新型コロナウイルス感染は、首都圏や都市部だけではなく、全国に広がりを見せており感染の再拡大が懸念されています。また、このコロナ禍によってさまざまなイベントがドミノ倒しのように中止に追い込まれ、毎年夏を彩る各地の夏祭りや花火大会も例外ではなく、今年はこれまでにない寂しい夏を迎えようとしています。今回は、沈みがちな気持ちに少しでも元気を届けたいと思い、宮崎県日向(ひゅうが)市の「日向ひょっとこ踊り」を紹介させていただきます。
「日向ひょっとこ踊り」は、毎年8月日向市の伝統文化の継承・観光振興を目的に開催され、老若男女がそれぞれ「ひょっとこ」「おかめ」「きつね」のお面を被り、赤い着物に白い帯、豆絞りの手ぬぐい、足袋の出で立ちでお囃子に合わせ体をくねらせながら踊ります。お面のひょうきんな表情とリズミカルに身体をくねらせる動きが観客の笑いを誘います。
さて、日向ひょっとこ踊りですが、明治末期に日向市塩見永田地区で眼科を開業していた橘公行医師によって考案されたといわれ、そのルーツは江戸時代から伝わる里神楽だそうです。この踊りは、ある物語が由来とされているそうで、昔々、「ひょう助」と「おかめ」の夫婦が毎朝子宝祈願のため、村の稲荷神社に豆ん飯を奉納していました。ある日あまりの空腹に神主がつまみ食いをし、怒ったお稲荷様がきつねの姿となって現れました。ところが「おかめ」の美しさに目を奪われ、気を惹こうと手招きをしながら踊り始めました。それを見ていた「おかめ」も踊りだし、「ひょう助」と様子をうかがっていた村の若者たちも一緒に踊ってしまい、その情景を描いたものだそうです。
今年の祭りは、コロナ渦のために中止になりましたが、これまでの感謝と来年の開催を願い、【日向市民総踊り2020動画】がYouTubeに掲載されました。そこでは、十屋幸平市長をはじめ、日向市のみなさんが楽しそうにひょっとこ踊りを披露されています。また、【日向ひょっとこ夏祭り「全国総踊り動画配信プロジェクト」】が始動しました。これは全国の踊り手のみなさんからひょっとこ踊りの動画を募集し、それらを9月上旬から配信される予定です。このようにインターネットを利用して夏祭りの繋がりを感じていただけるようになっております。
みなさんも一度動画をご覧になっていただき、新たな様式の夏を体験されてみませんか。♪♪テンテコテン テンテコテン♪♪ 、お囃子が聞こえてきましたので今月はこれにて失礼させていただきます。

「日向ひょっとこ夏祭り」風景
ひょうきんな表情と巧みな腰つきが笑いを誘います。キッズたちも頑張ってますよ。
(寺原孝弘氏.2019.8撮影、日向ひょっとこ夏祭り実行委員会HPより)
形態マガジン号キャプテン 阿南 建一

四月に入職された新任技師さんたちは、血液細胞の観察に悪銭苦闘されていることかと思われますが、良き先輩方のご指導により一歩ずつ技量を高めていって下さい。
細胞編は、骨髄像における同類細胞、また鑑別細胞を出題しました。特に造血三系統の分化・成熟過程は、しっかり理解しておくことが大事です。
症例編は、僅かな検査所見ですが、骨髄の正常構成から逸脱した情報を認識し、形態所見を理解して形態診断を行なって下さい。また、形態診断に不可欠な検査所見や鑑別疾患についても考えてみて下さい。
骨髄の細胞同定を行なって下さい。
PB-MG.1000

PB-MG.1000

PB-MG.1000

PB-MG.1000

この症例の形態所見から考えられる疾患は何でしょうか。また、鑑別する疾患とそのポイントも考えて下さい。
【50歳代】
WBC13,200/μL、RBC289万/μL、Hb7.2g/dL、Ht24.1%、PLT7.4万/μL、NCC82.5万/μL、LD263U/L、CRP5.7mg/dL
PB-MG.1000

BM-MG.1000

BM-MG.1000

BM-MG.1000

問題 1
今回は、骨髄像の細胞同定に挑戦します。
【正答】
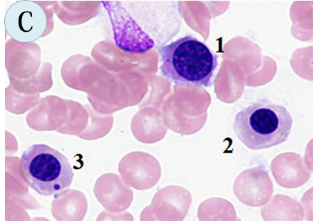
A-1.前骨髄球、2.分葉核好中球 B-1.好塩基性赤芽球 2.分葉核好中球、3.リンパ球、4.多染性赤芽球
C-1.多染性赤芽球、2.正染性赤芽球、3.多染性赤芽球、D-1.2.多染性赤芽球、3.単球、4.後骨髄球
【解説】

A-1.細胞径22µm大、核は偏在し、クロマチン網工は繊細気味、中等度好塩基性の細胞質には粗大なアズール顆粒を有することから前骨髄球と思われます。2.細胞径13µm大、核はくびれ、クロマチン網工が結節状のことから分葉核好中球と思われます。

B-1.細胞径18µm大、円形核はほぼ中心性でクロマチン網工は粗顆粒状、細胞質は強度の好塩基性と一部明色域を認めることから好塩基性赤芽球と思われます。2.細胞径12µm大、桿状核球様ですが、上下部にくびれがあるようで、またクロマチン網工が結節状のことから分葉核球と思われます。3.細胞径10µm大、N/C比は高く、クロマチン網工が粗荒により小型リンパ球と思われます。4.細胞径11µm大、円形核はクロマチン網工が粗大塊状、細胞質の多染性色から多染性赤芽球と思われます。

C-1.細胞径12µm大、円形核はクロマチン網工が粗大塊状、多染性色の細胞質から多染性赤芽球と思われます。2.細胞径11µm大、円形核はクロマチン網工が濃縮状、正染性色の細胞質から正染性赤芽球と思われます。3.細胞径11µm大、円形核は小さくなり、クロマチン網工が凝集塊状、多染性色の細胞質から多染性赤芽球と思われます。正染性赤芽球様ですが、細胞質内の封入体は核分裂時の遺残物と考えますと納得がいくものと思われます。

D-1.細胞質の多染性色から多染性赤芽球と思われます。2.細胞質は少し青味を帯びていますが、多染性の領域として捉え、しかも小型であることから多染性赤芽球と思われます。3.細胞径15µm大、分葉核好中球様ですが、クロマチン網工は繊細、細胞質は灰青色で空胞を有していることから分葉核を呈した単球と思われます。4.細胞径14µm大、核は楕円状でクロマチン網工は粗大粗荒、核幅の短径が長径の1/3以上の長さ(小宮法.1988)から後骨髄球と思われます。
問題 2
50歳代、近医にて貧血と胸痛を指摘され紹介来院されました。貧血、血小板数減少がみられ、白血球数増加(13,200/µL)の血液像では白赤芽球症と好中球に異形成を認めることから骨髄検査が施行されました。
染色体検査で+8の核型異常を認めました。
【解説】
(PB-MG.1000)
(BM-MG.1000)
(BM-MG.1000)
(BM-MG.1000)
A.[PB-MG.1000] 小球性貧血で、白血球百分比は芽球を除くと幼若顆粒球が11%、単球3%、好塩基 球1%、赤芽球5/100wであり、好中球に低分葉核好中球(偽ペルゲル核異常)や大型血小板を認めました。
尚、末梢血のNAP活性は基準範囲でした。
B.[BM-MG.1000] 骨髄は過形成でM/E比は9.3と顆粒球系が優位でした。芽球の増加はなく(2%)、顆粒球系に異形成(過分葉核・低分葉核・低顆粒・巨大好中球)を認めました(矢印)。
C.[BM-MG.1000] 好中球全体に低顆粒(矢印)や低分葉核好中球を認めました。
D.[BM-MG.1000] 一部に小型巨核球や微小巨核球(矢印)を認めました。
【臨床診断】
骨髄は過形成で顆粒球系が優位、異形成は顆粒球系に顕著で、巨核球の一部にも認めました。顆粒球系の優位や異形成の所見から、CML、aCML、MDSを考えました。CMLについては、顆粒球系の異形成が強すぎることや
t(9;22)/BCR-ABL1遺伝子異常を認めなかったことで否定され、MDSについては、特徴とされる骨髄の無効造血が、赤芽球系の抑制でかみ合わないようです。従って顆粒球系を中心とした顕著な異形成と+8の核型異常を認めたことから非定型性慢性骨髄性白血病(aCML)と診断されました。WHO.2017ではSETBP1もしくはETNK1遺伝子変異を認めて確定診断に至るようですが、本例はそれ以前の症例で不明です。本型の形態診断基準(WHO.2017)では、①末梢血白血球数>13,000/µL(幼若顆粒球>10%)、②好中球の形態異常、③単球<10%、好塩基球<2%、④骨髄は過形成・顆粒球系の増殖と異形成、⑤末梢血/骨髄の芽球<20%がポイントのようです。
© 2020 ベックマン・コールター株式会社
MAPSS-DX-202008-015
これから先のページでは、医療関係者の方々を対象に医療機器・体外診断薬等の製品に関する情報を提供しております。当社製品を適正に使用していただくことを目的としており、一部の情報では専門的な用語を使用しております。
一般の方への情報提供を目的としたものではありませんので、ご了承ください。
医療関係者の方は、次のページへお進みください。
(お手数ですが、「進む」ボタンのクリックをお願いします)