前 略
このたびの東日本大窟災に際し、被災された皆様には心よりお見舞いとお悔やみを申し上げます。また、過酷な状況の中、救済活動にご尽力されている関係者の皆様には心からお礼申しあげます。また、東北地方の皆様の粘り強さにより、1日も早い復興と創生を心よりお祈り申し上げます。
このような時期にとは思いましたが、読者の皆様の心強いお声を頂いております「マンスリー形態マガジン」を5月より再開させていただきます。
今回は、1年12回のコースとして、血液形態学検査のながれと着眼点を判りやすく解説します。血液形態学検査は臨床診断をサポートする大切なものであり、臨床検査技師にのみ与えられた技術です。新しい年度となり、新しい職場や検査業務で血液学検査に従事されます方々にもお役に立てる内容としております。
以上形態マガジンを通じて皆様とお会いできますことを楽しみにしております。
草々
形態マガジン号キャプテン 阿南 建一 
CASE 1~6の細胞を同定してください。また、同定した理由についてもそれぞれの所見から選択してください。
PB-MG.1000

PB-MG.1000

PB-MG.1000

PB-MG.1000

PB-MG.1000

PB-MG.1000

| CASE 1 | CASE 2 | CASE 3 | CASE 4 | CASE 5 | CASE 6 | |
|---|---|---|---|---|---|---|
正解細胞 |
リンパ球 |
リンパ球 |
異型リンパ球 |
異型リンパ球 |
リンパ球 |
異常リンパ球 |
細胞の大きさ |
13μm以下 |
13μm以下 |
13μm以下 |
13μm以上 |
13μm以下 |
13μm以上 |
N-C比 |
低い |
低い |
低い |
低い |
低い |
高い |
核の偏在性 |
なし |
あり |
あり |
あり |
あり |
なし |
核形不整 |
なし |
軽度 |
なし |
中程度 |
なし |
切れ込み |
核小体 |
なし |
なし |
なし |
なし |
なし |
多い |
核網 |
粗鋼/結節状 |
粗鋼/結節状 |
粗鋼 |
粗鋼 |
粗鋼/結節状 |
繊細 |
細胞質の色調 |
淡青色 |
淡青色 |
全般に好塩基性 |
全般に好塩基性 |
淡青色 |
淡青色 |
細胞質の顆粒 |
なし |
アズール顆粒 |
なし |
なし |
なし |
なし |
細胞質の封入体 |
なし |
なし |
なし |
なし |
なし |
なし |
細胞質の空胞 |
なし |
なし |
なし |
あり |
なし |
なし |
細胞質の突起 |
なし |
なし |
なし |
なし |
なし |
なし |
今回は末梢血にみられる6個のリンパ球(CASE1~6)の同定に挑戦しました。
リンパ球の同定を行う場合は、まず類似細胞として単球、異型リンパ球、異常リンパ球を両横に置き、異なる細胞所見をポイントにして相互の鑑別を行います。類似細胞は常に鑑別細胞になります。
細胞鑑別には論理的方法として重田ら(1982)の分析帰納法、比較類推法、除外法からみた論理的方法があります。分析帰納法とは成書や図譜の基準的な形態的特徴と比較して、ある特定の細胞として同定する方法、比較類推法とは細胞形態の変動相を理解しどの群の特色を多くもっているかを認識し同定する方法、除外法とは典型的な細胞形態からどの系統にも合致しないことから別な系統の細胞として同定する方法のようです。言葉にして表現すれば堅苦しく思えますが、鏡検者は日常これらを念頭にして少なからず同定していることになります。
このような観点から、リンパ球がキーポイントになる細胞は異系統では単球、同系統では異型リンパ球・異常リンパ球になりますので各々の細胞所見に着眼し鑑別を試み同定に結びつけます。


これはリンパ球と同定しました。
リンパ球が単球と異なる所見は1.細胞は小さい(通常は13μm以下)2.核網は粗鋼3.細胞質は淡青色4.アズール顆粒(ある場合は少なく太い)などです。
本細胞には顆粒は認めませんが単球とは異なる所見がうかがえます。細胞質の好塩基性は“秋の澄みきった青空”を思い浮かべるようです。


これはアズール顆粒を有するリンパ球と同定しました。 単球のアズール顆粒は微細で特に核の周囲に充満するほど出現する場合が多いのに比べ、リンパ球では大きく散らばって出現します。
これらは顆粒リンパ球としてNK (natural killer)細胞とよばれます。正常では末梢血リンパ球の約10-15%(200-400/μl) にみられるようですが、2,000-20,000/μlになりますと白血病と診断されますので認識しておきましょう。


これは異型リンパ球と同定しました。 その根拠は1.N-C比が低い2.核網が粗鋼3.細胞質が好塩基性の所見で1.は通常のリンパ球にも認められますので、2、3がポイントでしょう。
尚、核偏在よりDowney分類では形質細胞様として同定されています。


これは異型リンパ球と同定しました。
CASE3に比べますと細胞ははるかに大きく、異常リンパ球にもみえますが、それに比べ1.N-Cが低い2.核形不整が乏しい3.顕著な核小体を認めない4.細胞質は好塩基性が強いなどです。異型リンパ球は抗原刺激による形態変化 とされ、大型(16μm以上)で、N-C比が低く、強度の好塩基性が特徴とされます。
細胞個々の同定に加えて周囲の多様性像(単一でない)が同定に有効となります。


これはリンパ球と同定しました。
CASE1に比べ細胞質の好塩基性は少し認めますが、異型リンパ球ほどではなく、通常のリンパ球によく認める淡青色と思われます。


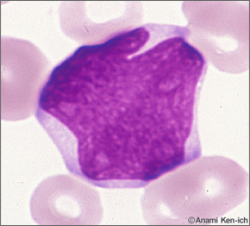
これは異常リンパ球と同定しました。 その根拠は1.N-C比が高い2.核網が繊細3.核形不整が顕著(切れ込み)4.核小体が顕著(多い)などです。これらの所見は反応所見とされる異型リンパ球には認めない所見であり、腫瘍性につながる所見につながりますのでしっかり着眼しポイントを押さえます。 これも細胞個々の同定に加えて周囲の単一像(同様な形態を示すものが増加)が同定に有効になります。


これはリンパ球と同定しました。
リンパ球が単球と異なる所見は1.細胞は小さい(通常は13μm以下)2.核網は粗鋼3.細胞質は淡青色4.アズール顆粒(ある場合は少なく太い)などです。
本細胞には顆粒は認めませんが単球とは異なる所見がうかがえます。細胞質の好塩基性は“秋の澄みきった青空”を思い浮かべるようです。


これはアズール顆粒を有するリンパ球と同定しました。 単球のアズール顆粒は微細で特に核の周囲に充満するほど出現する場合が多いのに比べ、リンパ球では大きく散らばって出現します。
これらは顆粒リンパ球としてNK (natural killer)細胞とよばれます。正常では末梢血リンパ球の約10-15%(200-400/μl) にみられるようですが、2,000-20,000/μlになりますと白血病と診断されますので認識しておきましょう。


これは異型リンパ球と同定しました。 その根拠は1.N-C比が低い2.核網が粗鋼3.細胞質が好塩基性の所見で1.は通常のリンパ球にも認められますので、2、3がポイントでしょう。
尚、核偏在よりDowney分類では形質細胞様として同定されています。


これは異型リンパ球と同定しました。
CASE3に比べますと細胞ははるかに大きく、異常リンパ球にもみえますが、それに比べ1.N-Cが低い2.核形不整が乏しい3.顕著な核小体を認めない4.細胞質は好塩基性が強いなどです。異型リンパ球は抗原刺激による形態変化 とされ、大型(16μm以上)で、N-C比が低く、強度の好塩基性が特徴とされます。
細胞個々の同定に加えて周囲の多様性像(単一でない)が同定に有効となります。


これはリンパ球と同定しました。
CASE1に比べ細胞質の好塩基性は少し認めますが、異型リンパ球ほどではなく、通常のリンパ球によく認める淡青色と思われます。


これは異常リンパ球と同定しました。 その根拠は1.N-C比が高い2.核網が繊細3.核形不整が顕著(切れ込み)4.核小体が顕著(多い)などです。これらの所見は反応所見とされる異型リンパ球には認めない所見であり、腫瘍性につながる所見につながりますのでしっかり着眼しポイントを押さえます。 これも細胞個々の同定に加えて周囲の単一像(同様な形態を示すものが増加)が同定に有効になります。
これから先のページでは、医療関係者の方々を対象に医療機器・体外診断薬等の製品に関する情報を提供しております。当社製品を適正に使用していただくことを目的としており、一部の情報では専門的な用語を使用しております。
一般の方への情報提供を目的としたものではありませんので、ご了承ください。
医療関係者の方は、次のページへお進みください。
(お手数ですが、「進む」ボタンのクリックをお願いします)