前 略
「解体新書」が世に出てから今年で240年を迎えるそうです。
本書はオランダ語の解剖書「ターヘル・アナトミア」を翻訳したもので、翻訳者は杉田玄白をはじめ、中津藩医の前野良沢(りょうたく)ほか数名によって行われ、オランダ語の知識があった前野良沢が中心となり進められたと言われています。
出版された「解体新書」の著者には、杉田玄白(福井県小浜藩医)と小浜藩医数名の名前が連なっていますが、前野良沢の名前が記されておりません。理由は定かではありませんが、玄白が出版した「蘭学事始」には良沢の業績を褒め称えています。
「解体新書」は、1771年3月5日良沢49歳、玄白39歳の頃、中津藩中屋敷(現在の聖路加国際病院周辺)の良沢の住まいで翻訳を着手し、抜群のチームワークのもとで1年半のスピード出版に至ることになりました。当初、玄白はオランダ語を読むことが出来ず、良沢も翻訳を行うほどのボキャブラリーを持ち合わせておりませんでしたが、暗号解読ともいえる方法により、翻訳作業を進めたそうです。それから解剖図描写には角館の天才絵師・小野田直武も加わり完成に至りました。その後、玄白らは、幕府から発禁処分にならないように周到な準備を重ね、1774年8月、5冊の解体新書(249ページ)がついに発刊されました。この翻訳事業は、現代の医学のみではなく、日本のすべての科学の源流であり、日本の科学史はここから始まった、とさえ言われています。
中津市は私の郷里に近く、大分県の北西端に位置する人口8.6万人の城下町で、福澤諭吉旧居、中津城などの文化財や歴史的建造物が現存しており、「蘭学の泉はここに」と刻まれた蘭学創始の記念碑が建てられ、その碑の横には同じ中津藩士の福沢諭吉が創立した「慶応義塾発祥の地」の碑も建てられています。 中津藩蘭学は前野良沢に始まり、福沢諭吉に至るまで数多くの蘭学者・蘭方医を輩出しました。
中津藩蘭学の祖である前野良沢はまさしく近代日本医学のパイオニアでもあります。
参考文献:旅のライブ情報誌Please,No.319.20-23.JR九州
草々
形態マガジン号キャプテン 阿南 建一 
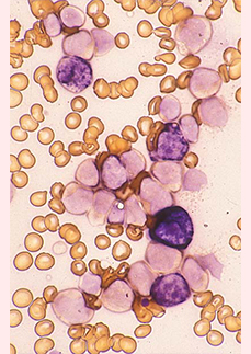
今回は、骨髄像の細胞同定と症例の形態診断に挑戦します。
骨髄では、顆粒球系の成熟過程と赤芽球系の細胞を今までの経験を生かし同定を試みてください。
症例では、特殊染色からAMLを如何に捉えるかになります。PO染色とEST二重染色の所見が合致しているかどうかが問題です。
骨髄像の細胞同定をリストから選んでください。
PB-MG ×1000

PB-MG ×1000

PB-MG×1000

PB-MG ×1000

分化傾向が見られたAML(芽球は35%)ですが、特殊染色から最も考えられる病型は何ですか?
BM-PO×400

BM-EST二重×400







(CASE A) 1-⑪.正染性赤芽球, 2-③.骨髄球, 3-⑤.桿状核球,
4-⑥.分葉核球, 5-⑬.リンパ球, 6-⑥.分葉核球
(CASE B) 1-⑦.好酸球, 2-⑪.正染性赤芽球, 3-④.後骨髄球,
4-②.前骨髄球, 5-⑫.単球
(CASE C) 1-⑥.分葉核球, 2-⑩.多染性赤芽球, 3-⑧.前赤芽球
(CASE D) 1-⑥.分葉核球, 2-⑩.多染性赤芽球, 3-⑬.リンパ球,
4-⑬.リンパ球
(CASE A)
1.は赤芽球のなかでもっとも小型(8-18μm)で核濃縮を呈した正染性赤芽球です。4.6は分葉核球です。2.は前骨髄球にみえますが大きさは12-20μmと小さく、核の占める割合は低く、円形核から骨髄球に同定しました。3.は後骨髄球にみえますが、核の長径と短径の比率が3:1以上の長く曲った(湾曲)核を有し、クロマチンが粗剛により桿状核球に同定しました。5.は顆粒を有する大リンパ球と思われます。
(CASE B)
1.は好酸性顆粒を有することより成熟好酸球です。2.は正染性赤芽球です。3.は桿状核球(A-3)に似ていますが、1時・5時・8時方向あたりが隣接する赤血球に押し潰されていますので通常より小さくみえることと、クロマチンがやや柔らかく、そして湾曲した核の長径と短径の比率が3:1未満で後骨髄球に同定しました。4.も8時・12時方向が押し潰されていますので本来はもっと大きく、核の偏在性と大型なアズール顆粒を有することから前骨髄球に同定しました。
5.は前骨髄球に似ていますが、核形不整やクロマチンの繊細さ、また微細なアズール顆粒を有することから幼若単球(前単球)に同定しました。
(CASE C)
1.は核の最小幅が最大幅の1/3未満であることから分葉核球に同定しました。
2.は正染性赤芽球に似ていますが、大きさはそれよりも大きく(12-18μm)、クロマチンは粗大で一部塊状がみられ、多染性の細胞質の色調から多染性赤芽球に同定しました。
3.は赤芽球のなかで最も大きく(20-25μm)、核は特徴的な円形からやや不整で、強度の好塩基性の細胞質に突起を有することから前赤芽球と思われます。
(CASE D)
1.は3分節の分葉核球です。2.はまだ分裂能を持ち合わせた多染性赤芽球と思われます。
細胞質はやや好塩基性を呈していますが、多染性赤芽球はヘモグロビンの合成が最も強く、それは好塩基性赤芽球の終期から正染性赤芽球の前期あたりまでのかなり広い範囲内で行なわれることにより細胞質の色調は多様性を呈します。
3.と4.はリンパ球で、3.はアズール顆粒も少し認めるようです。

まず、わずかな情報から本例を整理しましょう。分化型AMLで骨髄の芽球が35%みられていることから、分化型急性骨髄性白血病(M2)、急性骨髄単球性白血病(M4)、急性単球性白血病(M5b)が考えられます。
次に特殊染色です。細胞の分布に差がみられますが、PO染色の陽性所見は顆粒球系細胞と考え、陰性(一部弱陽性)の所見は単球系細胞として解釈するのが一般的でしょう。PO陰性の単球系は形態学的に単球への分化傾向がうかがえます。EST二重染色ではクロロアセテートESTに陽性の顆粒球系細胞が散見され、ブチレートESTは陰性のようです。これらの所見から上記のM2、M4、M5bについて解析してみましょう。
1)M2を考える場合
PO染色の陽性と陰性がほぼ半々であり、単球の混在がうかがえます。そして、EST二重染色では細胞分布は少ないものの顆粒球系細胞が陽性であり、それはPO染色の陽性率に比べると少ない。一般に顆粒球系細胞のPO陽性とクロロアセテートEST陽性の比率はほぼ相関することを思えば本型は合致しません。
2)M4を考える場合
PO染色は顆粒球系細胞と単球系細胞の混在をうかがわせます。しかし、EST二重染色のブチレートEST染色に肝心の単球系細胞が染まっていないことから本型は合致しません。
3)M5bを考える場合
M5bの判定基準より、骨髄の単芽球は80%未満で顆粒球系細胞が10%未満とされるのでPO染色では顆粒系細胞が多すぎて合致しません。またM5bは単球系成分が主体のためブチレートEST染色は強陽性を呈することになるためブチレートESTの陰性は合致しません。
【考察】
三病型ともスムーズに合致しません。しかし、PO染色とEST二重染色の特異性を考慮するとPO染色の方が信頼性は高いようです。従って、PO染色の所見を優先すれば、ブチレートESTに陰性の単球系細胞が存在することに到達します。文献からM4の10~20%にみられるといわれます。
M4の診断は、末梢血に芽球の増加と単球数が5,000/μlを超える場合が有効な所見となり、血清・尿リゾチームの上昇も診断を後押しします。
これから先のページでは、医療関係者の方々を対象に医療機器・体外診断薬等の製品に関する情報を提供しております。当社製品を適正に使用していただくことを目的としており、一部の情報では専門的な用語を使用しております。
一般の方への情報提供を目的としたものではありませんので、ご了承ください。
医療関係者の方は、次のページへお進みください。
(お手数ですが、「進む」ボタンのクリックをお願いします)