新型コロナ感染拡大の緊急事態宣言で開けた2021年は、コロナ渦の中、7月からオリンピック・パラリンピック東京大会が開催され、連日繰り広げた熱戦から改めて私たちはスポーツの素晴らしさを知ることになりました。さて、野球ファンの私のとっても今年は特別な年になり、侍ジャパンが悲願の金メダル獲得、プロ野球では前年最下位に甘んじていたヤクルトスワローズとオリックスバファローズの日本シリーズの頂上対決、そして何と言っても日本人だけでなく世界の野球ファンを魅了したメジャーリーグベースボール(MBL)における大谷翔平選手(27歳)の歴史的な活躍ではないでしょうか。
ロスアンゼルス・エンゼルスの大谷選手は、今季155試合に出場し、打者として打率.257、46本塁打、100打点、26盗塁をマークし、投手としても23試合に登板し、9勝2敗、156奪三振、防御率3.18の「二刀流」による活躍から全米野球記者協会によるア・リーグ最優秀選手(MVP)に選出されました。その際、投票した全員の記者が大谷選手に1位票を投じ、満点で選出されましたが、これは、史上19人目の快挙だそうです
大谷選手は、2013年日本ハムファイターズにドラフト1位で入団、投手と打者を両立する「二刀流」を目指すことになりましたが、その始まりは花巻東高校1年の時に作成した「マンダラチャート」(目標達成シート)にありました。マンダラチャートとは、縦9×横9の合計81個のマスで構成された目標達成シートで、中心に達成したい目標や叶えたい夢を記入し、その周囲のマスに達成するための要素を書き出します。また、これらの要素を達成するための行動目標をそれぞれ8個ずつ記入します。大谷選手が高校1年の時に作成したマンダラチャートでは、その中心には“ドラフト1位指名8球団”と明確な目標が記入されており、3年後のドラフト会議では見事に1位に指名されました。チャートを作成した時、大谷選手は甲子園を目指す高校球児でしかありませんので、どれだけの方がこの夢の実現を信じたのでしょうか。ただ、この夢は続いていき、不屈の精神とたゆまぬ努力によって「野球の神様」ベーブルースとならぶ偉大な記録を打ち立てることになりました。
“一年の計は元旦にあり”と言われていますが、大谷選手は新しい年にどんなマンダラチャートを作成されるのでしょうか。私たちは、夢のつづきを思い描きながら来年の活躍に期待したいと思います。今年1年大変お世話になりました。よいお正月をお迎えください。

大谷選手が高校一年生の時に作成した
マンダラチャート

Los Angels Angels
(アメリカンリーグ西区所属)
形態マガジン号キャプテン 阿南 建一

今回の細胞編は、骨髄像において鑑別を要する細胞を出題しました。周囲の細胞と比較しながら同定してみてください。
症例編は、50歳代で、末梢血、骨髄標本のMG染色を提示しています。特徴的な形態所見もみられるようですので、僅かな検査情報と臨床所見を加味して形態診断に挑んでください。
問題1
PB-MG.1000

PB-MG.1000

PB-MG.1000

PB-MG.1000

問題2
【50歳代】 主訴:黄疸、貧血、膵炎
WBC 10,400/μL、RBC 195万/μL、Hb 7.6g/dL、Ht 23.0%、PLT 26.6万/μL、BM-NCC 25.6万/μL
PB-MG.1000

BM-MG.400

PB-MG.1000

BM-iron.1000

問題 1
骨髄の細胞同定を行ってください。
【正答】
今回も骨髄における紛らわしい細胞の鑑別について挑戦します。
A-1.分葉核球、2.前単球、3.血小板凝集
B-1.血球貪食細胞、2.分葉核球、3.単球
C-1.形質細胞、2.多染性赤芽球、3.多染性赤芽球
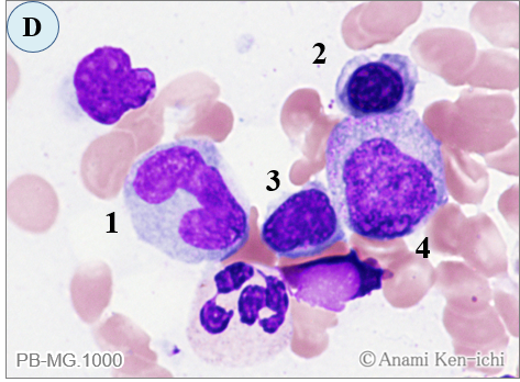
D-1.単球、2.多染性赤芽球、3.リンパ球、4.前骨髄球
【解説】

A-1.細胞径12μm大、低顆粒気味の3分葉核好中球と思われます。
A-2.細胞径17μm大、核形不整の核は中心性、クロマチン網工はやや繊細で核小体を認め、好塩基性の細胞質には微細顆粒や空胞を認めることから前単球と思われます。
A-3.血小板がシート状の凝集を呈したものです。

B-1.細胞径20μm大、楕円状核の細胞質は不明瞭で豊富な細胞質には主に血小板の貪食を認めることから血球貪食細胞(マクロファージ)と思われます。
B-2.細胞径は12μm大、低顆粒気味の分葉核球と思われます。
B-3.細胞径15μm大、核は桿状様でうねりを呈しクロマチン網工は繊細、細胞質は灰青色であることから単球と思われます。

C-1.細胞径25μm大、円形核は偏在しクロマチン網工は粗荒、豊富な細胞質は辺縁が不整で好塩基性ながら一部は紅色で空胞を認め、火焔(かえん)細胞を思わせることから形質細胞と思われます。本細胞はIgA骨髄腫に比較的多くみられるようです。
C-2.細胞径8μm大、一見正染性赤芽球を思わせますが、円形核のクロマチン網工は凝集状が残存し、細胞質は多染性のことから多染性赤芽球と思われます。
C-3.細胞径11μm大、円形核のクロマチン網工は凝集状、細胞質は多染性のことから多染性赤芽球と思われます。

D-1.細胞径15μm大、桿状核は軽度の不整がみられクロマチン網工は繊細、細胞質は弱好塩基性のことから単球と思われます。
D-2.細胞径9μm大、円形核はクロマチン網工が凝集状、細胞質は多染性のことから多染性赤芽球と思われます。
D-3.細胞径8μm大、類円形核のクロマチン網工は粗荒、僅かに好塩基性の細胞質を認めリンパ球と思われます。
D-4.細胞径15μm大、核は偏在しクロマチン網工は顆粒状で一部に核小体を認め、細胞質は好塩基性のことから低顆粒傾向の前骨髄球と思われます。
問題 2
この症例の形態所見から考えられる疾患は何でしょうか。また、鑑別する疾患とそのポイントも考えてください。
【50歳代】 主訴:黄疸、貧血、膵炎
WBC 10,400/μL、RBC 195万/μL、Hb 7.6g/dL、Ht 23.0%、PLT 26.6万/μL、BM-NCC 25.6万/μL
50歳代の患者さんで、貧血を指摘され精査のため骨髄検査が施行されました。現症として、黄疸、膵炎、脾腫を認めました。
【解説】




A.[末梢血-MG] MCV118fL、MCHC33.0g/dLの大球性貧血で多染性の大赤血球を認め、網赤血球の増加がみられました。
B.[骨髄-MG] NCCは正形成(25.6万/μL)でM-E比は0.91と赤芽球が優位でした。
C.[骨髄-MG] 赤芽球は成熟過程がみられ、一部に核異型性を認めました(矢印)。
D.[骨髄-Iron染色] 鉄染色では環状鉄芽球は認めませんでした。
【臨床診断】
MCV118fLの大球性貧血で、多染性の大赤血球(幼若な赤血球)を認めることから有効造血亢進の貧血が考えられ、血小板数は正常で血小板減少を伴わない溶血性貧血を疑いました。検査所見では、間接クームス試験・直接クームス試験共に陽性で、間接ビリルビン・LDの高値、ハプトグロビンの低値、他にアミラーゼ(血清・尿)の高値も認められました。
末梢血の大赤血球は多染性傾向が強く、網赤血球は増加傾向を呈し、間接ビリルビン優位の黄疸や脾腫がみられ、直接クームス試験陽性のことから自己免疫性溶血性貧血(温式型)と診断されました。膵炎については アミラーゼの高値で証明されますが、きわめて稀に自己免疫性膵炎の合併症が認められます。自己免疫性膵炎ではIgGサブタイプの血清IgG4の上昇が高率に認められますが自己免疫性溶血性貧血との因果関係は不明のようです。
尚、直接・間接クームス試験の陽性は、赤血球に結合する抗体や血清中に存在する抗体の多さを意味するものと思われます。鑑別疾患となる遺伝性球状赤血球症では、小型の球状赤血球や多染性赤血球(網赤血球)の増加を認め、直接クームス試験の陰性がポイントになります。
これから先のページでは、医療関係者の方々を対象に医療機器・体外診断薬等の製品に関する情報を提供しております。当社製品を適正に使用していただくことを目的としており、一部の情報では専門的な用語を使用しております。
一般の方への情報提供を目的としたものではありませんので、ご了承ください。
医療関係者の方は、次のページへお進みください。
(お手数ですが、「進む」ボタンのクリックをお願いします)