JR九州が開催した「第14回九州駅弁グランプリ」(2024年3月7日発表)は1,927件の投票の中から、鹿児島県肥薩線・嘉例川駅の「花の待つ駅かれい川」弁当(やまだ屋)が連覇を成し遂げしました。選出方法は九州駅弁グランプリ対象駅弁(45種類)の中で、味・こだわり・郷土感・盛り付け・パッケージ・価格を採点項目にしたお客様の投票結果と特別審査員4名の加点によるものでした。グランプリに選ばれたやまだ屋は、家族3人による手作り弁当で、昔ながらの竹皮製の弁当箱に霧島産黒米、特産の紅さつま(芋)をかき揚げにした郷土料理「がね」、卵焼き、酢ごぼう、梅肉を詰めた里芋のごま団子、サツマイモのかき揚げ、アジのつけ揚げ、薩摩赤鶏と椎茸の煮物、デザートにけせん団子など薩摩料理満載です。「花の待つ駅かれい川」のネーミングをはじめ、郷土感あふれる愛情たっぷりのおもてなしが審査員の心をつかんだようです。気になるお値段は1,500円です。代表の方は“美味しかった、幸せだなって思ってほしいと思い弁当をつくってきました”と振り返っています。準グランプリには長崎駅の「坂本屋角煮めし」、鹿児島中央駅の「わっぜえうまか!!薩摩黒膳弁当でごわす。」が選ばれました。
駅弁は昔から旅の気分を一層盛り上げてくれる鉄道旅行の楽しみの一つでもありますが、今では全国各地で趣向を凝らした駅弁フエアも開催されています。そもそも駅弁の登場は1885年(明治18年)宇都宮駅が初めてといわれ、ゴマをまぶしたにぎりめし2個とたくわんを竹皮に包んだものでした。そばが1杯1銭の時代に一つ5銭と贅沢品といえます。竹皮は通気性に富み、殺菌、防腐や強靭な繊維質から強度もあり、最適な包装資材とされますが、近年竹皮に似せたものは見るものの本物を見る機会は少なくなってきたようです。
新緑が芽を吹き花も咲きはじめる季節、列車で旅を楽しむ機会が多くなり「駅弁めぐり」も乙なものかと思われます。ご当地で育まれた食材を使い、手間ひまとたっぷりの愛情で作られた駅弁を味わってみては如何でしょうか。

第14回九州駅弁グランプリを制覇した
「花の待つ駅かれい川弁当」(やまだ屋)
(資料:JR九州HP)

鹿児島薩摩線.嘉例川駅
(資料:鹿児島県観光ガイド)

2024年3月号の問題. 下記のご質問をいただきましたがどのようにお答えしますか。
| 【Q1】 | 結核で単球が増加することを経験しますがその動態を教えてくださいますか。 | |
| 【助言1】 | 体内における単球の動態は骨髄で種々のサイトカイン(IL-3,GM-CSFなど)の作用によって、造血幹細胞から約1週間をかけて分化し、血中に入ると3~4日で組織球に移行してマクロファージに変身後、数ヵ月の寿命をとるといわれます。マクロファージの機能的特徴は貪食能であり、組織における異物、老廃物、微生物などを貪食して処理し、機能亢進状態では、その反応の場で産生されるIL-3(T細胞由来)やGM-CSFなどが血流を介して骨髄に送られ単球の増産を促します。 |
| 【助言2】 | 結核の場合、単球は結核菌を貪食し部分的に破壊し、その際に出る菌体成分のリン脂質が単球を類上皮細胞にかえ肉芽腫を形成します。この肉芽腫では単球の細胞回転が高まっていて単球増加症を引き起こすとされます。このことは結核が活動性である証拠にもなっているようです(Garcia-Riego A, et al.1978)。 |
![]() |
中野優・外山圭助先生:白血球.p75-77.中外医学社.1994 元吉和夫先生:白血球の疾患;三輪血液病学.p1321-1322.文光堂.2006 |
| 【Q2】 | 赤血球の染色性で高色素性と多染性と記載されますが同じものとして捉えるのでしょうか。 | |
| 【助言1】 | 高色素性(hyperchromasia)は、MG染色で赤血球の厚さが増しHbの色調が強調され全体がピンク色に染まったものとされます。すなわちHb含量の低下していない赤血球や球状化し厚みが顕著に増加した赤血球(MCHC上昇)のことになりますが、正常赤血球みられる中央淡明部を欠いて全体が赤色調に濃染してみえます。一方、多染性(polychromasia)は、MG染色でHbの色調に加えて青~灰色が混ざったもので、青色調は主としてRNA(リボソーム)の存在によるもので網赤血球の特徴の1つとされます。双方は異なる所見として捉えます。 |
| 【助言2】 | 偽ペルゲル核異常の好酸球の捉え方は好中球と同様で低分節に注意を払い、幼若型(特に後骨髄球や骨髄球)との鑑別が必要になります。核はほぼ円形でクロマチン構造が掴めず、細胞質の広さに不釣り合いの小さめの核が特徴のようです(a、b)。なかでも偽ペルゲル核異常の好酸球(b)と鑑別を要するのは骨髄球(c)で、それは細胞質の広さに釣り合いの核の大きさを有しクロマチン構造は粗いながらも掴めそうで顆粒は大きいようです。 |
![]() |

2024年4月号の問題. 下記のご質問をいただきましたがどのようにお答えしますか。
| 【Q1】 | WHO分類のAML-M6aが削除されましたが、その理由とM6aはどこに分類されることになったのですか。また、M6bを経験したことがありませんので教えていただけますでしょうか。 |
|

形態マガジン号キャプテン 阿南 建一

「細胞同定」については、骨髄像の同定に挑戦します。紛らわしい細胞や鑑別を要する細胞を提示しましたので試みてください。
「ワンポイントアドバイス」は、AML-M6について解説します。
問題1
BM-MG.1000

BM-MG.1000

BM-MG.1000

BM-MG.1000

問題
骨髄像の細胞同定を行ってください。
【解説】本例はびまん性大細胞型B細胞リンパ腫の治療中の骨髄です。

A-1. 直径14μm大、核は湾曲し棒状でクロマチンの結節を認め、細胞質は橙紅色で二次顆粒とみなし桿状核球にしました。
A-2. 直径8μm大、核は円形でクロマチンはやや濃縮状ですが、細胞質は紫紅色とみなし正染性赤芽球にしました。
A-3. 直径14μm大、核の中央部は折れ曲がりクロマチンの結節を認めることから桿状核球にしました。
A-4. 直径27μm大、核は楕円状でクロマチンは細網状、細胞質は好塩基性で片側に紡錘形状の突起を認め細網細胞の一種として線維細胞としました。ただ核が大きいことから線維芽細胞かも知れません。
A-5.6. 直径9μm大、核は円形でクロマチンの凝集が僅かながら認め、細胞質は青紫色のことから多染性赤芽球と思われます。

B-1. 直径16μm大、核は偏在しクロマチンは繊細網状、細胞質は軽度好塩基性で顆粒を認めず骨髄芽球にしました。
B-2. 直径13μm大、核は最小幅が最大幅の1/3未満(日臨技.1996)とみなし分葉核球にしました。
B-3.4. 直径10μm大、核は円形で偏在傾向にありクロマチンの凝集を認めることから多染性赤芽球にしました。

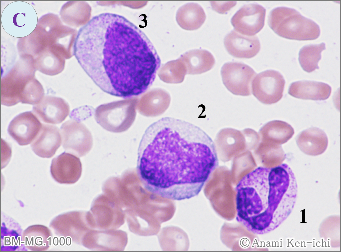
C-1. 直径14µm大、核のくびれとクロマチンの結節を認め、細胞質は二次顆粒とみなし分葉核球にしました。
C-2. 直径15μm大、核は一部不整でクロマチンは粗剛、細胞質は軽度好塩基性がみられ幼若単球にしました。前骨髄球も考えられますが核形不整と細胞質色が合致しないようです。
C-3. 直径17μm大、核は類円形で偏在し前骨髄球を思わせますが、クロマチンは粗剛、細胞質は橙黄色のことから骨髄球にしました。

D-1. 直径23μm大、核は不整形で偏在しクロマチンは繊細、細胞質は軽度好塩基性で顆粒を認めないことから芽球にしました。芽球は細胞質が広すぎことでどの系統かは不明です。
D-2. 直径12µm大、全体像から分葉核球にしました。
D-3. 直径26μm大、核は楕円形状で偏在しクロマチンは粗網状、細胞質は好塩基性で二次顆粒とみなし前骨髄球にしました。
これから先のページでは、医療関係者の方々を対象に医療機器・体外診断薬等の製品に関する情報を提供しております。当社製品を適正に使用していただくことを目的としており、一部の情報では専門的な用語を使用しております。
一般の方への情報提供を目的としたものではありませんので、ご了承ください。
医療関係者の方は、次のページへお進みください。
(お手数ですが、「進む」ボタンのクリックをお願いします)