この夏、日本列島は猛暑から酷暑の日々、裏山のある高台に住むわが家にもセミの鳴き声がうるさく響きます。その一瞬“ホーホケキョ!”エッ、ウグイス?、そういえばウグイスは年に2回繁殖するそうで、遅いものは8月のお盆頃までさえずるらしいです(なっとく‥)。
今年も6月28日~7月8日頃にかけ、西日本を中心に北海道や中部地方、四国地方など全国規模にまたがった豪雨は各地に被害をもたらしました。7月21日警察庁のまとめでは、死者220人、行方不明10人、避難生活4,481人となっています。
西日本豪雨で甚大な浸水被害を受けた岡山県倉敷市真備町で、多くの住民が取り残されるなか、15時間かけて約120人を水上バイクで救助した青年(N氏.29歳)がいました。趣味で水上バイクの免許を取得したNさんは、燃料を何度も補充しながら午前4時頃までに必死に救助を続けました。援助の途中お年寄りに向って“じいちゃん、命がけで助けたんじゃけ、長生きしてよ。絶対で‥”、それに対し、“あんたは、町のヒーロー。命の恩人じゃ”とお返ししたそうです(朝日新聞.2018.7.19)。空からの救済風景はよく見かけますが、陸の救援手段の1つとして国土交通省の危機管理部に更なる検討を託したい。しかし、豪雨の際「宴会自慢」をやらかす想像力欠如の連中にその危機管理能力があるのかは疑問です(恥ずかしい‥)。
“暑中お見舞い申し上げます”この時候の挨拶も、今年の暑さは格別で埼玉・熊谷で観測史上最高41.1度(2018.7.23.14:45)を記録しました。天気予報では“命に関わる危険な暑さ”と報じられ、熱中症対策はもとより“水中毒”にも注意喚起がなされ、水の大量摂取による塩分不足には気をつけたいものです。
熱中症といえば、11年前にさかのぼりますが、第23回那覇フルマラソン(2007.12月)に参加した際、ゴール付近で気分が悪く、吐き気を催し、口の中は砂漠状態、水分補給するも間に合わず、自力で回復したことが想い出されます。12月初めの那覇は気温が高く26度位あり、給水場所では補給するという教訓でした。結局、那覇マラソンは4回完走しておりますが、暑さに勝てずいつも5時間を超えるタイムです。ちなみに最高タイムは、宮崎青島太平洋マラソンで4時間40分でした。
日本列島は今後“酷暑”が予測されますが、感覚障害の高齢者へ向かう私にとってせめて家のなかでの熱中症と水中毒には気をつけたいものです。
形態マガジン号キャプテン 阿南 建一 
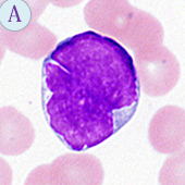
今回は、骨髄におけるリンパ系腫瘍疾患を提示しました。
なかには、特徴ある形態を呈する細胞や鑑別細胞として認識しておかないといけない細胞も含まれています。
症例編は、わずかな臨床像と検査データから次なる検査を模索し、末梢血および骨髄像から臨床診断を試みて下さい。
骨髄の細胞同定を行ってください。






光顕的所見から臨床診断を考えて下さい。
【所見】
【Case7】 35-40歳.男性
主訴:白血球数増加、肝脾腫
WBC120,800/μL、RBC487万/μL、Hb14.3g//dL、Ht44.7%、PLT45.9万/μL、NCC62.4万/μL
PB-MG×1000

BM-MG×400

BM-MG×1000

BM-MG×600

問題 1
骨髄像からリンパ性腫瘍疾患を考えてみて下さい。
【解説】





問題 2
35-40歳.男性。白血球数の著増と肝脾腫がみられました。
【解説】
(PB-MG×1000)

(BM-MG×400)

(BM-MG×1000)

(BM-MG×600)

これから先のページでは、医療関係者の方々を対象に医療機器・体外診断薬等の製品に関する情報を提供しております。当社製品を適正に使用していただくことを目的としており、一部の情報では専門的な用語を使用しております。
一般の方への情報提供を目的としたものではありませんので、ご了承ください。
医療関係者の方は、次のページへお進みください。
(お手数ですが、「進む」ボタンのクリックをお願いします)