前 略
大分市の高崎山には高崎山自然動物園があり、その麓の万寿寺別院の境内には野生のニホンサルの餌場が設けられており、観光スポットとなっています。
このサルの世界で2011年2月からC群の9代目ボスサルに就任したのが“ベンツ”でした。ベンツは、1987年その類まれな度胸と統率力から最年少の9歳でB群のボスに就任したのですが、ある時C群の美人サルのリズと恋に落ちてしまい、ボスサルの座を捨ててしまったのです。よそ者のベンツは、C群ではなかなか受け入れてもらえなかったのですが、ひっそりとリズと暮しておりました。ところが2002年餌場を巡ってA群(830頭)との大抗争が発生しました。当時のC群(700頭)のボスサルは、恐れをなして何もできなかったのですが、なんとベンツは1人でA群に乗り込み、敵を撃破してしまったのです。しかし、その功績があってもボスにはなれません。ボスサルになる条件は、一番強いものではなくて群れに一番長くいるオスサルが就任することになっているためです。2011年ベンツは、苦節20年就任時の年齢は推定33歳(人間なら100歳以上)で高崎山始まって以来2つの群れのボスサルになりました。そのベンツですが、昨年12月から行方不明となり、1月17日に死亡認定されました。腕っぷしが強くて男気があり、恋に生きたベンツは“伝説のボス”となってしまいました。
追伸 C群の新しいボスには温和な「ゾロメ」が就任しましたが、今後の統率力に期待したいものです。
草々
形態マガジン号キャプテン 阿南 建一 

ベンツ

ゾロメ
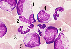
今回は、骨髄像の細胞同定と特殊染色の捉え方に挑戦します。骨髄像の顆粒球系の成熟過程と赤芽球系の細胞同定です。今までの経験を活かし同定を試みてください。
特殊染色では鉄染色を取り上げました。鉄染色はPAS染色と同様に自家製法が鋭敏な染色性をもたらします。その場合、①2%フエロシアン化カリウム、②2%HCL、③1%サフラニンOを順番に従って混合することで染色が成立します。鉄顆粒を有する赤芽球や有しない赤芽球を判定し分類します。また、マクロファージについても注目します。
骨髄像の細胞同定をリストから選んでください。
BM-MG ×1000

BM-MG ×1000

BM-MG ×1000

骨髄の鉄染色ですが考えられる所見をリストから選んでください。 また、A , B の所見から考えられる貧血症をリストから選んでください。
BM-Fe ×1000

BM-Fe ×1000

BM-Fe ×400






(CASE A) 1-⑫.多染性赤芽球, 2-①.骨髄芽球, 3-⑤.桿状核球
(CASE B) 1-⑥.分葉核球, 2-②/③.前骨髄球/骨髄球
3-⑦.幼若好酸球, 4-⑧.リンパ球
(CASE C) 1-④.後骨髄球, 2-⑤.桿状核球, 3-⑥.分葉核球
4-③.骨髄球, 5-②.前骨髄球, 6-②.前骨髄球
(CASE A)
1.は1時方向の2個も同様に細胞質の多染性の色調とクロマチンの結節状がみられることから多染性赤芽球です。2.は一見前赤芽球を思わせるが、それに比べると大きさは小さく、N/C比が高く、核網の繊細と明瞭な核小体がポイントになり骨髄芽球と思われます。3.は一見後骨髄球を思わせますが、中央部に桿状様のくびれとクロマチンの結節がみられることから成熟傾向が推測され桿状核球と思われます。
(CASE B)
1.は4時方向も同様に核に分節(くびれ)がみられることから分葉核球です。2.は2時と4時の赤血球に押しやられ多少小さくなっていることを推測します。核網はやや繊細気味で中央に核小体らしきものが確認され、細胞質は弱いながらも好塩基性で顆粒は小さいようです。核の様相や細胞質の色調からは前骨髄球を、小さめの顆粒の状態からは骨髄球も考えられます。従って両者の性格を持ち合わせたものとしました。
(CASE C)
顆粒球系の成熟過程の問題です。幼若型から着眼すると、5.と6.は核・細胞質所見から前骨髄球に問題はないでしょう。4.は軽度に核縁の陥没はみられますが、1.の後骨髄球に比べるとほぼ円形であり骨髄球にしました。1.と2.は類似していますが、核の湾曲が強いのは2.になりますので1.は後骨髄球で、2.は桿状核球と思われます。




(選択所見)
所見A-③.不可染鉄の赤芽球がみられる。
所見B-②.可染鉄の赤芽球がみられる、すなわち環状鉄芽球です。
また、④-マクロファージに鉄の取り込みがみられる。
(貧血症)
所見A-③.鉄欠乏性貧血
所見B-②.鉄芽球性貧血。
【解説】
鉄欠乏性貧血では、貯蔵鉄(フエリチン)の枯渇が特徴ですので血清鉄の著減や赤芽球には鉄顆粒がほとんどみられません。慢性疾患に伴う貧血(二次性貧血)でも血清鉄が減少することがありますが、それは基礎疾患による一過性ものと解釈されますのでフエリチンの枯渇はみられません。
従って、血清フエリチン値が減少すれば鉄欠乏性貧血を、正常から増加のときは二次性貧血を疑うことになります。
これから先のページでは、医療関係者の方々を対象に医療機器・体外診断薬等の製品に関する情報を提供しております。当社製品を適正に使用していただくことを目的としており、一部の情報では専門的な用語を使用しております。
一般の方への情報提供を目的としたものではありませんので、ご了承ください。
医療関係者の方は、次のページへお進みください。
(お手数ですが、「進む」ボタンのクリックをお願いします)