まあ、二度と味わいたくない“ヒヤリ・ハット”と“インシデント”を同時に経験しましたので紹介します。
9月17日名古屋での仕事を終え、帰路のため18日中部国際空港午前9時05分発のANA435便(ボーイング737-500型機)福岡行きに搭乗しました。いつものように窓側の予約席に座り、9時16分の離陸とともに爆睡し始めた矢先のことでした。離陸数分後、水平飛行に気づき、外界をみると名古屋港の上空を旋回している様子、その直後、客室乗務員による“機内に異臭発生がしたため中部空港へ緊急着陸します”のアナウンスにびっくり、心臓はバクバクでしたが唯々平然を装っておりました。実は私、極度の高所恐怖症で、機内ではいつも爆睡するように心がけ恐怖心から少しでも逃れようとしています。しかし、それはもう何十年も続いておりますが‥(笑)。
9時27分に無事着陸しましたが、滑走路には消防車が4台、出口には警察官が10人ほど待機しており、それは物々しい雰囲気でした。テレビでたまに見るシーンそのものでしたが、乗客乗務員131名は全員無事で乗客の方も落ち着いていました。機内の異臭にきづいた客室乗務員が機長へ連絡したそうで、その後原因調査に時間がかかり午後1時15分発の便に変更になり、食事代が準備され約4時間の待機となりました。
昨夜は台風18号が名古屋を通過したこともあり、運航確認のため早朝(午前7時)より空港へ出向いており、結局、帰宅したのが午後4時30分頃でしたから、約8時間30分の長旅びとなりました(名古屋が遠~い!)。
ネットでその原因を知ったのは19日、ANAの調査では機体に異常はなく、“エンジンに付着したオイルなどの汚れが異臭となりエアコンを通じて客室内に流れ込んだ可能性がある”と発表してましたが、これって“インシデント”ではありませんか。それにもう1つ、食事をするため許可を得て外へ出たのですが、再搭乗の際チケットを再提示するように言われたので、チケットを金属探知機にかけたところアラームは鳴るわ、赤い警告用紙は出るわ一時騒然、係員がかけつけ対応はできたものの数分間は停止状態、私の予想通り連絡が届いていなかったようです(度重なる不祥事にキレそうでした!)。
ヒヤリ・ハット に加え整備点検の不備と緊急時の連絡ミスによるインシデントにショックは隠し切れませんでした。
ヒヤリハットはまだまだ続きます、最近は“空からの落下物”、地上ではヘルメットの着用が義務づけられそうです。我々は患者さんの“命を守り” 航空会社は“命を運ぶ” 仕事、いずれも“すみません”はまかり通りません!
(イラスト:唐仁原彩瑛さん)
形態マガジン号キャプテン 阿南 建一 
今回は、骨髄の細胞同定と形態診断に挑みます。
細胞同定は骨髄でよく遭遇する細胞と類似細胞を提示しました。鑑別を要するポイントを捉え同定してみて下さい。
症例編は、僅かな臨床および検査所見と、末梢血のMG染色、骨髄のMG染色、それにリンパ節スタンプ標本のMG染色から形態診断を試みて下さい。また、確定診断に必要な所見ならびに本型と類似する疾患を考え、その鑑別ポイントについても述べて下さい。
骨髄の細胞同定を行なって下さい。
BM-MG.1000

BM-MG.1000

BM-MG.1000

BM-MG.1000

BM-MG.1000

BM-MG.1000

BM-MG.1000

BM-MG.1000

末梢血・骨髄像より考えられる疾患と鑑別疾患のポイントは何ですか。
【所見】
【60-65歳.男性】
主訴:全身倦怠感(+)、リンパ節腫大(+)、肝脾腫大(軽度)
WBC5,300/μL、RBC258万/μL、Hb7.2g/dL、Ht24.3%、PLT22.4万/μL、NCC5.2万/μL、TP9.5g/dL、LD420U/L、Ca8.7mg/dL、矢印細胞の出現(PB.2%,BM.6%)
PB-MG×1000

BM-MG×400

BM-MG×1000

LN-MG×1000

問題 1
(正解と解説)
骨髄の類似細胞を提示しましたので、鑑別ポイントを明確にして同定を試みて下さい。細胞径は15~25μm大の細胞になります。
【正答】
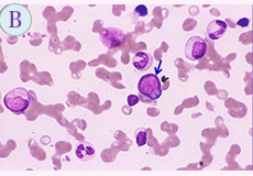
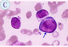
(Case A) 前骨髄球
(Case B) 前単球
(Case C) 形質細胞
(Case D) 巨赤芽球(多染性)
(Case E) 低分葉核巨核球(小型)
(Case F) 形質細胞
(Case G) 細網細胞
(Case H) 幼若好酸球
【解説】







問題 2
60歳代の男性例。全身倦怠感を主訴に来院し、貧血を指摘され、精査のため骨髄穿刺が施行されました。
【解説】
(PB-MG×1000)

(BM-MG×400)

(BM-MG×1000)

(LN-MG×1000)

これから先のページでは、医療関係者の方々を対象に医療機器・体外診断薬等の製品に関する情報を提供しております。当社製品を適正に使用していただくことを目的としており、一部の情報では専門的な用語を使用しております。
一般の方への情報提供を目的としたものではありませんので、ご了承ください。
医療関係者の方は、次のページへお進みください。
(お手数ですが、「進む」ボタンのクリックをお願いします)