前 略
わが家の一員に熱帯魚、金魚そして目高くんたちがおりますが、今回は目高くんについて紹介します。
“目高って、メダカのこと?”、はい、そうです! 恥ずかしながら私も最近知ったのですが、そもそも高い位置に目があるように見えることから名付けられたようで、漢字では「目高」と書くそうです。昔から、メダカを食べると目が出るとかよくなるなど、地方によって様々な俗信があるようですが、このメダカの目に印象づけられた言い伝えとされます。メダカはダツ目メダカ科の淡水魚で体長は3センチ、細長く目が大きいことが特徴です。幼少の頃、小川の水遊びで一緒に慣れ親しんだものですが、まさかこの時代、町なかのペットショップで購入するとは想像もしておりませんでした。
さて、夏を迎えメダカの産卵期に備え、今年も水草(ホテイ草)を購入し、玄関先の水瓶と部屋の水槽に入れ産卵を待つことにしました。早速、7月18日(海の日)の朝取り出したホテイ草を、翌日、目を細めかつ拡大鏡で覗きこみますと、何と目玉の集団を発見、感動の一瞬です!! 今年はきっと豊穣会のような感じがします。親メダカに食べられないように、今は5日おきにホテイ草を入れ替えたりしてさらなる産卵を期待しています。ここ数年、不作でありましたのでこの感動は隠せません。
メダカの産卵は、メスが卵を腹にぶら下げるように産み、それにオスが受精し、水草に受精卵を産みつけるそうです。せっかく産んだ卵は狭い水槽のなかでは親メダカに食べられてしまうので、上手に孵化させるにはホテイ草を別の容器に移し替えて育てます。ただこの卵を取り出すコツが微妙で、それはまるで判定に苦慮する細胞を同定し得た時の感動に匹敵します。産卵後、水温25℃にて10日位で孵化するそうです。
メダカの世界も産卵にはオスとメスの共同作業になりますが、互いの相性はあるようでそれを見抜くことは素人にとって難しいことです。オスはシリビレが長く大きく、メスはシリビレが小さいと言われますが、大体10匹~20匹購入すれば混ざっているそうです。相性の問題やオスとメスのバランスがうまく行けば当たり年、このバランスが崩壊すれば不作のシーズンとなります。
生まれたてのメダカの稚魚は1~2ミリ位の“針子”と呼ばれ、これから約2週間を乗り切ることがメダカの稚魚の生存率を上げることにつながるそうで、わが家の針子ちゃんたちも丁度その頃を迎え、そして今過ぎようとしています。
全員そろって“メダカの学校”に入学し、親とのご対面を願っている真夏の出来事でした。
草々
形態マガジン号キャプテン 阿南 建一 
|
|
![]() 生後2週間は過ぎ 「メダカの学校」入学式まで後わずか “生まれてくれてありがとう!” |
今回は特殊染色における反応態度の判定とその細胞について提示しました。ちなみにPO染色とPAS染色です。
症例は、臨床経過と検査データをヒントにして骨髄像のMG染色とPO染色から考えられる血液疾患に挑んで下さい。
今回も選択肢がありませんので、特殊染色は系統別の反応所見や症例については約2年前に比べ何が起こっているのかを考えて下さい。
骨髄の特殊染色ですが反応態度の判定とそれは何の細胞ですか。
BM-PO×1000

BM-PAS×1000

検査データと骨髄像より考えられる疾患は何ですか。
【所見】
【54歳.女性】
約2年前、悪性腫瘍と診断され化学療法施行後、汎血球減少を来たし骨髄穿刺が施行されました。
WBC800/μL、RBC209万/μL、Hb7.5g/dL、Ht22.4%、PLT5.2万/μL
(A:約2年前の骨髄、B:今回の骨髄)
BM-MG×400

BM-MG×400

BM-MG×1000

BM-PO×1000

問題 1
(正解と解説)
骨髄の特殊染色の判定と細胞同定に挑みます。
A.はペルオキシダーゼ(PO)染色、B.はPAS染色です。
【正解】
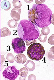
(case A) 1-幼若単球、2-幼若単球、3-好中球、4-好酸球、5-好中球
(case B) 1~3-リンパ芽球
【解説】


問題 2
(正解と解説)
本例は約25年前にさかのぼります。約2年前に右乳癌(充実腺癌)として診断され右乳房切除術(根治手術)が施行されました。その後の化学療法として、Mitomycin C、Cyclophosamideが投与され経過観察されていましたが、 定期検査で汎血球減少を来たし、末梢血に異常細胞が出現されたため骨髄検査が施行されました。
【当時の診断】
二次性白血病(腺癌から急性前骨髄球性白血病への転化)
【解説】
(BM-MG ×400)
(BM-MG ×400)
(BM-MG ×1000)
(BM-PO ×1000)
A.約2年前の骨髄穿刺にて上皮性結合を呈する細胞の集塊がみられます。それらは、不規則な配列を呈し、好塩基性の細胞質は偏在性の核を有し、クロマチンは密に増量し腺癌由来の細胞が考えられます。
B.その2年後の骨髄穿刺は低形成(8.4万/μL)気味で、細胞質に水疱状の突起物を有し、核形不整がみられ、アズール顆粒の出現が乏しい芽球様細胞が95%と増加していました。アウエル小体は散見され、束状(ファゴット)は僅かにみられました。PO染色は末梢血と同様に強い陽性(ベタッとした染まり)でした。
これから先のページでは、医療関係者の方々を対象に医療機器・体外診断薬等の製品に関する情報を提供しております。当社製品を適正に使用していただくことを目的としており、一部の情報では専門的な用語を使用しております。
一般の方への情報提供を目的としたものではありませんので、ご了承ください。
医療関係者の方は、次のページへお進みください。
(お手数ですが、「進む」ボタンのクリックをお願いします)