世界五大医学誌の「 Lancet Haematology」(以下Lancet誌)をご存知の方も多いかと思われますが、この度、日本における「小児およびAYA世代T細胞性急性リンパ性白血病(T-ALL)を対象とする小児型治療を評価したALL-T11の研究」がLancet誌(2023.6)に掲載されました。
本研究は、日本小児白血病リンパ腫研究グループ(JPLSG)と日本成人白血病治療研究グループ(JALSG)の共同研究であり、JPLSGに所属する佐藤篤先生(宮城県立こども病院血液腫瘍科)がT-ALL 349例の研究成果をまとめられた論文です。小児とは0~17歳、AYAとはAdolescent and Young Adultを略したもので18~24歳が含まれます。本研究は、ネララビン、L-アスパラギナーゼを中心とした強化治療を評価したものですが、T-ALLに対する治療成績の向上(71.0%から85.6%)のみならず、放射線照射や造血幹細胞移植の縮小が可能となり、成長期にあるこどもの長期にわたる副作用も軽減されました。
本研究に際し、JPLSGに所属する筆者(阿南)は形態中央診断部を仰せつかり、福岡大学医学部腫瘍血液感染症内科学において8年間形態診断を担当いたしました。期間は2010~2018年、参加施設は全国145施設、登録例はALL:1,858例(内訳. B-ALL:1,509例、T-ALL3:49例)、初診(治療前)および化学治療後の形態学的寛解の是非を判定する任務でした。登録例は年に約240例、月にして約20例に及び、標本が到着するたびにプレッシャーのかかる日々でしたが、何とか任務を果たすことができ共同研究者の一員として微力ながら貢献できましたことは名誉あることでした。
Lancet誌は、世界中で180万以上の登録ユーザーを集めるトップジャーナルの医学誌とされています。本誌は、1996年イギリスの外科医 トーマス・ウエイクリー博士によって創刊され、誌名の由来は手術用メスの“ランセット” だそうです。検査技師の皆さまにおかれましては、是非臨床研究グループに参画し専門知識を大いに提供してもらいたいものです。
![]() |
| 本研究は佐藤 篤先生(宮城県立こども病院血液腫瘍科)がまとめられたもので、トップジャーナルとして名高いLancet誌に掲載されました。共同研究グループに属する筆者(阿南)は一員として記載されました。 |

2023年6月号の問題. 下記のご質問をいただきましたがどのようにお答えしますか。
| 【疑問】 | 腫瘍性芽球とペルオキシダーゼ(PO)染色の関係や一つの芽球につきどのくらい染まっていれば陽性として判定するのでしょうか。 またMDSの際に出現するPO陰性好中球は何個中何個あれば異常とするのでしょうか。現在、市販のDAB染色キットを使用していますが注意することは何かありますか。 |
|
2023年6月号の解説.
| 【助言1】 | ペルオキシダーゼ(PO)は、好中球系(前骨髄球から存在する一次顆粒)や好酸球(二次顆粒)に豊富に含まれるといわれます( de Salvo Cardullo,Et al.1981)。正常の骨髄芽球は一般に顆粒を認めずPO染色に陰性とされます。腫瘍性芽球とPOの関係については、幹細胞に近い最未分化型は陰性とされ、それより少し分化した未分化型になると陽性がみえ始め、腫瘍性の前骨髄球になると強陽性を呈するようになります。 POはリソソームに存在するといわれ、一定量レベルに達するとPO活性が高まり陽性を呈することが推測されます。まず、PO染色に陽性の芽球は高倍率鏡検で細胞質内の陽性の有無を確認し、少しでも染まっていれば陽性と判定します。急性骨髄性白血病(AML)の診断の1つにPO陽性芽球が3%以上の基準(低率陽性)が設定されていますので、特に弱陽性には注意を払います。そのために感度が良いとされるベンチジン誘導体を用いたPO染色法を推奨します。 |
| 【助言2】 | PO染色については、市販のジアミノベンチジン(DAB)染色キットを使用しているようですが、前述のようにベンチジン誘導体を用いた方法ですので問題はないと思われます。 AMLの芽球におけるDAB染色の陽性所見は通常顆粒状の陽性(図1-A)を呈しますが、びまん性の陽性(図1-B)を呈したことで陽性所見が見逃されたことを経験しておりますので特に注意を払う必要があります。 |
| 【助言3】 | POと好中球の関係については、好中球には二次顆粒が約2/3、一次顆粒が約1/3含まれると言われますので、好中球のPO陽性は上述のように一次顆粒が染まったものと理解します。 PO陰性の好中球は形態異常でもありますので数個でもあれば報告に値します。報告の控えとして“好中球〇個中〇個陰性” を記録に残してもよいかと思われます。 顆粒の存在とPO陽性は一致しないといわれますので認識しておきます。顆粒球のPO陽性所見は、好酸球は内因性PO活性が強いことから強陽性を呈し、好中球は中等度陽性、好塩基球は染色の過程で陽性顆粒が溶出しやすく陰性になることが多いようです(図2)。 |
図1. DAB染色の見逃し禁止所見

A.僅かに染まった顆粒状陽性の芽球
B.びまん性陽性の芽球
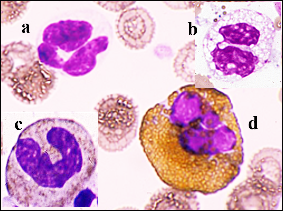
図2. 顆粒球のPO染色所見

a.陰性の好中球: b.陰性の好塩基球
c.陽性の好中球: d.強陽性の好酸球

2023年7月号の問題. 下記のご質問をいただきましたがどのようにお答えしますか。
| 【疑問】 | 末梢血液(EDTA添加)を室温に保存した場合、経時的に血球の形態変化が起こるといわれますが、それは何時間位から起こりますか。 それには、どのような形態変化がみられ、細胞判定に与える影響は何がありますか。 |
|

形態マガジン号キャプテン 阿南 建一

今回も末梢血液像に挑戦してみたいと思います。
末梢血液像は形態診断の第一歩でもありますので、決して見逃しのないように心がけて取り組みます。
「ワンポイントアドバイス」は、PO染色を取り上げ、芽球および好中球の判定について解説しております。
問題1









問題 1
末梢血液像の細胞同定を行ってください (E.とI.は全体像から判定してください)。
末梢血液像です。細胞の大きさは回りの赤血球の大きさ(7~8µm)を参考にしてください。
【正答】
A.リンパ球 B.単球 C.好中球(ペルゲル様核異常) D.リンパ球 E.アーチファクト F-1.単球 / 2.分葉核好中球 G.好酸球(ペルゲル核異常) H.デーレ小体 I.マラリア原虫
【解説】

A. 直径16μm大、類円形核のクロマチンは粗剛で凝集塊を認め、細胞質は豊富で淡青色のことから大リンパ球を思わせます。類似する異型リンパ球は、クロマチンの凝集塊が軽度で細胞質の好塩基性が強度です。

B. 直径20µm大、核は偏在し核形不整が軽度でクロマチンは繊細、豊富な細胞質は軽度の好塩基性と空胞や微細顆粒を認めることから単球と思われます。

C. 直径15μm大、核は桿状でクロマチン結節が強度、細胞質の橙褐色の顆粒は二次顆粒とみなし好中球と思われます。ただ、クロマチンの凝集塊が強度のことから低分葉のペルゲル様核異常の好中球としました。

D. 直径9μm大、小型の類円形核は偏在しクロマチンは粗剛で凝集塊状、細胞質は好塩基性のことから小リンパ球と思われます。クロマチンの凝集塊は中、大リンパ球になるにつれ消失しますが粗剛は残ります。

E. 直径7µm大の赤血球(矢印)が問題の細胞です。1時方向と類似の血小板が赤血球内に乗っかってみえます。その周囲は白く抜けてみえるのが特徴でマラリア原虫(I)との鑑別を要します。

F-1. 直径18μm大、核は湾曲しクロマチンは繊細、細胞質は灰青色で微細顆粒を認めることから単球と思われます。
F-2. 直径15μm大、核は分葉しクロマチンは結節状で核糸を認めることから分葉核球にしました。

G. 直径18μm大、核は円形でクロマチンは粗剛気味、細胞質の顆粒は大きく橙紅色です。幼若好酸球に類似しますが、細胞質の広さに比し核は小さく成熟たものと認識し、低分葉であることからペルゲル様核異常の好酸球としました。

H. 直径15μm大、核の形状や細胞質の状態から分葉核球ですが、細胞質の1時方向に2μm大の斑点状の青色封入体(矢印)がみられデーレ小体を考えます。細胞質の周辺部に位置し、粗面小胞体やリボソームの集合が好塩基性に染着されたものとされます。

I. 直径12µm大の赤血球(矢印)が問題の細胞です。赤血球の中央部に環状体としてみられる淡いピンク色の斑点はマラリア原虫の感染したものです。赤血球内に付着した血小板と鑑別を要します(E)。
これから先のページでは、医療関係者の方々を対象に医療機器・体外診断薬等の製品に関する情報を提供しております。当社製品を適正に使用していただくことを目的としており、一部の情報では専門的な用語を使用しております。
一般の方への情報提供を目的としたものではありませんので、ご了承ください。
医療関係者の方は、次のページへお進みください。
(お手数ですが、「進む」ボタンのクリックをお願いします)