとFがそれぞれ鑑別細胞になります。
【正解】
(CASE A) ②.分葉核球、(CASE B) ③.単球、(CASE C) ⑦.有核赤血球
(CASE D) ④.リンパ球、(CASE E) ⑤.異型リンパ球、(CASE F) ⑥.異常リンパ球
【解説】






問題 2
(正解と解説)
空胞を有する細胞は様々ありますが、骨髄像にみられた非ホジキンリンパ腫の細胞を提示しました。
Cは特徴的なものとして、BとDは症例の中に空胞を有するものがあるという認識から提示しました。もちろん空胞の所見のみで診断することはありませんので注意してください。
【正解】
(CASE A) ②.びまん性大細胞型B細胞性リンパ腫(DLBCL)
(CASE B) ④.成人T細胞白血病/リンパ腫(ATLL)
(CASE C) ①.バーキットリンパ腫(BL)
(CASE D) ④.成人T細胞白血病/リンパ腫
【解説】



問題 3
(正解と解説)
急性巨核球性白血病の例を提示しました。特殊染色ではペルオキシダーゼ(PO)染色、アセテートエステラーゼ(A-EST)染色、酸ホスファターゼ(ACP)染色を供覧します。
【正解】
④.AML-M7
【正解と解説】




これから先のページでは、医療関係者の方々を対象に医療機器・体外診断薬等の製品に関する情報を提供しております。当社製品を適正に使用していただくことを目的としており、一部の情報では専門的な用語を使用しております。
一般の方への情報提供を目的としたものではありませんので、ご了承ください。
医療関係者の方は、次のページへお進みください。
(お手数ですが、「進む」ボタンのクリックをお願いします)