最近、SDGs(Sustainable Development Goals)という言葉をよく耳にます。SDGsとは、2015年9月の国連サミットで採択された持続可能な開発目標を示し、世界の貧困、不平等・格差、気候変動、環境対策などさまざまな問題を根本的に解決して、よりよい世界を目指すための国際目標です。SDGsは、17のゴールと169のターゲットから構成され、地球上の「誰一人取り残さない(leave no one behind)」ことを誓っています。また、SDGsは、発展途上国のみならず、先進国自身が取り組む普遍的な目標とされ、我が国もすべての分野で積極的に参画しています。
先日、九州大学と福岡リサイクル総合研究事業化センター(リ総研)の共同研究により、「シュレッダーくず」を “培養土”としてリサイクルする技術が開発され、見事に製品化にこぎつけたことがメデイアで報じられました。現在、ゴミの減量化に伴う古紙のリサイクル率は高まっていますが、シュレッダーで処分される「シュレッダーくず」は、線維が短く切れて再生紙にすることが難しいそうです。また、日本のごみのリサイクル率は、この数年低下しており、2018年度は19.9%でヨーロッパなどのリサイクル推進国の50%以上と比較しても決して高い水準ではありません。この中で、今回開発された技術は、土壌に広く分布する微生物「トリコデルマ911菌」が、紙を分解しながら増殖し作物の成長を助ける効果があることを解明しました。福岡県の培養土メーカーの協力の下、“実のなる野菜の土”として製品化され、ホームセンターなどで販売されています。この“実のなる野菜の土”は、通常の培養土よりも1.4倍の効力があるとされ、まさに3R(Reduce:ゴミの削減、Reuse;再使用、Recycle:資源化)を実現した「り総の土」が誕生しました。
さて、現在、SDGsにおける目標に対して世界ではさまざまな取り組みが行われていますが、それよりも前から日本人が行っている取り組みをご存知でしょうか。日本人は、日常生活の中で“もったいない”と無駄をなくすことを自然に行っており、この言葉に感銘を受けたケニア人女性のワンガリ・マータイさんが“MOTTAINAI”として世界に紹介し、現在もさまざまな地域で“MOTTAINAI”キャンペーンが行われているそうです。私も少し忘れてかけていた“もったいない”をもう一度始めたいと思います。
今か今かと出番を待つ「シュレッダー屑」たち

培養土に様変わりした“理想研(りそうけん)の土” の誕生です
形態マガジン号キャプテン 阿南 建一

今回の細胞編は、骨髄において鑑別を要する細胞を出題しました。
細胞の基本的な読み方に基づき判定してみてください。
症例編は、数量的変化と質的所見の双方が重要視される病型で、鑑別を要する疾患を念頭に置きながら、PO染色を有効利用して形態診断に挑んでください。
問題1
BM-MG.1000

BM-MG.1000

BM-MG.1000

BM-MG.1000

問題2
【小児例】 発熱、歯肉出血を主訴として来院し、白血球増加を指摘され骨髄検査が施行された。
WBC 42,000/μL、RBC 315万/μL、Hb 9.3g/dL、Ht 27.4%、MCV 87.0fL、PLT5.3万/μL、BM-NCC29.0万/μL
PB-MG.1000

BM-MG.600

BM-MG.1000

BM-PO.1000

問題 1
骨髄の紛らわしい細胞の鑑別に挑みます。
【正答】
A-1.二核の前赤芽球 A-2.前骨髄球、A-3.骨髄球
B-1.正染性赤芽球 B-2.低分葉核好中球 B-3.低分葉核好中球 B-4.多染性赤芽球
C-1.形質細胞、C-2.前単球
D-1.多染性赤芽球(大型) D-2.リンパ球 D-3.赤芽球(核の断片)
【解説】

A-1.細胞径35μm大、二核の大型でクロマチンは繊細顆粒状、細胞質は好塩基性で突起(矢印)を認めることから分裂障害がみられた前赤芽球と思われます。細胞質の顕著な空胞については、薬剤による骨髄抑制かMDSによる異形成像なのかは追跡すべきです。
A-2.細胞系20μm大、核偏在でクロマチンは粗剛気味、細胞質に僅かながら顆粒を認める前骨髄球と思われます。
A-3.細胞径14μm大、類円形核は偏在気味でクロマチンはやや粗剛、細胞質は低(脱)顆粒状態の骨髄球と思われます。

B-1.細胞径8μm大、核は円形で中心性、クロマチンは濃染状(pyknotic)のことから正染性赤芽球と思われます。
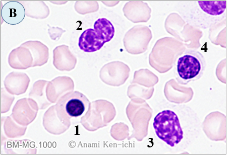
B-2.3.細胞径12μm大、双方ともにクロマチンは強度な結節状で濃淡性であることから低分葉核好中球(偽ペルゲル核異常)として捉え、細胞質には低(脱)顆粒を認めます。4.細胞径9μm大、核はほぼ円形で中心性、クロマチンは凝集塊がみられ、細胞質は僅かに青紫色寄りの多染性赤芽球と思われます。

C-1.細胞径15μm大、類円形核は偏在気味でクロマチンは粗荒、細胞質は好塩基性で核周囲に明色域がみられることから形質細胞と思われます。
C-2.細胞径16μm大、類円形核は一部不整でクロマチンは繊細、細胞質は軽度の好塩基性で微細顆粒を認めることから前単球と思われます。

D-1.細胞径14μm大、円形核は偏在気味でクロマチンは凝集塊状、細胞質は青紫色の色調から多染性赤芽球と思われますが通常より大きいようです。
D-2.細胞径11μm大、N/C比が高く円形核のクロマチン網工は粗荒、細胞質は好塩基性のことから小型リンパ球と思われます。
D-3.細胞径12μm大、核の一部は崩壊しクロマチンの凝集は強度、細胞質は不明瞭なことから核に断片化を来した成熟赤芽球と思われます。
問題 2
この症例の形態所見から考えられる疾患は何でしょうか。また、鑑別する疾患とそのポイントも考えてください。
【小児例】 発熱、歯肉出血を主訴として来院、白血球増加を指摘され骨髄検査が施行された。
WBC 42,000/μL、RBC 315万/μL、Hb 9.3g/dL、Ht 27.4%、MCV 87.0fL、PLT 5.3万/μL、
BM-NCC 29.0万/μL
小児例で、歯肉腫脹を主訴に貧血と血小板数減少、白血球数増加(42,000/μL)がみられました。
【解説】




A.[PB-MG.1000] 白血球数増加の百分率は芽球が40%、単球を35%(14,700/μL)と増加していました。
B.[BM-MG.600] 骨髄は過形成気味で顆粒球系や単球系が優位でした。
C.[骨髄-MG.1000] 芽球は全有核細胞の34%認め、単球系は42%認めました。
D.[骨髄-PO.1000] 芽球の一部および顆粒球系はPO染色が陽性で、単球系は陰性から弱陽性でした。また単球系はブチレートEST染色に陽性でした。
【臨床診断】
末梢血および骨髄の芽球は20%以上を呈していたことから急性白血病を疑いました。さらに、単球系の増加は末梢血で5,000/μL以上、骨髄で20%以上を呈し、FAB分類の急性骨髄単球性白血病(M4)の条件を満たしていました。
免疫表現型では顆粒球系および単球系のマーカーの発現を認め、単球系については末梢血および骨髄共に増加傾向でブチレートEST染色の陽性と追加検査で血清・尿中リゾチーム上昇を認めたことから、急性骨髄単球性白血病(AMML:M4)と診断されました。
鑑別としては、慢性骨髄単球性白血病(CMML)や分化型の急性単球性白血病(M5b)になりますが、末梢血の単球数、骨髄の芽球の割合や形態的特徴がポイントになりそうです。
またM4やM5では初診時に歯肉腫脹や皮膚浸潤をしばしば認めますが、髄外腫瘤形成を伴うAMLとして低頻度ながら顆粒球肉腫がありますので認識しておきましょう。
これから先のページでは、医療関係者の方々を対象に医療機器・体外診断薬等の製品に関する情報を提供しております。当社製品を適正に使用していただくことを目的としており、一部の情報では専門的な用語を使用しております。
一般の方への情報提供を目的としたものではありませんので、ご了承ください。
医療関係者の方は、次のページへお進みください。
(お手数ですが、「進む」ボタンのクリックをお願いします)