「東京2020パラリンピック競技大会」は、8月24日から13日間の競技日程を終えて9月5日に閉幕しました。世界162カ国から4400人の選手が参加したパラリンピックは、さまざまな障害のあるアスリートが、公平に個性や能力を発揮し活躍できる世界最高峰の競技大会です。日本の選手は、オリンピックに続き活躍は目覚ましく、獲得したメダル数は金13、銀15、銅51と過去二番目の成績でした。一流のアスリートの活躍に感動し、勇気をもらったパラリンピックでしたが、なかでも最も輝いた五人の日本の選手を紹介したいと思います。
まずは、車いすテニス界の王者、国枝慎吾選手(37歳.東京)です。テニスの最高峰である四大大会で何度も栄冠に輝きながら、リオ大会(2016)では右肘手術の影響もあり準々決勝で敗退、その後、フォーム改造に取り組み、攻めのスタイルを貫き、念願の金メダルを射止めました。次に、競泳女子背泳ぎで銀メダル2個を獲得した山田美幸選手(14歳.新潟)です。日本選手団第1号の銀メダルを獲得し、14歳の最年少記録を更新しました。山田選手は、生まれつき両腕がなく、足は左右で長さが違うため、少し長い左足を器用に使いながら強いキック泳法で栄光を手にしました。続いて、出場全五種目で金メダルを含め5つのメダルを獲得した競泳男子の鈴木孝幸選手(34歳.静岡)です。今や世界が認めるトップスイマーですが、昔からの短気がレースに影響しないようにと“短気を克服し34歳の栄光”を手にしました。そして、ボッチャ個人戦で完全優勝した杉村英孝選手(39歳.静岡)です。個人戦で日本初の金メダルを獲得、決勝戦はで何と5-0の完全優勝でした。利き手の左手の握力は10キロ程度ですが、「精密機械」のようにくりだすショットは圧巻でした。さらに、女子個人ロードレースで金メダル2個を獲得した杉浦桂子選手(50歳.静岡)です。45歳の時、ロードレース大会で落車して重い障害が残り、その後、パラサイクリストとして活躍している選手です。彗星のごとく現れたロードの女王は50歳を迎えましたが、次なる目標をトライアスロンにおき、鉄人の物語はこれからも続きそうです。最後は、最終日の陸上女子マラソンで初の金メルを獲得した道下美里選手(44歳.山口)です。リオ大会の銀に続き、表彰台の中央に上がりました、ゴールの際、一瞬彼女に陽が差し、144cmの小柄な体が大きく輝いた瞬間でした。道下選手は福岡に在住で、時々お見かけしますが笑顔がとても素敵な方です。
今回のパラリンピックでは、中高年の選手の活躍も目立ち、私を含め中高年の方々は、大きな勇気をもらったのではないでしょうか。まずは、日本および世界のパラスポーツのアスリートたちに栄光あれ!そして、計り知れない感動に深く感謝いたします。

東京オリパラリンピックの閉幕!
東京2020大会の全日程が終わりました。
(2021.9.5)
形態マガジン号キャプテン 阿南 建一

今回の細胞編は、骨髄像において鑑別を要する細胞を出題しました。周囲の細胞と比較しながら同定してみてください。
症例編は、50歳代で、末梢血、骨髄標本のMG染色を提示しています。特徴的な形態所見が少ないようですので、僅かな検査情報と臨床所見を加味して形態診断に挑んでください。
問題1
BM-MG.600

BM-MG.1000

BM-MG.1000

BM-MG.600

問題2
【50歳代】 発熱、黄疸、肝腫、 下肢に紫斑
WBC 3,800/μL、RBC 165万/μL、Hb 6.5g/dL、Ht 20.0%、PLT 2.9万/μL、BM-NCC 21.6万/μL
PB-MG.1000

PB-MG.1000

BM-MG.400

BM-MG.1000

問題 1
骨髄の細胞同定を行ってください。
【正答】
骨髄における紛らわしい細胞の鑑別について挑戦します。
A-1.3.リンパ球
2.多染性赤芽球
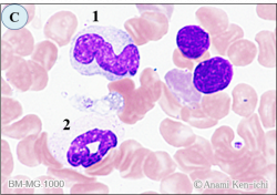
B-1.2.分葉核球・3.4.前骨髄球
C-1.単球・2.分葉核球
D.破骨細胞
【解説】

A-1.3.細胞径12μm大、核は類円形、クロマチン網工は粗荒で軽度の凝集状、細胞質は淡青色のことから中(型)リンパ球と思われます。
2.細胞径10μm大、核縁はやや不規則でクロマチンの凝集がみられ、細胞質は狭いながらも多染性の色調から多染性赤芽球と思われます。細胞質の狭さはヘモグロビンの合成障害も考えられます。

B-1.2.細胞径12~13μm大、1.桿状核球を思わせますが、核にくびれがみられ、それは核の最小幅が最大幅の1/3未満のことから、2.と同様の分葉核球と思われます。
3.4.細胞径15μm大、双方ともに核は偏在し、クロマチン網工は繊細顆粒状、細胞質は軽度の好塩基性で特徴とされる粗大な一次顆粒はみられませんが、低顆粒気味の前骨髄球と思われます。

C-1.細胞径14μm大、核は不整形(うねり状)、クロマチン網工は繊細、細胞質は灰青色のことから単球と思われます。
2.細胞径12μm大、核のくびれやクロマチンが結節状から分葉核球と思われます。

D.細胞径50μm大、細胞質に多核を有する大型細胞、細胞質には濃青色でアズール好性顆粒を含んでいます。多核細胞は孤立性であり、クロマチン網工はスポンジ様を呈することから破骨細胞と思われます。巨核球と類似しますが巨核球の正常型は、複雑な核の分葉を示すことがあっても多核にはならないのが一 般的です(コラムにも触れた「イッカク」の角を思わせます。)
問題 2
この症例の形態所見から考えられる疾患は何でしょうか。また、鑑別する疾患とそのポイントも考えてください。
【50歳代】 発熱、黄疸、肝腫、 下肢に紫斑
WBC 3,800/μL、RBC 165万/μL、Hb 6.5g/dL、Ht 20.0%、PLT 2.9万/μL、BM-NCC 21.6万/μL
貧血、発熱、黄疸、脾腫、肝腫、下肢の紫斑がみられた50歳代の患者さんです。汎血球減少で、特に血小板数の著減(2.9万μL)がみられました。高ビリルビン血症、ハプトグロビン低値、高LD血症、直接・間接クームス試験陽性でした。
【解説】




A.[末梢血-MG] MCV121fLの大球性貧血で、大球性多染性赤血球や濃染性の有棘赤血球、またハウエルジョリー小体がみられます。
B.[骨髄-MG] [末梢血-MG] 大型血小板が散見され、白血球の形態異常は認めませんでした。
C.[骨髄-MG] 骨髄はM/E比0.23と赤芽球系の過形成を認めました。
D.[骨髄-MG] 赤芽球系は成熟過程がみられ、多染性赤芽球が優位で形態異常は認めませんでした。巨核球は散見され、血小板産生能は低下していました。
【臨床診断】
免疫性血小板減少症(ITP)を考慮しながら、大球性貧血、脾腫、黄疸や溶血所見が強度であることから自己免疫性溶血性貧血(AIHA)にITPが合併したEvans症候群と診断されました。
直接クームス試験、間接クームス試験双方ともに陽性については、自己抗体が多く存在することが考えられます。ちなみに、直接クームス陽性は赤血球に結合している抗体を示し、間接クームス陽性は血清中に抗体が存在していることを指します。自己抗体の結合した赤血球は、主に脾臓の抗体Fc部分のレセプターをもつマクロファージに補足、破壊され脾腫が起こるそうです。また、血小板減少は表在性の出血すなわち紫斑などの出血症状を惹起する要因となります*)。
これから先のページでは、医療関係者の方々を対象に医療機器・体外診断薬等の製品に関する情報を提供しております。当社製品を適正に使用していただくことを目的としており、一部の情報では専門的な用語を使用しております。
一般の方への情報提供を目的としたものではありませんので、ご了承ください。
医療関係者の方は、次のページへお進みください。
(お手数ですが、「進む」ボタンのクリックをお願いします)