2020年から医療に関心のある高校生を対象にした医療体験プログラムとして参加型オンラインセミナー 「Withコロナ 未来の医療を創る君へ」(読売新聞社主催)が毎年開催されているそうです。このセミナーでは、6施設の大学病院の先生方が、それぞれの専門分野をテーマとして講義を行い、毎年千数百名の高校生が国内外から参加されています。なお、セミナーは、2019年10月1日に設立された三菱みらい育成財団が助成しており、未来を担う若者の育成を目指す教育活動への助成と、活動成果を高めるための支援・ネットワークづくりや情報発信を行い、その成果を広く社会に波及させるための活動を行っています。また、財団では、今後10年間で100億円を拠出し、このような教育活動の助成と支援を行っていくそうです。
さて、このセミナーの内容ですが、残念ながら高校生ではない小職は参加できませんので(笑)、主催者のレポートなどからその一部を紹介させていただきます。2021年のセミナーは、10月に計6回行われ、順天堂大学、東北大学、藤田医科大学、大阪大学、東京慈恵会医科大学、東京医科歯科大学の医師や研究者たちが医療の現在と未来を伝えられていました。また、コロナ禍の中、緊迫したコロナ外来診療センターや救命救急センターの様子など最前線で奮闘する医療チームなども紹介されました。医療の未来については、現在進められているiPS細胞を用いた「がん免疫療法」、ロボット手術、医療AIの開発支援、ゲノム医療など最先端の治療など事前に撮影した動画を配信することで術前カンファレンスの様子やメスを握るクローズアップした手元など医療現場の一端を垣間見るようにされていました。
今回のセミナーに参加された高校生の方から「何度もチーム医療という言葉を耳にし、各職種がきちんと役割を果たすことの大切さを再認識し、医師の適切な診断へとつながる検査技師として、医療に関わりたい。」といったメッセージが寄せられており、私たち検査技師にとっても心強いかぎりです。
今年の医療体験プログラムは、「地域医療の最前線を体験しよう!」をテーマに高校生を地方の医療機関に派遣し、地方で医療に携わるやりがいと尊さを学んでいただくプログラムとして既に応募が始まっているそうです。最後に今回のセミナーに触れることで、伝えることの大切さを学びました。今年もみなさまにはさまざまなオンラインセミナーでお会いすることになりますが、少しでもこの想いを伝えていきたいと思います。
(引用元:読売新聞教育ネットワーク 医療体験プログラム 大学プログラム 未来の医療描く 高校生向けオンラインセミナー より抜粋)
形態マガジン号キャプテン 阿南 建一

今回の細胞編は、骨髄像において鑑別を要する細胞を出題しました。周囲の細胞と比較しながら同定してみてください。
症例編は、30歳代で末梢血、骨髄標本のMG染色、PAS染色、EST二重染色を提示しています。免疫表現型を含む僅かな検査情報ですが、形態診断に挑んでください。
問題1
BM-MG.1000

BM-MG.1000

BM-MG.1000

BM-MG.1000

問題2
【30歳代】 発熱、全身倦怠感を主訴に来院し、貧血、血小板減少、白血球数増加を指摘された。
WBC 17,200/μL、RBC 238万/μL、Hb 7.7g/dL、Ht 22.8%、PLT 7.2万/μL、BM-NCC 21.5万/μL
[免疫表現型] HLA-DR・CD19・CD34(発現あり)
PB-MG.1000

BM-MG.1000

BM-PO.1000

BM-PAS/EST二重.1000

問題 1
今回も骨髄における類似細胞を提示しましたのでご検討ください。
【正答】
A-1.前骨髄球、2.骨髄球、3.好塩基球
B-1.前骨髄球、2.前単球
C-1.幼若好酸球(前骨髄球)、2.前骨髄球
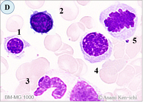
D-1.多染性赤芽球、2.リンパ球、3.分葉核球、4.多染性赤芽球、5.赤分核
【解説】

A-1.細胞径24μm大、核は類円形で偏在し、クロマチン網工は顆粒状、細胞質は軽度好塩基性で粗大な一次顆粒と思われ、ゴルジ野相当は明瞭域(矢印)であることから前骨髄球と思われます。
A-2.細胞径15μm大、前骨髄球(1)より小型で成熟傾向が伺え、核は偏在しクロマチン網工は粗剛、細胞質は橙黄色で顆粒は小さく二次顆粒を思わせ骨髄球と思われます。
A-3.細胞径12μm大、核形とクロマチン網工は不鮮明、細胞質は紫褐色で粗大顆粒は核の上にも散見され顆粒の逸脱もみられることから好塩基球と思われます。顆粒の逸脱は、本細胞が水溶性の性質を有していることが考えられます。

B-1.細胞径20μm大、核は類円形で偏在し、クロマチン網工は顆粒状で核小体を有し、細胞質は軽度な好塩基性で粗大な一次顆粒を思わせることから前骨髄球と思われます。
B-2.細胞径20μm大、核は類円形でやや偏在し、クロマチン網工は繊細網状で核小体を有し、細胞質は軽度な好塩基性で微細なアズール顆粒を認めることから前単球と思われます。これらの細胞は異なる所見が鑑別ポイントです。

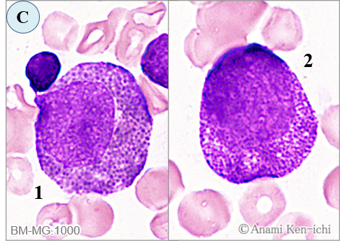
C-1.細胞径19μm大、核は類円形で偏在し、クロマチン網工は顆粒状、細胞質の顆粒は橙紅色の粗大顆粒で充満していることから幼若好酸球(前骨髄球)と思われます。
C-2.細胞径19μm大、核は類円形で偏在し、クロマチン網工は顆粒状、細胞質は暗紫褐色の粗大顆粒が充満していることから好中性の前骨髄球と思われます。

D-1.細胞径9μm大、核は円形で中心性、クロマチン網工は粗剛で小さな凝集状を呈し、細胞質は青紫~紫色のことから多染性赤芽球と思われます。
D-2.細胞径10μm大、円形核のクロマチン網工は粗剛で粗大な凝集塊状、細胞質は軽度の好塩基性からリンパ球と思われます。
D-3.細胞径13μm大、核はうねり状でクロマチン網工は粗大結節状のことから分葉核球と思われます。
D-4.細胞径12μm大、1.と同様でやや大型な多染性赤芽球と思われます。
D-5.細胞径14μm大、核は中心性で細胞質は多染性のことから多染性赤芽球の有糸分裂像で、染色体が赤道面に1列に帯状配列していることから有糸分裂の中期あたりが考えられます
問題 2
この症例の形態所見から考えられる疾患は何でしょうか。また、鑑別する疾患とそのポイントも考えてください。
【30歳代】 発熱、全身倦怠感を主訴に来院し、貧血、血小板減少、白血球数増加を指摘された。
WBC 17,200/μL、RBC 238万/μL、Hb 7.7g/dL、Ht 22.8%、PLT 7.2万/μL、BM-NCC 21.5万/μL
[免疫表現型] HLA-DR・CD19・CD34(発現あり)
30歳代、発熱、全身倦怠感を主訴に来院、貧血、血小板減少を指摘され、末梢血に芽球の出現を認めたため入院となりました。
【解説】




A.[末梢血-MG] 白血球数増加(17,200/μL)の白血球分類で芽球を34%認めました。それらは、N/C比が高く、核形不整がみられクロマチン網工は繊細でした。
B.[骨髄-MG] 骨髄は正形成(21.5万/μL)ながら芽球を91.0%認めました。それらは、大型でクロマチン網工は繊細で明瞭な核小体を認めました。
C.[骨髄-PO] 芽球はPO染色に陰性でした。
D.[骨髄-PAS/EST二重] 芽球はPAS染色に顆粒状の陽性を呈し、ブチレートEST染色は陰性でした。
【臨床診断】
芽球は増加し、その形態は、核形不整や明瞭な核小体を認め、PO染色が陰性のことからPO陰性の急性白血病を考えました。形態学的ならびにブチレートEST染色が陰性のことから、M5a、M6b、M7を否定し、AMLではMO(最未分化型)、またALL(急性リンパ性白血病)を疑いました。免疫形質では、HLA-DR、CD34、CD19の発現を認めたことから未熟なB細胞性ALLと診断しました。
その後、染色体・遺伝子検査で、9;21転座、BCR-ABL1遺伝子異常が認められたことから、BCR-ABL1陽性ALLと診断されました。BCR-ABL1遺伝子は慢性骨髄性白血病(CML)の95%に認めメジャーBCR-ABL1とされますが、本型ではマイナーBCR-ABL1とされます。
経験から、比較的に中高年に多く、初診時の白血球数は増加し、上述した芽球の形態異常を認めることが多いようです。本型は成人の約30%にみられ予後不良とされ、最近では分子病態に応じたチロジンキナーゼ阻害薬併用化学療法が検討されています。
これから先のページでは、医療関係者の方々を対象に医療機器・体外診断薬等の製品に関する情報を提供しております。当社製品を適正に使用していただくことを目的としており、一部の情報では専門的な用語を使用しております。
一般の方への情報提供を目的としたものではありませんので、ご了承ください。
医療関係者の方は、次のページへお進みください。
(お手数ですが、「進む」ボタンのクリックをお願いします)