コロナ渦の中、7月23日開催された「東京2020オリンピック競技大会」(東京五輪)は、17日間の会期を終え8月8日に閉会しました。今回、競技大会開催に向けた準備、運営を行った大会関係者やサポーターのみなさまには感謝いたします。東京五輪における日本のメダル数は、金27、銀14、銅17、合計58個でと史上最多となり、金メダルは米国、中国に次ぐ第3位と日本選手団は大健闘でした。一方、母国開催のため、日本選手にかかる重圧は計り知れなかったと思います。会期中は、新型コロナ感染の拡大で、日常生活ではさまざまな制限や規制があり、ほとんどの競技はテレビ観戦となりましたが、日本人選手の活躍は、私たちに勇気と希望を与えてくれました。
東京五輪では、お家芸の柔道を始め、ソフトボール、野球、女子レスリング、女子ボクシング、卓球、女子バスケット、スケートボードなどで多くのメダルを獲得しましたが、私が注目した選手は、女子レスリング50キロ級の須崎優衣(すさきゆい)選手(22歳.早大.千葉県)です。須崎選手は、決勝までの全ての試合を無失点のテクニカルフォール(Tフォール)で勝利し、金メダルを獲得しました。レスリングのルールは、ポイント制でポイント数の多い選手が勝利しますが、Tフォールというのは、ポイント差が10点以上で与えられる勝利です。上位選手との対戦は、実力が拮抗しているため、なかなかそのような点差になることは少ないようですが、今回、須崎選手は無失点でその偉業を達成しました。
須崎選手は、お父さんの影響で小学1年からレスリングを始めたそうですが、めきめきと上達して小学3年に全国大会で優勝し、吉田沙保里さんに憧れ、オリンピックを目指すようになりました。中学になると全国大会に三連覇し、唯一中学生で強化選手に指定されました。高校生で初めて出場したシニアの全日本選手権の決勝戦では敗れましたが、それまでの連勝記録はゆうに100勝を超えていたそうです。オリンピック出場がかかった前哨戦の世界選手権予選で候補選手に敗れ、オリンピック出場が危ぶまれましたが、最終予選の全日本選手権で勝利することで晴れてオリンピック出場が決定しました。東京五輪では、153cm50kgの小さな体から繰り出す高速タックルとアンクルホールドで相手選手をマットに沈めて勝利を手にしましたが、小さいころから目標を達成しようとする強い意思と行動力はずば抜けていたそうです。
今回の東京五輪を選手生活の集大成とされていたようですが、三年後のパリ五輪を目指すそうですので、日本女子レスリング界に誕生した小さな巨人を引き続き応援していきたいと思います。

五輪マークの意味は、諸説ありますが五つの大陸(ヨーロッパ、南北アメリカ、アフリカ、アジア、オセアニア)が重なり合い、繋がっている競技大会であるこを示しているそうです。

熱戦を見守るマスコットキャラクター
ミライトワ(左)とソメイテイ(右)
(撮影:2021.8)
形態マガジン号キャプテン 阿南 建一

今回の細胞編は、骨髄像において鑑別を要する細胞を出題しました。周囲の細胞と比較しながら同定してみてください。
症例編は、高齢の方で末梢血、骨髄標本のMG染色のみを提示しています。形態的所見に特徴的なヒントがあるようですので診断づけてください。また、形態診断に不可欠な検査所見や鑑別疾患についても考えてみてください。
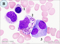
問題1
BM-MG.1000

BM-MG.1000

BM-MG.1000

BM-MG.1000

問題2
【高齢】 現症:発熱(39℃)、咽頭痛、リンパ節腫(+)
WBC 1.38万/μL(好中球95%)、Hb 11.0g/dL、Ht 33.3%、PLT 14.8万/μL、BM-NCC 7.0万/μL
PB-MG.1000

BM-MG.600

BM-MG.1000

BM-MG.1000

問題 1
骨髄の細胞同定を行って下さい。
【正答】
A-1.分葉核球、2.形質細胞
B-1.多染性赤芽球、2.幼若好酸球、3.形質細胞
C-1.リンパ球、2.単球
D-1.多染性赤芽球、2.幼若好塩基球、3.分葉核球、4.多染性赤芽球
【解説】

A-1.細胞径12μm大、橙紅色の細胞質は豊富で、核は分葉傾向、クロマチン網工は結節状から分葉核球と思われます。
2.細胞径13μm大、円形核は偏在しクロマチン網工は凝集塊状、細胞質は好塩基性で核周明庭を認めることから形質細胞と思われます。

B-1.細胞径9μm大、円形核はやや偏在気味でクロマチン網工は凝集塊状、細胞質は多染性の色調から多染性赤芽球と思われます。
2.細胞径17μm大、核は偏在し細胞質は橙紅色の粗大顆粒を有することから幼若好酸球と思われます。
3.細胞径18μm大、二核は核糸でつながり、クロマチン網工は粗荒気味、細胞質は好塩基性ながら中央部に明瞭部を認め、分裂過程に異変が生じた形質細胞と思われます。

C-1.細胞径11μm大、N-C比は高く円形核のクロマチン網工は粗荒で、細胞質は淡青色のことからリンパ球と思われます。
2.細胞径20μm大、類円形核は軽度不整でクロマチン網工はやや繊細気味、豊富な細胞質は 微細なアズール顆粒を認めることから単球と思われます。

D-1.細胞径9μm大、円形核はやや偏在気味でクロマチン網工は凝集塊状、細胞質は多染性の色調から多染性赤芽球を思われます。
2.細胞径22μm大、大型で核は偏在しクロマチン網工は粗網状、細胞質は紫褐色の粗大顆粒を認めることから幼若好塩基球(前骨髄球)と思われます。
3.細胞径13μm大、核はくびれてクロマチン網工は結節状、細胞質は橙紅色で顆粒は二次顆粒とみなし分葉核球と思われます。
4.細胞径9μm大、円形核は中心性でクロマチン網工は凝縮塊状、細胞質は青紫色の多染性であることから多染性赤芽球と思われます。
問題 2
この症例の形態所見から考えられる疾患は何でしょうか。また、鑑別する疾患とそのポイントも考えてください。
【高齢】 現症:発熱(39℃)、咽頭痛、リンパ節腫(+)
WBC 1.38万/μL(好中球95%)、Hb 11.0g/dL、Ht 33.3%、PLT 14.8万/μL、BM-NCC 7.0万/μL
他院にて自己炎症性疾患でフオロー中の高齢の患者さんです。最近になって発熱や白血球増加と好中球増加が認められたため、当院を紹介されて精査のため骨髄穿刺が施行されました。発熱(39℃)、咽頭痛、関節痛、皮疹を認めました。
【解説】




A.[末梢血-MG] 白血球数増加(13,800/μL)の百分率は、好中球が95%(13,110/μL)と著増し、なかでも分葉核球が優位で、やや二次顆粒の多さと空胞を認めました。
B.[骨髄-MG] 骨髄は低形成でM-E比が8.9と顆粒球系が優位で成熟過程がみられ、なかには大型の前骨髄球がみられました。尚、腫瘍細胞は認めませんでした。
C.[骨髄-MG] 周囲には好中球や血小板を貪食した血球貪食像を3.6%認めました。
D.[骨髄-MG] 僅かながら多核の形質細胞(左)や巨赤芽球(右)もみられました。
【臨床診断】
末梢血の好中球の空胞化から敗血症を、骨髄の血球貪食細胞の増加(3.2%)から血球貪食症候群を疑いました。
血球貪食細胞の増加については、血球貪食性リンパ組織球症(HLH-2004)の診断基準では2%以上とされています。
他の検査ではCRP高値、フエリチン高値、可溶性IL-2R高値、LD高値などの所見がありました。
発熱の原因となる疾患が不明であり、発熱、関節症状、皮疹の3徴を認め、好中球著増を伴う白血球の増加を示したこと、また上記検査の高値などからStill病と診断されました。
Still(ステイル)病は1987年、小児疾患として報告されたものですが、その後16歳以上や成人Still病としての報告がなされました。
山口らの基準分類(1992)によると、①1週間以上続く高熱(39℃)、②2週間以上続く関節症状、③定型的な皮疹、④80%以上の好中球増加を伴う白血球増加(1万/μL)が診断に有効としていますが、まず、発熱の原因となる感染症、各種血管炎、悪性リンパ腫を除外した上でのことになります。
本例のような高齢者にもみられたのは珍しいようです。
これから先のページでは、医療関係者の方々を対象に医療機器・体外診断薬等の製品に関する情報を提供しております。当社製品を適正に使用していただくことを目的としており、一部の情報では専門的な用語を使用しております。
一般の方への情報提供を目的としたものではありませんので、ご了承ください。
医療関係者の方は、次のページへお進みください。
(お手数ですが、「進む」ボタンのクリックをお願いします)