前 略
昨年11月、拙宅の庭に「しだれ梅」が登場し、山紅葉と共に主役を演じておりました。そして、この2月春を告げる花のように見事にピンクの花を咲かせてくれました。梅の花言葉は、高潔、忠義、澄心と清潔で気高くといわれますが、しだれ梅は柔らかさや華やかさもあるようです。
2月のある休日、「しだれ梅」を眺めながら縁側で一人飲めないお酒をたしなみました。ほろ酔い気分にもなり、ついつい好きな唄を3曲ほど口ずさんでしまいました。
♪左利きのあなたの手紙 右手でなぞって真似てみる いくら書いても埋め尽せない 白紙の行がそこにある・・(谷村新司 曲・堀内孝雄 詩/終止符:アリス)。夏の恋に終わりを告げこれから長い秋を迎える切なさを唄ったものです。
♪素肌に片袖通しただけで 色とりどりに脱ぎ散らかした 床に広がる絹の海・・・・最後の仕上げに手鏡みれば灯(あかり)の下で笑ったはずが 影を集める泣きぼくろ・・(南こうせつ 曲・阿木燿子 詩/夢一夜:南こうせつ。昔は女性の心理をうまくついた唄だな・・と勝手に解釈していましたが不倫の唄でした。
♪マッチを擦ればおろしが吹いて、線香がやけにつきにくい さらさら揺れる 吾亦紅(われもこう)・・・・親のことなど気遣う暇に 後で恥じない自分を生きろ あなたのあなたの形見の詩 守れた試しなどないけど・・(杉本眞人 曲・ちあき哲也 詩/吾亦紅:すぎもとまさと)。親不孝の息子がようやく母親の墓参りに帰省したことを唄ったものです。
いづれも心につまされる唄で、すばらしい歌詞、曲にいつも感銘していますが、これって私のカラオケのレパートリーの3曲でもあります。来る秋の紅葉の季節には何を口ずさもうかな。
草々
形態マガジン号キャプテン 阿南 建一 

我が家のしだれ梅
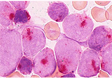
末梢血液像ではユニークな形態を示すものを提示しました。
末梢血液は採血行為や抗凝固剤、はたまた患者さん自身の抗体の存在で予想もしない形態に遭遇するときがあります。それらは自動血球計数装置にも影響を与えることになりますので、それらに対しては回避法を認識しておくことが大事なことになります。
症例としては、Tリンパ芽球性白血病における酸ホスファターゼ染色の反応所見を提示しました。今日、リンパ系腫瘍においては細胞マーカーで診断がなされますのでほとんど実施されていない施設も多いかと思いますが、陽性態度は覚えておきましょう。
末梢血液像の細胞同定をリストから選んでください。
PM-MG ×1000

PM-MG ×1000

PM-MG ×1000

PM-MG ×1000

Tリンパ芽球性白血病の酸ホスファターゼ染色の反応はどれですか。また、反応態度は何と表現しますか。
CASE A:BM-ACP ×1000

CASE B:BM-ACP ×1000







(CASE A) ③ 異常リンパ球
(CASE B) ④ 変性リンパ球
(CASE C) (左)② 異型リンパ球または、④ 変性リンパ球
(右)③ 異常リンパ球
(CASE D) ⑥ 偽ペルゲル核異常
(CASE A)
CASE Bと類似していますので、それと比較してみましょう。双方ともリンパ球と思われ、核形不整(クローバ状)が特徴です。CASE Aは弱好塩基性の細胞質に核網はやや繊細ですが、核形不整は立体的にみえるところから異常リンパ球すなわちATL細胞に同定しました。ATL細胞は通常クロマチンが増量し濃染状にみえますが、本例はさほどみられないようなので染色性に問題があるのかもしれません。しかし、立体的な核形不整は重要な所見になるかも知れません。
(CASE B)
CASE Aに比べると、核網工は粗鋼でクロマチン量が多くみえ、核形不整(クローバ状)は平面的でアズール顆粒がうかがえます。ATL細胞と異なる点は、核形不整が平面的であることとアズール顆粒を有することです(ATL細胞には通常顆粒は認められません)。そして核の濃染状と細胞質の好塩基性は変性の状態にあるものと思われ変性リンパ球に同定しました。
(CASE C)
(左)は大型で、N/C比がやや高く、細胞質の好塩基性が特徴です。核網工はやや繊細といよりも伸びきった状態にみえることから、壊れる寸前の細胞がうかがえます。従って、変性リンパ球もしくは破壊寸前(アポトーシスの状態)の異型リンパ球も考えられます。
(右)は周囲の赤血球に圧迫された状態にある細胞で鏡検には不適の箇所になりますが、少数細胞ではそうは言ってはおられません。全体的にN/C比は高いようで、核網工は粗鋼で一部核形不整(12時方向)がみられることより異常リンパ球として同定しました。本例は非ホジキンリンパ腫の白血化の例です。
(CASE D)
核がほぼ円形のためリンパ球に類似した細胞です。核の形状とクロマチンの結節状そして細胞質の好酸性の色調から好中球を考え、核の形態異常として偽ペルゲル核異常に同定しました。
本細胞は低顆粒もみられます。



(選択所見)
① Aの所見である
① 凝集塊状
【解説】
表面マーカーの検査が登場する以前(1976年頃)のT細胞、B細胞の証明はE/EACロゼット形成試験や細胞化学染色の酸ホスファターゼ(ACP)染色が好んで用いられていました。ちなみに1976年とはFAB分類が登場した年ですね。
ACPとは、消化の過程において他の分子から遊離リン酸基を結合させるモノリン酸エステラーゼで大半の細胞の細胞質に含まれます。
リンパ球では正常のT細胞とB細胞で陽性所見が異なり、前者は点状(凝集状)に後者は散在性に染まるのが特徴です。これが腫瘍細胞になっても変わらず、T細胞では大きな凝集塊状に、B細胞は強めの散在性(CASE B)としてみられます。
表面マーカーの検査が普及している現在、本染色はリンパ系細胞には使用されなくなりましたが知識として収めておくことは重要と思われます。
これから先のページでは、医療関係者の方々を対象に医療機器・体外診断薬等の製品に関する情報を提供しております。当社製品を適正に使用していただくことを目的としており、一部の情報では専門的な用語を使用しております。
一般の方への情報提供を目的としたものではありませんので、ご了承ください。
医療関係者の方は、次のページへお進みください。
(お手数ですが、「進む」ボタンのクリックをお願いします)