今回は、前回に続き菅原道真公の生涯について諸説から紹介します。
菅原道真公は、福岡の地でなぜ学問の神様として祀られているのでしょうか。また、“太宰府”とは、九州の筑前国筑紫郡(現在の福岡県太宰府市)におかれた政府機関(役所)で、外交や防衛などの機能を持ち、九州および壱岐・対馬を統括していました。
さて、道真公は、承和12年(845年)6月25日京都に生まれました。菅原家は、代々続く学問の家系で、道真公は幼少の頃より学問の才能を発揮し、5歳で和歌を詠まれるなど神童と称され、18歳で現在の大学に相当する文章生(もんじょうしょう)に合格し、33歳で大学教授の文章博士に就任しました。その後、菅原家が設立した私塾を引き継ぎ、門下生は100名を超えていたそうです。
時の天皇 宇多天皇は、このような道真公の聡明さに魅かれ、朝廷の要職に登用しました。その後、右大臣にまでのぼりつめましたが、当時の朝廷の貴族たちは学者出身の道真公の出世に嫉妬するものが多くおりました。宇多天皇が退任し、息子の醍醐天皇が即位しましたが、その際に政敵たちが企てた陰謀によって道真公は地方の行政機関である太宰府の下級役人に任命され、左遷となりました。太宰府に赴任した道真公は、衣食もままならぬ生活を強いられ、わずか二年で病に倒れ、延喜3年(903年)2月25日、59歳の生涯を終えることになりました。
道真公の死後、臣下の味酒安行(うまさけ やすゆき)が道真公を祀り、延喜5年(905)に社が建立されました。延喜19年(919年)には社殿が造営され、道真公は「天満大自在天神(てんまだいじざいてんじん)」、「天神さま」として崇められるようになりました。これが太宰府天満宮の始まりとされています。太宰府天満宮は「学問の神様」、「至誠の神様」の道真公を祀った全国約12,000社ある天神さまをお祀りする神社の総本宮と称えられ、今日でも多くの参拝者が訪れ、人々の信仰を集めています。
形態マガジン号キャプテン 阿南 建一 
今回は、細胞同定と症例検討を提示しました。
細胞編は、骨髄像から類似細胞の鑑別に挑戦します。
症例編は、僅かな検査所見ですが、光顕的診断に至るまでの必要な検査や形態所見について考えて下さい。
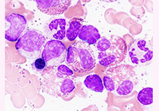
骨髄像の細胞同定を行なって下さい。
BM-MG×1000

BM-MG×1000

BM-MG×1000

BM-MG×1000

この症例の形態所見から考えられる疾患は何でしょうか。
【所見】
【50歳代.女性】主訴:発熱・全身倦怠感、リンパ節腫脹(-)、肝脾腫(-)
WBC53,800/μL,RBC450万/μL,Hb13.4g/dL,Ht39.1%,PLT15.6万/μL,NCC42.2万/μL
PB-MG×400

BM-MG×400

BM-MG×1000

BM-MG×1000

問題 1
骨髄像の細胞同定を行なって下さい。
【解説】
(BM-MG×1000)



問題 2
この症例の形態所見から考えられる疾患は何でしょうか。
【解説】
(PB-MG×400)

(BM-MG×400)
(BM-MG×1000)
(BM-MG×1000)
これから先のページでは、医療関係者の方々を対象に医療機器・体外診断薬等の製品に関する情報を提供しております。当社製品を適正に使用していただくことを目的としており、一部の情報では専門的な用語を使用しております。
一般の方への情報提供を目的としたものではありませんので、ご了承ください。
医療関係者の方は、次のページへお進みください。
(お手数ですが、「進む」ボタンのクリックをお願いします)