南米ペルーの世界遺産(1983年12月9日登録)マチュピチュ遺跡のマチュピチュ村で、生涯を捧げた日本人「野内与吉」氏のお話です。最近、テレビで紹介され知ることになりました。マチュ・ピチュはケチュア語で“年老いた峰”を意味し、“年若い峰”を意味するワイナ・ピチュへと連なる尾根の部分に都市が建設されたそうで、この都市遺跡は1911年(Bingham.米国)に発見されました。
15世紀のインカ帝国の遺跡とされ、栄えたアンデス文明は文字をもたなかったといわれ、未だに解明されていないことが多く、世界七不思議の1つとされています。
野内与吉氏は1895年福島県安達郡の裕福な農家に生まれるも、海外で成功したい夢を抱き、1917年(21歳)契約移民としてペルーに渡りました。しかし、契約内容と現地の状況は異なり、1年で辞め、米国やブラジル、ボリビアなどを放浪します。1923年ペルーに戻り、ペルー国鉄クスコ-サンタ・アナ線に勤務し、電車の運転や線路工事に携わりました。1929年、クスコ(インカ帝国の首都)~マチュ・ピチュ区間の線路が完成しました。与吉氏は、前年に現地の女性と結婚しマチュ・ピチュに住み二男二女に恵まれます。手先の器用であった与吉氏はマチュ・ピチュ村に川から水を引いて畑を耕し、水力発電を作り村に電気をもたらしました。また機械修理や創意工夫に富み、労をいとわずマチュ・ピチュ村のために尽くされたようです。
1935年にこの村で初めての木造建築の「ホテル・ノウチ」を建築しました。3回建ての21部屋、1階は村の郵便局や交番に2階は村長室や裁判所などに提供し、マチュ・ピチュ村は発展したそうです。村人に信頼され人望を集め、1939~1941年には村の最高責任者である行政官を務めました。その後、前妻と別れた与吉氏は再婚し、5人の子供に恵まれたそうです。1947年、村の川が氾濫し土砂災害に見舞われた際、地方政府の命令で、復興のため1948年与吉氏はマチュ・ピチュ村の村長に任命されました。
与吉氏は、すでにマチュ・ピチュ遺跡の情報を先取りし、世界に広めるためにクスコから鉄道を引き、ホテルまで創設させていたと言われ、先見の明があったことになります。現地では今も“ノウチ”氏の名前は継承されています。1968年、郷里の福島へ52年ぶりに帰郷するも両親はすでに他界、地元の新聞やラジオ番組に出演し、肉声は今も残っているそうです。日本へ戻るよう家族は説得するも、ペルーに残した子供たちが気がかりになりクスコに戻り、その2ヶ月後の1969年8月29日に永眠されました。
孫の一人である日系三世の野内セサル良郎氏は、祖父の存在やペルーの魅力を伝えるため「日本マチュピチュ協会」 を設立し、日本とペルーの架け橋になって頑張っておられます。2017年5月「野内与吉資料館」完成のあと、2018年3月12日福島県大玉村に「野内与吉資料館」が新装オープンされました。
日本からペルーまで約16,000キロの神秘の世界遺産に日本人が関わっていたことを誇りに思います。
(参考資料:日本マチュピチュ協会HPおよび関連記事)
形態マガジン号キャプテン 阿南 建一 
今回は血液像の観察でマイナーな細胞に焦点をあててみました。
そのなかに鑑別する細胞も含め提示しました。
症例編は、わずかな臨床像と検査データから次なる検査を模索し、末梢血および骨髄像から臨床診断を試みて下さい。
末梢血液像の細胞同定を行なって下さい。
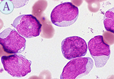
BM-MG×1000

BM-MG×1000

BM-MG×1000

BM-MG×1000

BM-MG×1000

BM-MG×1000

光顕的所見から臨床診断を考えて下さい。
【所見】
【60-65歳.男性】
【主訴】 発熱・皮膚出血 [末梢血-MG/PO,骨髄-MG] 【検査】 WBC126,000/μL、RBC356万/μL、Hb11.3g/dL、Ht35.4%、PLT3.4万/μL、NCC85.0万/μL
PB-MG×1000

PB-PO×1000

BM-MG×1000

BM-MG×1000

問題 1
末梢血液像の細胞同定を行なって下さい。
【解説】





問題 2
60-65歳.男性。発熱と皮膚出血を主訴として来院されました。来院時の検査データでは貧血、血小板数減少、白血球数の著増が特徴で、DIC所見もみられました。
【解説】
(PB-MG×1000)

(PB-PO×1000)

(BM-MG×1000)

(BM-MG×1000)

これから先のページでは、医療関係者の方々を対象に医療機器・体外診断薬等の製品に関する情報を提供しております。当社製品を適正に使用していただくことを目的としており、一部の情報では専門的な用語を使用しております。
一般の方への情報提供を目的としたものではありませんので、ご了承ください。
医療関係者の方は、次のページへお進みください。
(お手数ですが、「進む」ボタンのクリックをお願いします)