去る4月9日、大阪造幣局の敷地内にある“桜の通り抜け”を初めて訪れました。この「通り抜け」は、構内通路沿いに植えられた134品種、338本の桜並木を開花時期に観賞し、沿道を通り抜けることからそのように言われています。また、その歴史は古く、明治16年(1883年)、当時の造幣局長遠藤謹助氏が“役人だけが花見をしてはいけない”と一般に開放し、始まったそうです。会期は1週間で、当日は初日にあたり、午後1時間ほど滞在し、春の訪れを満喫致しました。まだ、蕾のままの桜も見受けられましたが、八重桜(ヤエザクラ)の花びらは重なり合い、牡丹のように咲き乱れ、優美ないで立ちで春の訪れを知らせていました。また、染井吉野(ソメイヨシノ)より少し開花が遅いため、絶妙のタイミングで観賞することが出来ました。「通り抜け」では、午後9時までぼんぼりが灯火されますので夜桜はまた格別でしょう。
八重桜は、桜の花言葉から引用すれば“しとやか・理知”とされ、染井吉野(ソメイヨシノ)は“高貴・清純”と言われています。本所は、日本さくら名所100選にも選出されており、情報リサーチでは毎年約70万人が訪れ、全国8位の観桜者数で大阪エリアでは1位となっています。因みに全国では、1位は上野恩腸公園(400万人)、2位は青森弘前公園(200万人)だそうです。
日本の国花は?と尋ねられると、菊(キク)を思い出しますが、広辞苑では「桜または菊」とされており、法的な公式性はなく、他国でも2種類以上の国花を持つ国もあるようです。そう言えば、パスポートの表紙や天皇、皇室を表す紋章には菊花紋章が用いられていますが、桜は、我々日本人には大変人気があり、古くから愛されてきました。優しい姿と繊細で桜色の花びらがあっという間に散り落ちていく姿に私たちそれぞれが自分自身を投影しながら、春の到来を感じ迎えているのでしょうね。
このメールマガジンが配信される頃には、釧路市でも桜の見ごろを迎えることでしょう。本州では、サツキ、フジの花の季節を迎えますのでまだまだ春を謳歌しましょう。

形態マガジン号キャプテン 阿南 建一 
今回は、細胞同定と症例検討を提示しました。
細胞編は、骨髄における赤芽球と思われる細胞を提示しました。提示細胞の形態情報を深く追究してみましょう。みえない部分がみえて来るという洞察力を“形態の目視録”に置き換えて今年は意気込んでおります。
症例編は、わずかな臨床像と検査データから次なる検査を模索し、骨髄像から臨床診断を試みて下さい。
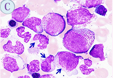
骨髄の赤芽球と思われる細胞像を提示しましたので、同定を行なって下さい。
PB-MG×1000

光顕的所見から臨床診断を考えて下さい。
【所見】
【60~65歳.女性】
主訴:貧血、血小板減少
WBC4,600/μL(Band10,Seg41,Eo2,Ly26,Mo21%)、RBC342万/μL、Hb10.7g/dL、Ht31.5%、PLT2.2万/μL、NCC35.4万/μL、NCC15.6万/μL(Blast3%)
PB-MG×400

BM-MG×400

BM-MG×1000

BM-PO/EST二重×1000

問題 1
骨髄の赤芽球と思われる細胞像を提示しましたので、 同定を行なって下さい。
【解説】
BM-MG.1000

問題 2
60歳代.女性。貧血を主訴に来院し、血液検査から血小板数の著減を指摘され骨髄検査が施行されました。
【解説】
(PB-MG×400)

(BM-MG×400)

(BM-MG×1000))

(BM-PO/EST二重×1000)

これから先のページでは、医療関係者の方々を対象に医療機器・体外診断薬等の製品に関する情報を提供しております。当社製品を適正に使用していただくことを目的としており、一部の情報では専門的な用語を使用しております。
一般の方への情報提供を目的としたものではありませんので、ご了承ください。
医療関係者の方は、次のページへお進みください。
(お手数ですが、「進む」ボタンのクリックをお願いします)