私の住む糸島市は、福岡県の西部糸島半島に位置する人口約10万人の都市で、“福岡の湘南”と呼ばれることがあります。糸島市については、以前にも紹介しましたが、今回は、JA糸島が運営する「伊都菜彩(いとさいさい)」を紹介したいと思います。
糸島は、対馬暖流による温暖な気候によって、糸島大地にはさまざなな自然の恵みがもたらされています。「伊都菜彩」は、“糸島産であること“を掲げ、テニスコート5面分の広大な店舗に約1,500の登録農家によって季節に彩られたさまざまな海の幸、山の幸や畜産・酪農製品が並べられています。
糸島は、福岡市に隣接している地の利もあって、地元の人だけでなく、道の駅として観光客も立ち寄る人気スポットで、平日でも活気にあふれており、休日ともなれば午前中に大半のものが売り切れでしまうそうです。また、その売り上げ高は、JRの直売所として“日本一”を誇っています。
糸島は、これから秋本番を迎えようとしていますが、ゴルフトーナメントや音楽フエステイバルが開催され、10月になると30店舗の牡蠣小屋が一斉にオープンし、芳醇で濃厚な糸島牡蠣が振る舞われます。
みなさまも伊都糸島、「伊都菜彩」に一度足を運んで見てください。

糸島大地の自然の恵みが並べられた「伊都菜彩」
形態マガジン号キャプテン 阿南 建一 
今回は、細胞同定と症例検討を提示しました。
細胞編は、骨髄の顆粒球系細胞と類似細胞の鑑別に挑戦します。
症例編は、僅かな検査所見に診断のポイントが含まれていますので、それを理解し、形態診断を試みて下さい。
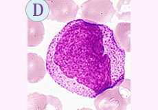
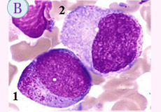
骨髄の細胞同定を行なって下さい。(通常より細胞の大きさは拡大しています)
BM-MG×1000

BM-MG×1000

BM-MG×1000

BM-MG×1000

BM-MG×1000

BM-MG×1000

僅かな所見と骨髄像から考えられる病型は何でしょうか。
【所見】
A.【成人例】①汎血球減少、②PO染色強陽性、③HLA-DR(-)、④三年前に固形がん
B.【小児例】①汎血球減少、②PO染色陰性、③CD7/CD13/CD33(+)、④Down症
C.【高齢】①汎血球減少、②PO染色陰性、③CD19/20/22(+)、④手足の指:蒼白・暗紫色
BM-MG×1000

【所見】
A.【成人例】①汎血球減少、②PO染色強陽性、③HLA-DR(-)、④三年前に固形がん
B.【小児例】①汎血球減少、②PO染色陰性、③CD7/CD13/CD33(+)、④Down症
C.【高齢】①汎血球減少、②PO染色陰性、③CD19/20/22(+)、④手足の指:蒼白・暗紫色
BM-MG×1000

【所見】
A.【成人例】①汎血球減少、②PO染色強陽性、③HLA-DR(-)、④三年前に固形がん
B.【小児例】①汎血球減少、②PO染色陰性、③CD7/CD13/CD33(+)、④Down症
C.【高齢】①汎血球減少、②PO染色陰性、③CD19/20/22(+)、④手足の指:蒼白・暗紫色
BM-MG×1000

問題 1
骨髄の細胞同定を行なって下さい。
(通常より細胞の大きさは拡大しています)
【解説】
(BM-MG×1000)




問題 2
【解説】
(BM-MG×1000)



これから先のページでは、医療関係者の方々を対象に医療機器・体外診断薬等の製品に関する情報を提供しております。当社製品を適正に使用していただくことを目的としており、一部の情報では専門的な用語を使用しております。
一般の方への情報提供を目的としたものではありませんので、ご了承ください。
医療関係者の方は、次のページへお進みください。
(お手数ですが、「進む」ボタンのクリックをお願いします)