去る4月29日から7日間、第116回有田陶器市が新緑の薫る佐賀県有田町で開催されました。私は、今年も開催日に知人の車に便乗し、早朝から意気込んで陶器市に向かいました。現地集合の知人たちと合流し、陶器市を散策していましたが、あいにくの小雨模様で午後からは本降りとなってしまい、やむなく散会となりました。
ここ数年は天候には恵まれていましたので残念でしたが、道中での気ままな買い物や他愛もない会話を楽しみました。陶器市では、その後天候にも恵まれ、会期中の人出が、昨年よりも2万人多い約126万人だったそうです。陶器市では、最終日になると、“100円ですよ‥どうですか”と客引きのかけ声や沿道の賑いにはいつも心が和まされます。また、気に入った陶器を如何に安く仕入れるかが腕のみせどころです。
有田陶器市の始まりを調べてますと、その昔、有田は弘法大師開山の黒髪山に訪れるお遍路さんたちの通り道であり、窯元や商家の人たちは、お遍路さんのため半端物や等外品をザルや箱に入れて売ったそうです。明治29年、深川栄左衛門氏と田代呈一氏の主催で陶磁器品評会が開催され、その後、この品評会と同時に開催されるようになった蔵ざらえ大売出しが現在の有田陶器市の始まりとされています。
毎年気に入った陶器を少しですが購入していますが、我が家の食卓に並ぶことでささやかな食事にも
彩りを添えてくれてます。同じ時期に、江戸時代から続く大衆向けの波佐見陶器市(長崎県波佐見町)も開催されており、近年とても人気があります。皆さんも是非、有田や波佐見の陶器市にお越しになってみませんか。

形態マガジン号キャプテン 阿南 建一 
今回は、細胞同定と症例検討を提示しました。
細胞編は、末梢血液像に遭遇する未確認な細胞を提示しました。
これらは採血や疾患、はたまた薬剤によって起る事例です。
症例編は、共に貧血が先行する疾患群ですが、経過後、改善されました。骨髄像のMG染色から臨床診断を試みて下さい。
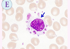
末梢血液像にみられた未確認物体ですが同定してみて下さい。






光顕的所見から臨床診断を考えて下さい。
【症例】
(A)60歳代の男性、(B)4~6歳の女児
これらの細胞像は、共に一つの疾患群に含まれるものですが、貧血が指摘され、その精査のために骨髄検査が施行されました。骨髄のMG染色を提示しますので形態学的所見を考えて下さい。そして、発症の原因を模索し、該当する疾患を考えてみましょう。尚、共に経過後、貧血は改善されました。


問題 1
末梢血液像にみられた未確認物体ですが同定してみて下さい。
【解説】
BM-MG.1000





問題 2
【解説】

これから先のページでは、医療関係者の方々を対象に医療機器・体外診断薬等の製品に関する情報を提供しております。当社製品を適正に使用していただくことを目的としており、一部の情報では専門的な用語を使用しております。
一般の方への情報提供を目的としたものではありませんので、ご了承ください。
医療関係者の方は、次のページへお進みください。
(お手数ですが、「進む」ボタンのクリックをお願いします)