福岡の5月の風物詩「博多どんたく港まつり」(通称.博多どんたく)が、大型連休の5月3-4日開催され、三年振りに福岡に戻ってきました。今年の博多どんたくでは、ウィズコロナを目指したお祭りとして開催時間の短縮や出場団体の制限、沿道の観覧自粛など感染拡大防止の対策に努め実施されました。
また、新たに中継地点を設けてどんたくパレードなどの催しがYouTubeでLIVE配信され、“モバイルどんたく(モバどん)”として誰もが自宅で楽しめる工夫がなされていました。
“博多どんたく”のはじまりには諸説があるようですが、1179年(治承3年)の「松ばやし」が起源とされ、1962年(昭和37年)に福岡市民の祭り「博多どんたく港まつり」と改称後、今年で61回を迎えました。“どんたく”とは、オランダ語で休日を表すZondag(ゾンダーク)が語源で、私たちが日頃使っている半ドンとは半分ドンタクが由来になっています。
さて、「博多どんたく」は前日の前夜祭から始まり、5月3日朝、福神・恵美須・大黒の三福神と稚児の装束をまとった博多松ばやし一行が櫛田神社から市中を祝い巡ります。また、各種団体、企業、学校、一般応募のグループなどで構成されたどんたく隊が思い思いの衣装をまとい、市内17か所に設けられた演舞台でさまざまな踊りを披露します。午後からは中洲川端や天神などの商業地区などでどんたく隊によるパレードが催され、どんたくパレードでは電飾で装飾された花自動車が登場しますが、世相を反映したテーマとして今年は鬼退治ならぬコロナ退治を願い、“ももたろう”になったそうです。4日午後7時、“総おどり”でお祭りはフィナーレを迎えますが、「博多どんたく」テーマ曲の“ぼんち可愛や”が流れると会場では手拍子を合わせて踊り手が輪を作り、各々が3年ぶりのまつりを惜しむように踊っていました。
今回の「博多どんたく」は、コロナ渦の中での開催となり、パレード参加者や沿道の観覧者はマスク越しに笑顔を覗かせ、久しぶりに街全体がお祭りムードに包まれました。私は自宅でLive配信を楽しんでいましたが、久しぶりに元気をもらいました。7月には日本最大級のお祭り「博多祇園山笠」が予定されており、コロナとの共存の時代の更なる一歩を期待したいと思います。

市内に設けられた17か所(例年34)の演舞台にも
マスク越しに拍手が送られ、両日で約80万(例年200万人)の人出がありました(LIVE配信動画.2022.5.3)。

パレードで登場した花自動車、今年は鬼退治ならぬ“コロナ対策”を願って「桃太郎」が福岡の街を彩りました(LIVE配信動画)。
形態マガジン号キャプテン 阿南 建一

今回の細胞編は、骨髄像において鑑別を要する細胞を出題しました。周囲の細胞と比較しながら同定してみてください。
症例編は、今回も乳児例ですが、男児に発生しやすい腫瘤形成の白血病を提示しました。腫瘤部位の生検標本と骨髄骨髄標本のMG染色、PO染色、EST二重染色を参考に形態診断を行ってください
問題1
BM-MG.1000

BM-MG.1000

BM-MG.1000

BM-MG.1000

問題2
【乳児】発熱、歯肉出血を主訴に来された。
睾丸腫瘤生検の捺印(スタンプ)標本と骨髄穿刺標本を提示します。
生検捺印標本はMG染色とα-ナフチル・アセテート(α-NA)エステラーゼ(EST)染色、
骨髄穿刺標本はペルオキシダーゼ(PO)染色とα-ナフチル・ブチレート(α-NB)EST/ナフトールAS・Dクロロアセテート(N-AS・D-CLA)ESTの二重染色を提示しています。
睾丸生検捺印.MG/αNA.400

睾丸生検捺印.MG.1000

骨髄穿刺.MG.1000

骨髄穿刺.PO/EST二重.1000

問題 1
今回も末梢血および骨髄における類似細胞を提示しましたのでご検討ください。
【正答】
A-1.多染性赤芽球、2.多染性赤芽球、3.単球(組織球)、4.分葉核球
B-1.好塩基性赤芽球、2.多染性赤芽球、3.骨髄球、4.多染性赤芽球
C-1. 多染性赤芽球、2.桿状核球、3.幼若好酸球の分裂像
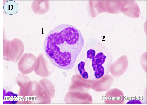
D-1.単球、2.分葉核球
【解説】

A-1.細胞径9μm大、核は円形でクロマチン網工は粗剛で凝集塊状、細胞質は青紫~紫色の多染性の色調から多染性赤芽球と思われます。
A-2.細胞径11μm大、1.と同様の多染性赤芽球と思われます。
A-3.細胞径30μm大、大型で核形不整とクロマチン網工が繊細なことから単球になりますが、有尾状の細胞質は豊富であることから組織球類似かも知れません。
A-4.細胞径14μm大、核は分葉傾向でクロマチン網工は粗大粗剛の結節状から分葉核球と思われます。

B-1.細胞径15μm大、核は円形でやや偏在傾向、クロマチン網工は粗顆粒状で核小体は不明瞭、細胞質は好塩基性が強度で一部に明色領域がみられ好塩基性赤芽球と思われます。
B-2.細胞径9μm大、核は円形で中心性、クロマチン網工は粗剛で凝集塊状、細胞質は多染性の色調から多染性赤芽球と思われます。
B-3.細胞径14μm大、核は円形で偏在傾向、クロマチン網工は粗大粗剛で一部に凝集塊がみられ、細胞質は橙黄色であることから骨髄球と思われます。
B-4.細胞径11μm大、2.と同様で多染性赤芽球と思われます。

C-1.細胞径11μm大、核は円形で偏在性、クロマチン網工は粗剛で凝集塊状、細胞質は多染性の色調から多染性赤芽球と思われます。
C-2.細胞径13μm大、後骨髄球を思わせますが、桿状の核は中央で折れ曲がり、クロマチン網工は粗大粗剛、細胞質は橙紅色で顆粒を二次顆粒と考えると桿状核球と思われます。

D-1.細胞径18μm大、核は馬蹄形のうねり状でクロマチン網工は繊細、細胞質は灰青色のことから単球と思われます。
D-2.細胞径12μm大、核は分葉しクロマチン網工は粗大粗剛で結節状のことから分葉核球と思われます。
問題 2
この症例の形態所見から考えられる疾患は何でしょうか。また、鑑別する疾患とそのポイントも考えてください。
【乳児】睾丸腫瘤生検の捺印(スタンプ)標本と骨髄穿刺標本を提示します。
生検捺印標本はMG染色とα-ナフチル・アセテート(α-NA)エステラーゼ(EST)染色、
骨髄穿刺標本はペルオキシダーゼ(PO)染色とα-ナフチル・ブチレート(α-NB)EST/ナフトールAS・Dクロロアセテート(N-AS・D-CLA)ESTの二重染色を提示しています。
乳児の患者さんで、発熱はなく精巣(睾丸)の腫れに母親が気づいて来院しました。
精巣部分の腫れについては左睾丸腫瘍と診断され、左睾丸腫瘍摘出と骨髄穿刺が行われました。
血算では貧血(Hb8.9g/dL)以外に異常はなく、骨髄のNCCは18.2万/μLでした。
【解説】




A.[左睾丸生検捺印-MG/EST.400] 生検捺印のMG染色(左)では、大型でN/C比が低い腫瘍細胞の単一増殖がみられ、アセテートEST染色(右)に陽性、またPO染色に陰性であったことから単球系を疑いました。
B.[左睾丸生検捺印-MG.1000] 腫瘍細胞は、円形~類円形で核小体を有しクロマチン網工はやや粗造、細胞質は豊富で好塩基性の形態から低分化型の腫瘍細胞を考えました。
C.[骨髄-MG.1000] 骨髄は正形成で芽球が85%みられ、それらは大型でN/C比が低く、類円形核のクロマチン網工は繊細で核小体が明瞭、好塩基性の細胞質には顆粒は認めないようでした。
D.[骨髄-PO/EST二重.1000] 芽球はPO染色に陰性、ブチレートEST染色に陽性でNaFに阻害され、生検の腫瘍細胞と同じ形態と思われました。
【臨床診断】
左睾丸生検および骨髄で増加する腫瘍細胞は、形態所見、PO染色の陰性、EST染色の陽性から同様な形態として低分化型の単球系腫瘍を考え、左睾丸腫瘍が原発の骨髄浸潤と思われ、骨髄標本では単芽球が優位であったことから急性単芽球性白血病(FAB.M5a)を疑いました。骨髄の免疫表現型は、CD4・CD11b・CD11c・CD14・HLA-DRなどの発現がみられ単球系を支持するものであり、左睾丸腫瘍原発の低分化型単球性白血病と診断されました。VM-26の単剤療法が施行され、寛解導入中に発熱症状がみられましたが抗菌剤によって解熱し、5週後には完全寛解を迎えました。通常、生検捺印標本は細胞診検査などが行われますが、数枚は血液学的診断用に用いることを推奨します。男児の精巣腫瘍は希少とされますが、経験から再発時の診断には不可欠な部位になります。鑑別疾患には、同系のM5bとPO染色陰性のAML・ALLがあげられますが、前者は単球成分の前単球、単球が優先し、後者は形態像と免疫表現型などが鑑別所見になります。
これから先のページでは、医療関係者の方々を対象に医療機器・体外診断薬等の製品に関する情報を提供しております。当社製品を適正に使用していただくことを目的としており、一部の情報では専門的な用語を使用しております。
一般の方への情報提供を目的としたものではありませんので、ご了承ください。
医療関係者の方は、次のページへお進みください。
(お手数ですが、「進む」ボタンのクリックをお願いします)