前 略
みなさん、「十三人の刺客(しかく)」はご存じですか?知らない方も多いかと思いますが、私と同世代の方は随分となつかしい響きではないでしょうか。これは1963年に上映された工藤栄一監督、片岡千恵蔵主演の時代劇のことです。クライマックスシーンの13人の刺客対53騎の30分におよぶ殺陣シーンは時代劇映画で最長とされておりました。幼少期から時代劇の大ファンだった私にとって、映画館の大きなスクリーンで繰り広げられるアクションシーンは今思い出しても身震いをしてしまうものです。
さて先日、佐藤健主演の「るろうに剣心」を観に行きました。大河ドラマ「龍馬伝」で土佐郷士“人斬り以蔵”役を見事に演じた彼の成長した姿がみたくて劇場に足を運びました。細面でイケメンの彼は、伝説の剣客 “緋村剣心”の役を見事に演じておりました。幕末に伝説の人斬りと恐れた主人公・剣心は、明治維新後に『不殺(ころさず)の誓い』を掲げ、各地を旅しながら人々との出会いを通じて自らの生きる道を見出していきます。時代劇にはつきものの “正義と悪”、“弱者と強者”、“静と動”、“出会いと別れ”、そしてスピード感ある殺陣シーンと今も昔も変わらない大きな感動を私に与えてくれました。時代劇の少なくなった昨今ですが、チャンバラ時代劇をまた見に行きたいものです。みなさんも如何ですか。
草々
形態マガジン号キャプテン 阿南 建一 
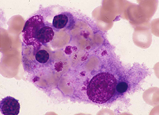
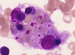
今回は骨髄の非造血細胞に挑戦します。
三系統の細胞と比べると、直接的な造血の働きはありませんが影ながら支えていることは周知のことです。何よりも骨髄の構造を支えていることに相違なく、家に例えれば大きな柱に相当するものとなります。形態学的に造血細胞は明瞭な細胞質に核が収まっている状態ですが、非造血細胞は大部分が大型で細胞質が不明瞭(不鮮明)であることが大きな特徴です。
非造血細胞に含まれる細胞を以下に示します。
1)リンパ球、2)形質細胞、3)単球、4)マクロファージ(大食球)、5)脂肪細胞、6)肥満細胞(組織好塩基球)、7)造骨細胞、8)破骨細胞などが主に成書に書かれていますが、私見して9)組織好酸球、10)組織球、11)細網細胞、12)血球貪食細胞を追加したいと思います。これらの多くはそんなに増加することはありませんが、重症ウイルス感染症など血球減少が起こる原因となる血球貪食像や未熟な組織球の増加は悪性組織球症を疑う所見になるので重要になります。血液細胞ばかりに目がとられがちですがこれらの細胞も観察していきましょう。
CASE 1 ~ 4の細胞像を確認頂き、4種類の細胞同定を行ってください。
BM-MG×1000

BM-MG×1000

BM-MG×1000

BM-MG×1000









これから先のページでは、医療関係者の方々を対象に医療機器・体外診断薬等の製品に関する情報を提供しております。当社製品を適正に使用していただくことを目的としており、一部の情報では専門的な用語を使用しております。
一般の方への情報提供を目的としたものではありませんので、ご了承ください。
医療関係者の方は、次のページへお進みください。
(お手数ですが、「進む」ボタンのクリックをお願いします)