
前 略
“ままへ。いきてるといいね おげんきですか”
(読売新聞掲載.2011.3.31)
覚えたてのひらがなで4歳の女の子は母親に手紙を書きました。女の子の両親は岩手県宮古市でワカメ養殖を営む漁師で、東日本巨大地震が引き起こした大津波によって両親と妹は引き潮にさらわれ、女の子は背負っていた通園時用のリュックが魚網にひっかかり奇跡的に助かりました。
女の子はママの安否を心配して、覚えたてのひらがなで一生懸命書きとめたあと、ホッとしたのでしょうか、鉛筆をにぎりしめたまま眠りについた姿が誌に掲載されました。
今でも父親と妹の帰りを待っているのでしょう。何度見ても涙が止まりません。
昨年、両陛下が詠まれた歌は被災地の復興を願ったものが多いようでした。 皇后陛下もこの女の子のことを歌に詠まれています。
天皇陛下の歌‥‥大いなるまがのいたみに耐えて生くる人の言葉に心打たる
(被災者を見舞ったときを歌にされたもの)
皇后陛下の歌‥‥文(ふみ)に項傾(うなかぶ)し幼児眠る
(ままへ。生きているといいねを歌にされたもの)
あの未曽有の大災害からもうすぐ1年を向かえようとしています。まだまだ復興の道のりは長いようですが“人の絆”によって明るい兆しも少しずつ見えてきました。私も希望の光を願ってささやかですが応援してゆきたいと思います。
草々
形態マガジン号キャプテン 阿南 建一
今回は好中性顆粒球系と好酸性顆粒球、単球の捉え方に挑戦しました。好中性顆粒球では顆粒の出現 が悪かったり、また、多すぎるほど出現したり、細胞質が二次的変化を起こしやすいことを経験します。従って、 細胞質よりも核所見を優先にして同定することをお薦めします。 好酸性顆粒球では分類の方法としては好 中性と全く同じ要領で同定します。特徴的粗大な好酸性顆粒は幼若型から成熟型につれて紫紅色から青紫 色そして橙赤色(サクランボ)へと変化するようです。青紫色の時代を骨髄標本で遭遇することがありますが、 主要塩基性蛋白(MBP)の前駆体によるものとされ、未熟型にみられるようです。骨髄の単球は末梢血に比 べると骨髄成分によって委縮してみえることがありますが、単球が有する核網と核形不整の特徴がポイントに なります
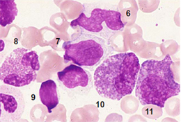
CASE 1-2 における 1~11 の細胞同定を行ってください。
BM-MG×1000

BM-MG×1000

(問題)
CASE 1-2における 1~11の細胞同定を行ってください。
(各設問の選択細胞)
1.骨髄芽球 2.前骨髄球 3.骨髄球 4.後骨髄球 5.桿状核球 6.分葉核球
7.好酸球 8.幼若好酸球 9.好塩基球 10.単球 11.リンパ球
(BM-MG1000) 
(BM-MG1000) 
これから先のページでは、医療関係者の方々を対象に医療機器・体外診断薬等の製品に関する情報を提供しております。当社製品を適正に使用していただくことを目的としており、一部の情報では専門的な用語を使用しております。
一般の方への情報提供を目的としたものではありませんので、ご了承ください。
医療関係者の方は、次のページへお進みください。
(お手数ですが、「進む」ボタンのクリックをお願いします)