前 略
1616年(約400年前)徳川家康が薨去(こうきょ)されると、福岡藩初代藩士の黒田長政(黒田官兵衛の息子)は報恩の気持ちから家康公を祀る神社、日光東照宮(栃木)に石の大鳥居を寄進したと言われています。
長政は天下分け目の関ヶ原の戦い(1600年)の手柄により、家康公から筑前に52万3千石の領地を与えられ、その恩義として、郷土福岡の巨石を日光まで運び、建立するという前代未聞の壮大で画期的な事業を成し遂げたのです。その石材は花崗岩で、筑前国の親山(現.可也山 かやさん)で切り出し、60トンにもおよぶ15個の石を船に乗せ、可也の入り江から玄界灘、関門海峡、四国沖、紀伊半島の南端、太平洋を航海し江戸湾に入り、利根川、渡良瀬川(栃木)を経て上陸し、修羅(しゅら)という木製のソリに乗せ、牛や人力で引いて日光まで運び1618年に建立したと言われます。その道のりは約1,400kmにも及び、当時としては想像を絶する移動距離だったと思われます。黒田家の家譜には、「大石を多くはこび来り、寄進し給ふ事、誠にあつき志なり。石は永久に伝はる物なれば、万世までも御廟と共に朽せざるべし」とあり、大鳥居は黒田家の徳川家に対する忠誠を表わすものであったと思われます。
その巨石を切り出した可也山は、自宅の近隣に位置する標高365mの糸島富士ともよばれている山です。万葉集15巻のなかに“草枕 旅を苦しみ 恋ひおれば可也の山辺に さ雄鹿鳴くも”と詠まれているように古くから知られた山で、山腹は大部分が花崗閃緑岩(かこうせんりょくがん)から成り、頂上付近には火山活動で噴出した玄武岩がみられ、山頂には神武天皇を祭る「可也山神社」があり、その先200mには360度の展望が開け、眼下には玄界灘が広がります。良質の花崗岩は、江戸時代初期から近代に至るまで、城や寺社などの石造物の材料として利用されているようです。
私は福岡県糸島市の可也山の麓に住むこと8年になりますが、つい先日この“可也山と日光東照宮”の関係をTV放映で初めて知り、早速年明けの10日(日)に“石切り場”の探索に出かけました。山腹あたりに確かに“石切り場跡”があり、そこには明確に遡及(そきゅう)できる石切り場は確定されていないと説明されていますが、巨石に残る石割りの矢穴(楔痕くさびあと)が往時の様子を偲ばせているようでした。
日本三大石鳥居*の1つとされる日光東照宮は高さ9mで、江戸時代に建てられた石鳥居としては日本最大とされ、全体の重量を巧妙に計算し石材を組み合わせただけのものとされていますが、日光大地震(1683年)の際は僅かなズレが生じただけだったそうです。鳥居に刻み込まれた黒田長政の名前は後世に引き継がれています。
遠き昔、糸島が「伊都国いとこく」と呼ばれ朝鮮・中国と文化交流が栄えた時代、入港の際には「可也山」がいつも目印にあったとも言われています。黒田家の大事業のルーツが我が町糸島の小さな山にあったとはとても感慨無量です。(*ほかに八坂神社(京都)、鶴岡八幡宮(鎌倉)だそうです)
(資料:伊都国歴史博物館)
草々
形態マガジン号キャプテン 阿南 建一 

今回は骨髄像の細胞同定と光顕的診断に挑みます。
骨髄像の細胞同定では同系の鑑別と類似細胞を提示しました。
両者とも、お互いの鑑別ポイントをしっかり捉えることが大事になります。
ただ、今回は選択肢がありませんので試行錯誤の上挑戦してみてください。
光顕的診断については、非ホジキンリンパ腫の骨髄浸潤を提示しました。
これらはMG染色で形態学的特徴を加味備えたリンパ腫細胞と思われますので、そのポイントをしっかり捉え、疾患に必要な検査所見も考えてみてください。
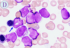
骨髄の細胞同定を行ってください。今回は選択細胞がありませんのでお考えください。
BM-MG×1000

BM-MG×1000

BM-MG×1000

BM-MG×1000

骨髄の細胞同定を行ってください。非ホジキンリンパ腫の骨髄浸潤ですがどの疾患が疑われますか。診断に有効となる形態的所見と検査所見を考えてください。
BM-MG×1000

BM-MG×1000

BM-MG×1000

BM-MG×1000

BM-MG×1000

BM-MG×1000

問題 1
(正解と解説)
骨髄の細胞同定ですが、今回は選択細胞がありませんでしたが如何でしたでしょうか ?
赤芽球、好中性顆粒球、単球、大型細胞を提示しました。赤芽球の同定は前回同様に大きさ、核中心性、細胞質の色調から攻めます。顆粒球系細胞の同定は大きさ、核形から攻めます。顆粒球系細胞の見方は赤芽球と異なり、低顆粒や脱顆粒など細胞質に変化を来しますので変化の少ない核所見を優位にして同定します。
【正解】
(CASE A) 1-好塩基性赤芽球、2-多染性赤芽球、3-多染性赤芽球
(CASE B) 1-造骨細胞、2-多染性赤芽球、3-赤分核(赤芽球の分裂像)
(CASE C) 1-前骨髄球、2-桿状核球、3-単球、4-桿状核球、5-前骨髄球、6-後骨髄球、7-後骨髄球
(CASE D) 1-単球、2-好塩基球
【解説】




問題 2
(正解と解説)
形態学的特徴を有する非ホジキンリンパ腫例を提示しました。これらは末梢血にも出現し、白血病として診断づけられるものもあります。提示例の細胞は小型~中型の大きさで、特徴的な形態所見は意外にも散見的です。比較対照疾患は慢性リンパ性白血病(CLL)の小型~中型リンパ球になりますのでしっかり捉えて下さい。尚、確定診断は表面形質、染色体・遺伝子などになりますのでWHO.2008の検査所見を閲覧下さい。A.のみ自然乾燥塗抹標本です。
ここでインシデントがありました! E.の選択疾患に記載漏れがありましたことをお詫びいたします。
【正解】
(CASE A) ⑤.ヘアリー細胞白血病、(CASE B) ⑦.成人T細胞白血病、 (CASE C) ③.マントル細胞リンパ腫
(CASE D) ②.濾胞性リンパ腫、 (CASE E) リンパ形質細胞性リンパ腫、 (CASE F) ⑥.前リンパ球性白血病
【解説】

(CASE A)
小型で核は円形でほぼ中心性、細胞質の絨毛状(→)の突起が特徴です(ヘアリー細胞白血病)
(CASE B)
小型で核は円形から類円形、核形不整(→)のものが多く、一般に核の濃染状が特徴です(成人T細胞白血病-慢性型)
(CASE C)
中型で細胞質はやや広く、核形不整(狭くて浅い切れ込み→)が特徴です(マントル細胞リンパ腫)
(CASE D)
小型で核形不整(狭くて核中心に深い切れ込み→)が特徴です(濾胞性リンパ腫)
(CASE E)
小型で細胞質に小さなコブ状の突起を有し核偏在が特徴です(リンパ形質細胞性リンパ腫)
(CASE F)
中型で細胞質にコブ状の突起を有し核形不整や核小体を有することが特徴です(前リンパ球性白血病)
これから先のページでは、医療関係者の方々を対象に医療機器・体外診断薬等の製品に関する情報を提供しております。当社製品を適正に使用していただくことを目的としており、一部の情報では専門的な用語を使用しております。
一般の方への情報提供を目的としたものではありませんので、ご了承ください。
医療関係者の方は、次のページへお進みください。
(お手数ですが、「進む」ボタンのクリックをお願いします)