新年あけましておめでとうございます。本年もマンスリー形態マガジンをご愛顧いただきますようお願い申し上げます。今年の元旦は、新春にふさわしい穏やかな天気となり、静かなお正月を過ごすことができました。
さて、2019年末に中国武漢市で報告された新型コロナウイルス感染症(COVID-19)は、瞬く間に世界中に拡散し、パンデミックの状況に至り、国内では1月7日現在(厚労省HP)、累計感染者数174.3万人、死者数1.84万人に及んでいます。また、昨年末に確認された新種変異株(オミクロン株)の感染者が急増しており、第6波の感染拡大が懸念されています。
このコロナ渦の中、感染防止のためのさまざまな規制が実施され、私たちの日常は激変しました。その中で人流抑制の名のもとにほとんどのイベントは中止になり、私たち臨床検査技師が関わる専門学会や研修会も例外ではありませんでした。現在、これらはオンラインによるWeb開催に移行していますが、人事交流や情報共有などが低下し、その結果としてこれまで培われていた教育活動は自ずと停滞する状況に陥っております。この閉塞したコロナ渦の中、小職の下にはオンラインセミナーを通して視聴者の方から多くのご質問やご意見が寄せられております。それらを少しでも解消することを目的として、本年3月頃を予定としてQ&A方式による『ベーシック形態目視録』(A5版)の発刊準備を進めております。
本書の主旨は、上述の通り、臨床検査業務で遭遇するさまざまな疑問や課題を取り上げ、わかりやすく解説することで円滑な業務遂行と診療部門の支援を目的としています。この“目視録”とは、実地医療現場に関わるさまざまな情報を可視化しながら共有し、活用することで業務改善を図ることを意図しています。執筆には本書の主旨に共感いただいた主に西日本地区のスペシャリスト16名が中心となり、一般部門、血液部門、病理・細胞診部門、細胞免疫部門、微生物部門、染色体・遺伝子部門、検査総合管理部門、臨床検査分野の研究について全103問を掲載しています。
本書は、医療現場に関わる方はもちろんのこと、入職後間もない方、新たな学習機会を切望されている方、臨床検査学を専攻されている医学生の皆さまを対象としております。皆さまとは本書を通してふたたび繋がることを期待して新しい年を過ごしていきたいと思いますのでよろしくお願いいたします。

日常の臨床検査業務で遭遇する様々な疑問を解説した見開き2ページの書刊です
(2022年3月発行予定)
形態マガジン号キャプテン 阿南 建一

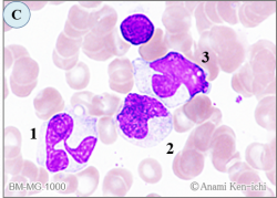
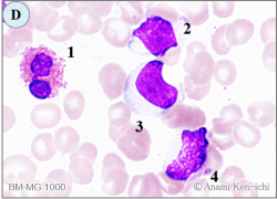
今回の細胞編は、骨髄像において鑑別を要する細胞を出題しました。周囲の細胞と比較しながら同定してみてください。
症例編は、50歳代で、末梢血、骨髄標本のMG染色を提示しています。特徴的な形態所見もみられるようですので、僅かな検査情報と臨床所見を加味して形態診断に挑んでください。
問題1
BM-MG.1000

BM-MG.1000

BM-MG.1000

BM-MG.1000

問題2
【生後3カ月】 普通分娩出産、嘔吐その後哺乳低下、口内炎、脱水傾向あり
WBC 52,800/μL、RBC 380万/μL、Hb 10.2g/dL、Ht 30.6%、PLT 5.5万/μL、BM-NCC 51.6万/μL
PB-MG.1000

BM-MG.400

BM-MG.1000

BM-PO.1000/EST二重.1000

問題 1
骨髄の細胞同定を行ってください。
【正答】
今回も骨髄における紛らわしい細胞の鑑別について挑戦します。
A-1.リンパ球、2.芽球、3.多染性赤芽球
B-1.前赤芽球、2.分葉核球
C-1.単球、2.後骨髄球、3.単球
D-1.好酸球、2.リンパ球、3.リンパ球、4.後骨髄球
【解説】

A-1.細胞径13μm大、円形核は偏在し、クロマチン網工は粗荒で一部凝集がみられ、細胞質は淡青色のことからリンパ球と思われます。
A-2.細胞径18μm大、円形核はクロマチン網工が繊細網状で核小体を有し、細胞質は軽度の好塩基性で顆粒を有しないことから正常の骨髄芽球と思われます。
A-3.細胞径10μm大、円形核は偏在しクロマチン網工は凝集塊状、細胞質は多染性の色調から多染性赤芽球と思われます。

B-1.細胞径20μm大、円形核は偏在しクロマチン網工は繊細凝集状、細胞質は強度の好塩基性で辺縁に突起物を有することから前赤芽球と思われます。
B-2.細胞径12μm大、3分葉の分葉核球と思われます。

C-1.細胞径17μm大、核は分葉傾向が強く分葉核好中球を思わせますが、クロマチン網工は繊細気味、細胞質は僅かに好塩基性がみられることから分葉核の単球と思われます。
C-2.細胞径13μm大、核質の所見から顆粒球系を思わせ、核は陥没し核幅の短径が長径の1/3以上の長さ(小宮法.1988)から後骨髄球と思われます。
C-3.細胞径16μm大、核質はリンパ球を思わせますが、クロマチン網工はそれに比べやや繊細で核形不整(核内のうねり:矢印)がみられることから単球と思われます。

D-1.細胞径13μm大、細胞質辺縁は不明瞭で壊れかけの好酸球と思われます。
D-2.3.細胞径12~14μm大、核は円形から類円形でクロマチン網工は粗荒、細胞質は淡青色のことからリンパ球と思われます。
D-4.細胞径13μm大、核は楕円形状でクロマチン網工は粗荒、核幅の短径が長径の1/3以上の長さから後骨髄球と思われます。
問題 2
この症例の形態所見から考えられる疾患は何でしょうか。また、鑑別する疾患とそのポイントも考えてください。
【生後3カ月】 普通分娩出産、嘔吐その後哺乳低下、口内炎、脱水傾向あり
WBC52,800/μL、RBC380万/μL、Hb10.2g/dL、Ht30.6%、PLT5.5万/μL、BM-NCC51.6万/μL
生後3カ月の正期産児で、下痢、嘔吐にて近医を受診し、その後哺乳低下、口内炎、脱水傾向がみられたため当院入院となりました。現症として著明な肝脾腫大を認めました。
【解説】




A.[末梢血-MG] 小球性貧血(MCV80.5fL)、白血球数52,800/μLの白血球分類は、前骨髄球(中央)や単球の増加(21%;11,088/μL)を認め、単球は分葉傾向が多くみられました(矢印)。
B.[骨髄-MG] 骨髄は過形成(51.6万/μL)でM-E比は18.1と顆粒球系が優位でした。
C.[骨髄-MG] 顆粒球系が優位のなか単球系の増加(25%)を認め、前単球(赤矢印)や多くの成熟単球 (青矢印)がみられました。
D.[骨髄-PO/EST二重染] PO染色は顆粒球系に陽性、単球系に陰性から弱陽性がみられ、EST二重染色では顆粒球系はクロロアセテートに、単球系はブチレートに陽性がみられました。
【臨床診断】
本例は乳児例で、芽球は末梢血で1%未満、骨髄で前単球を含め20%未満、双方に単球系の増加が顕著であり、芽球の比率が20%未満のことから慢性骨髄単球性白血病が疑われ、ヘモグロビンF(HbF)の上昇やBCR-ABL1融合遺伝子異常を認めなかったことから若年性骨髄単球性白血病(juvenile myelomonocytic leukemia:JMML)と診断されました。末梢血における単球の形態は、正常型に比べ大型で分葉傾向が強く、骨髄では顆粒球系および単球系の増加の他に小型巨核球を認めました。末梢血における分葉傾向の強い単球は本例でも経験することであり、特徴の1つとして考えてよいかも知れません。著明な肝脾腫大は、肝臓および脾臓への白血病細胞の浸潤も考えられます。WHO分類改訂第4版(2017)では、体細胞にPTPN11、KRAS、もしくはNRAS遺伝子変異を認めると記載されています。類似疾患として、慢性骨髄単球性白血病(CMML)や慢性骨髄性白血病(CML)が考えられますが、前者とは乳児例やHbFが高値であること、後者とはBCR-ABL1遺伝子を認めなかったことが鑑別のポイントになりそうです。
これから先のページでは、医療関係者の方々を対象に医療機器・体外診断薬等の製品に関する情報を提供しております。当社製品を適正に使用していただくことを目的としており、一部の情報では専門的な用語を使用しております。
一般の方への情報提供を目的としたものではありませんので、ご了承ください。
医療関係者の方は、次のページへお進みください。
(お手数ですが、「進む」ボタンのクリックをお願いします)