前 略
9月12日の仲秋の名月は、6年ぶりに満月と重なり、一段と鮮やかさをかもしだしているかのようでした。毎年12ないし13回の満月があるそうですが、今年は格別なように思えました。しかし、大震災や集中豪雨と度重なる自然災害のことを考えますと複雑な気持ちです。
我が家では今年もメダカの産卵、孵化に成功し、例年になく沢山(50匹以上)のメダカが誕生しました。メダカは毎年7月から9月が産卵期とされ、この時期に水槽の中の卵を探す集中力に我ながら関心しています。(笑)孵化した順に3個の金魚鉢(仮住まい)に分けていますが、生まれた時は1~2mmでしたが今では1cm位に成長したものもあり、一段とにぎやかなメダカの学校の開校です。
餌は飼育用の粒子を食べやすいように潰して1日1回与えています。餌をつつく姿にはとても癒されます。 今の時期、家を長く空けたときなどは水温に気づかい、帰宅するやいなや氷で調整したりします。ちなみに親メダカの寿命は2~3年らしく、水槽を泳ぐ3cmほどの親メダカたちは現在9匹になってしまいました。
今回もリンパ球ですが、そろそろまとめに入りたいと思います。
形態学スキスキグループのみなさまのご参加をお待ちしております!
草々
形態マガジン号キャプテン 阿南 建一 
今回から顆粒球系を中心に同定へ挑戦してみたいと思います。顆粒球系は好中性、好酸性、好塩基性が範疇になりますが、奇麗な塗抹はもちろんですが、顆粒の出現は診断を左右することがありますので華麗な染色はここでも不可欠です。
同定にはまずは顆粒球系の分化・成熟過程を知ることであり、それには「血球の成熟に伴う一般的原則」(Diggs.1956)を基本にして同定することが戦法かもしれません。Diggsの説を参考にして整理してみました。
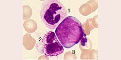
CASE 1-4における 1~7の細胞同定を行ってください。
BM-MG×1000

BM-MG×1000

BM-MG×1000

BM-MG×1000

(PB-MG1000) 
(PB-MG1000) 
(PB-MG1000) 
(PB-MG1000 ) 
これから先のページでは、医療関係者の方々を対象に医療機器・体外診断薬等の製品に関する情報を提供しております。当社製品を適正に使用していただくことを目的としており、一部の情報では専門的な用語を使用しております。
一般の方への情報提供を目的としたものではありませんので、ご了承ください。
医療関係者の方は、次のページへお進みください。
(お手数ですが、「進む」ボタンのクリックをお願いします)