
前 略
“足がパンパンに張って動かない、もう無理だ!”
フルマラソンのスタート地点から35km付近の出来事です。52歳(1999年)から始めたフルマラソンですがいつも苦しみとの闘いで “42.195km”の長丁場には走れる限界を感じております。
これまで12月初旬に開催される沖縄那覇マラソンで4回、その翌週に開催される宮崎青島太平洋マラソンで1回の計5回を完走しました。12月の沖縄は例年25℃前後の気温と前半のアップダウンのコースが素人の私にとって過酷なレースとなり、いつも5時間を超えてしまいます。一方、宮崎では気温16℃と平坦のコースが味方をして4時間45分のベストタイムを計測しました。懲りもせず何度も那覇マラソンに挑戦した理由は毎回完走者に授与される琉球ガラスのメダルです。私にとってはまさに自慢の“四つ星”金メダル”となっております。
那覇マラソンでの4度の完走は、多くの知人のサポートによって達成されたものです。なかでも後輩の娘さん(十歳)が詠われたポエムが私の大きな支えになっております。
“何を思って はしっているのだろう
ひっしになると 何を思うのだろう
何を思っても ひっしにがんばれば それでいい”
日本各地のマラソンブームでジョガーの人口も増え続けています。マラソンは一夜漬けがまかり通らないため、日々の練習がそのまま記録につながります。決して無理をせずに楽しく好きな音楽でも聴きながら、走ったり歩いたりして徐々に距離を長くしていくことが大事です。
私も3年ほどご無沙汰しておりますが苦難の後の喜びを求め、再度挑戦してみたいと思っております。健脚に自信のある皆様も是非如何ですか?
草々
形態マガジン号キャプテン 阿南 建一 
今回は幼若型の単球と好酸球、好塩基球に挑戦しました。単球の分化・成熟は単芽球、前単球、単球の3段階ですが、WHO分類(2008)に初めて分類基準が提唱されました。核網(クロマチン)に絞った所見によると単芽球はレース状、前単球は繊細網状、単球は凝縮状としています。私見ですが単芽球は凝縮状、前単球は繊細網状、単球はレース状として解釈しています。
好酸球、好塩基球の分類基準としては、骨髄球から分類することが一般的であり、前者では好酸性骨髄球・好酸性後骨髄球・好酸球(桿状核球・分葉核球)に、後者では好塩基性骨髄球・好塩基性骨髄球・好塩基球(桿状核球・分葉核球)に分類します。芽球や前骨髄球は幼若型として捉えます。実際には、骨髄で占める割合が少ないために後骨髄球までを幼若型として分類し、成熟型の桿状核球や分葉核球はそのまま分類してもよいと思われます。但し、それらが骨髄や末梢血において幼若型も交え増加する場合には好中性顆粒球の分類に従うことになります。しかし、好酸球の芽球を探すことは困難であり、おそらく骨髄芽球に包括されると思われます。
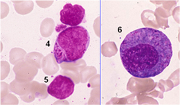
CASE 1-2における 1~ 6の細胞同定を行ってください。
BM-MG×1000

BM-MG×1000

(問題)
CASE 1-2における 1~6の細胞同定を行ってください。
(各設問の選択細胞)
1.骨髄芽球 2.前骨髄球 3.骨髄球 4.後骨髄球 5.幼若好塩基球 6.未熟好酸球 7.リンパ球、8.前赤芽球
9.好塩基性赤芽球 10.多染性赤芽球 11.正染性赤芽球 12.形質細胞 13.幼若単球
(BM-MG1000) 
(BM-MG1000) 
これから先のページでは、医療関係者の方々を対象に医療機器・体外診断薬等の製品に関する情報を提供しております。当社製品を適正に使用していただくことを目的としており、一部の情報では専門的な用語を使用しております。
一般の方への情報提供を目的としたものではありませんので、ご了承ください。
医療関係者の方は、次のページへお進みください。
(お手数ですが、「進む」ボタンのクリックをお願いします)