東日本大震災から10年、今年も被災地に春が訪れました。宮城県名取市北釜地区の小高い丘に下増田神社(しもますだじんじゃ)がありますが、大津波に襲われ鳥居や拝殿、社務所は流失し、本殿は海水に浸かりながらも奇跡的に残り、復興を見守る「奇跡の社」として話題になりました。
震災の4か月後、私は商用で仙台を訪れ、社に献花したことが昨日のことのように思い出されます。先日届いた知人からの便りによれば、その一角にある2mほどの桜の木が美しく咲き誇っているそうです。
さて、このコラムでは、これまで震災で親を亡くされた震災孤児を取り上げましたが、今回は、新聞社が震災から取材を続けている岩手県在住の男の子(当時8歳)について紹介させていただきます。春は、若人にとって旅立ちの時、18歳を迎えた男の子は今年の春に東京の大学へ進学することが伝えられました(2021.3.11 朝刊)。
男の子は津波で母、弟、妹の3人の家族を亡くしました。何事にも臆さない負けず嫌いの弟、しっかり者で人付き合いが上手な妹、料理が得意で読書の楽しさを教えてくれた母。一緒に暮し楽しかった家族がいない、父と二人だけの生活が始まりましたが、父は仕事を休んで行方不明になった家族の捜索を続け、男の子とはすれ違いが生じていきました。
少年時代から野球を続けてきた父の勧めもあり、男の子も小学校3年から野球を始めました。小、中、高と野球部に所属し、甲子園を目指していましたが、進学した強豪校での生活に馴染めず、中学時代の仲間が誘ってくれた地元の高校に転入しました。2年の夏の岩手県大会では、助っ人を加えた部員10人で臨み、男の子は「4番一塁」で出場しました。3安打6打点の活躍もあり4年ぶりに一回戦を突破し、父子は野球を通じて離れていた心が少しずつ近づいていきました。
この春、青年に成長した男の子は、東京の大学に進学しました。高校で研究した防災について学ばれるようですが、もちろん大好きな野球も続けていきます。男の子は、亡くなった家族に「3人とは一緒にいる。俺は大丈夫だよ」と心の中で繋がりながら、今、旅立ちます。

大津波に襲われ奇跡的に残った下増田神社(しもますだじんしゃ)の本殿は「奇跡の社」として話題になりました。(宮城県名取市北釜地区)

本殿の一角に2mほどの桜の木が「社の守人」また復興のシンボルとして咲き誇っています。
(撮影.みちのく旅人.2021.4.6)
形態マガジン号キャプテン 阿南 建一

今回の細胞編は、骨髄像において鑑別を要する細胞を出題しました。核質の構造、細胞質の色調・顆粒などの所見をじっくり観察してみてください。
症例編は、高齢の方で、末梢血、骨髄標本のMG染色、Fe染色、PAS染色を提示しています。形態的所見に僅かなヒントがあるようですので細胞化学染色も参考に診断づけてください。また、形態診断に不可欠な検査所見や鑑別疾患についても考えてみてください。
問題1
BM-MG.1000

BM-MG.1000

BM-MG.1000

BM-MG.1000

問題2
【高齢】 全身倦怠感、肝脾腫(-)、リンパ節腫(-)、出血斑(+)、WBC 4,100/μL(Blast +)、RBC 310万/μL、Hb 7.4g/dL、Ht 24.4%、PLT 8.6万/μL、BM-NCC 24.2.万/μL
PB-MG.1000

BM-MG.400

BM-MG.1000

BM-Fe.1000

PAS.1000

問題 1
骨髄における紛らわしい細胞の鑑別について挑戦します。
【正答】
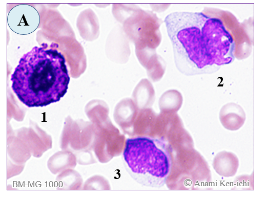
A-1.肥満細胞、2.単球、3.後骨髄球
B-1.単球、2.前単球
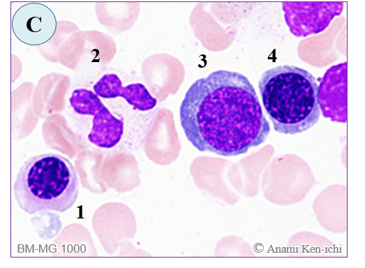
C-1.多染性赤芽球、2.分葉核好中球、3.好塩基性赤芽球、4.多染性赤芽球
D-1.マクロファージ、2.細網細胞
【解説】

A-1.細胞径15μm大、核は中心性で判然とせず、細胞質は黒紫色にみえます。好塩基球様ですが、形状から肥満細胞(マスト細胞)と思われます。
2.細胞径18μm大、核内不整でクロマチン網工は繊細、細胞質は微細顆粒を有し、単球と思われ、二重構造(矢印)もみられます。
3.細胞径14μm大、核は長方形でクロマチン網工は粗荒、細胞質の顆粒は不明ですが後骨髄球と思われます。

B-1.細胞径18μm大、核は分葉傾向でクロマチン網工は繊細、細胞質は軽度の好塩基性で単球と思われます。
2.細胞径25μm大、核は偏在傾向でクロマチン網工は繊細、好塩基性の細胞質は豊富で微細顆粒を認めます。芽球様ですが、大型で核質の柔らかさ、そして微細顆粒から前単球としました。

C-1.細胞径9μm大、円形核のクロマチン網工は、粗荒で凝集塊がみられ、細胞質は紫色の多染性の色調から多染性赤芽球と思われます。
2.は分葉核球ですが通常より大きく、細胞質が不明で壊れかけと思われます。
3.細胞径15μm大、円形核はクロマチン網工が粗顆粒状で、細胞質は好塩基性の色調から好塩基性赤芽球と思われます。
4.細胞径10μm大、クロマチン網工は粗荒で凝集塊がみられ、細胞質の青紫色の色調から多染性赤芽球と思われます。
1.と4.の多染性赤芽球は、特徴とされる細胞質に多様性の色調がみられます。

D-1.類円形核はほぼ裸核状でクロマチン網工は網状、一部に異物の貪食がうかがえ(矢印)マクロファージと思われます。
また、6時方向の血小板は偶然の付着と思われます。
2.細胞径20μm大、ほぼ円形核のクロマチン網工は網状で、細胞質の辺縁は不鮮明で軽度の好塩基性がみられます。
形状から非造血細胞として捉え細網細胞と思われます。
問題 2
この症例の形態所見から考えられる疾患は何でしょうか。また、鑑別する疾患とそのポイントも考えてください。
【高齢】 全身倦怠感、肝脾腫(-)、リンパ節腫(-)、出血斑(+)WBC 4,100/μL(Blast +)、RBC 310万/μL、Hb 7.4g/dL、Ht 24.4%、PLT 8.6万/μL、BM-NCC 24.2万/μL
高齢の方で、全身倦怠感(一部に出血斑)を主訴に来院。汎血球減少を指摘され、骨髄穿刺が施行されました。MCV78.7fL、MCHC30.3g/dLの小球性貧血で骨髄のNCCは24.2万/μLでした。染色体異常は認めませんでした。
【解説】





A.[PB-MG.1000] 血液像の芽球は、全視野でみられる程度で赤芽球を認め(5/100w)、好中球の一部に輪状核や低顆粒を認めました。また、奇形赤血球を一部に認めました。
B.[BM-MG.400] 骨髄は正形成 で赤芽球系がやや優位、芽球は2%でアウエル小体は認めませんでした。
C.[BM-MG.1000] 骨髄は、赤芽球の一部に二核や核異型性(左)、また微小巨核球(右)もみられました。顆粒球系には大型化や低顆粒が一部にみられ、PO染色は陽性でした。
D/E.[BM-PAS/Fe] 骨髄の赤芽球はPAS染色に陰性、Fe染色では環状鉄芽球は認めませんでした。
【臨床診断】
汎血球減少で芽球は末梢血と骨髄ともに2%未満、異形成は、顆粒球系に輪状核・低顆粒など、赤芽球系には二核や核異型性、そして血小板系に微小巨核球を認めました。
そのなかで異形成の基準が10%を超えたのは、顆粒球系と血小板系の二系統でした。骨髄では環状鉄芽球は認めなかったことから、骨髄異形成症候群(MDS)の多血球異形成を伴う不応性貧血(MDS-RCMD)と診断されました。
尚、WHO分類(2017)の改訂第4版では、芽球比率が末梢血で1%未満、骨髄で5%未満、異形成が2~3系統を有する病型は、MDS with multilineage dysplasia(MDS-MLD)に分類されています。
これから先のページでは、医療関係者の方々を対象に医療機器・体外診断薬等の製品に関する情報を提供しております。当社製品を適正に使用していただくことを目的としており、一部の情報では専門的な用語を使用しております。
一般の方への情報提供を目的としたものではありませんので、ご了承ください。
医療関係者の方は、次のページへお進みください。
(お手数ですが、「進む」ボタンのクリックをお願いします)