3月号に続き「菅原道真公」を取り上げ、今回は“梅” との関係について紹介してみたいと思います。時は平安、道真公は第59代「宇多天皇」に重用され右大臣に任じられますが、後の醍醐天皇の時に左大臣の藤原時平らの策略により、901年太宰府に左遷されます。当時、左大臣の方が高位とされ藤原家にとって学識高い道真公は目ざわりな存在であり、朝廷に対する陰謀の疑いをかけられたことが左遷の理由で、家族との別れを惜しむ間もなく京都を離れることになります。
道真公は幼少の頃から梅をこよなく愛したことから左遷される折り、京都の自邸の梅の木に“東風(こち)吹かば匂ひおこせよ梅の花あるじなしとて春な忘れそ”を詠み別れを告げます。すると道真公を慕った梅の木は一夜にして太宰府に飛来し根付いたという「飛梅(とびうめ)伝説」があります。以来、飛梅は御神木とされ色玉垣の白梅で極早咲きの八重の品種とされます。そして道真公の梅との別れの歌は和歌・大鏡に出典されています。
太宰府天満宮といえば名物の梅ケ枝餅が有名で参道には30軒ほどの店舗が立ち並んでおります。この梅ケ枝餅は、太宰府の地で悄然としていた道真公に老婆(浄妙尼)が餅を梅の枝にさして供えたことが由来とされ、よもぎを好んだ道真公と命日(25日)に合わせ、毎月25日は白餅に加えよもぎ餅も販売されます。ちなみにつぶ餡が定番で一個130円です。
道真公は「学問の神様」としても知られ、毎年受験を控えた学生たちが参拝されますが、今年は1月12日が飛梅の開花であり、大学入学共通テストに間に合うように咲いたようです。そして境内の約200種6,000本の梅の花は3月中旬まで咲き誇り、受験生を温かく見守ってくれました。私も道真公にあやかり今年の2月、玄関先に白梅を植樹し“飛々梅(とびとびうめ)”と名付けて毎朝拝んでおります。

ご神木“飛梅”の今年の開花は
1月12日でした(工事中です)。
(撮影:阿南.2024.1.28)

境内には200種 約6,000本の梅の花が
3月中旬頃まで咲きほこっています。

道真公の命日(25日)は白餅に加えて
よもぎ餅も食べ比べできます。
(資料:JR九州HP)

我が家の白梅は“飛々梅”と名付けて
毎朝拝んでおります。(2024.2.22植樹)
(撮影:2024.5)
2024年4月号の問題. 下記のご質問をいただきましたがどのようにお答えしますか。
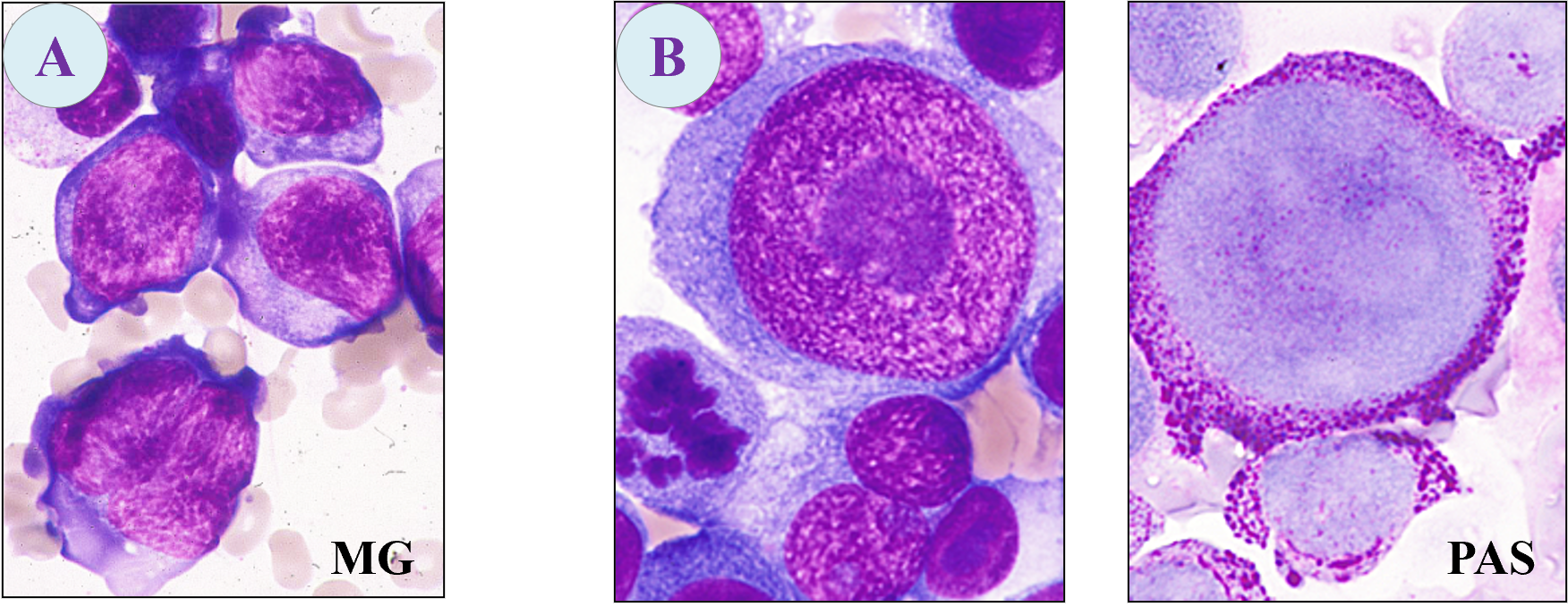
| 【Q1】 | WHO分類のAML-M6aが削除されましたが、その理由とM6aはどこに分類されることになったのですか。また、M6bを経験したことがありませんので教えていただけますでしょうか。 | |
| 【助言1】 | AML-M6は急性赤白血病を指しFAB分類のM6aとM6bに相当します。従来から芽球の比率の求め方は赤芽球の比率から算定されていましたが、WHO分類改訂第4版(2017)から骨髄有核細胞(ANC)中に変更されたことでM6aが他の病型へ移行されました。すなわち芽球20%以上の場合はAMLの他の病型に、20%未満の場合はMDSに分類されます。そしてM6bはWHO分類第5版(2023)では、ANC中の赤芽球が80%以上、前赤芽球が30%以上の定義のもとAcute erythroid leukamia(AEL)として分類されます。 |
| 【助言2】 | 経験したAELに相当する症例を提示します(A.B)。A.前赤芽球や好塩基性赤芽球の幼若型の増加を認めた症例です。B.極大の前赤芽球や多核などが優位でそれらはPAS染色に顆粒状の陽性を認めました。本型の形態は赤芽球に似合わない大型で核形不整、多核、空胞などを呈する未熟型が多く、これらにはcarbonic anhydrase Ⅰ(CAI)のマーカーが有効とされます。 |


2024年5月号の問題. 下記のご質問をいただきましたがどのようにお答えしますか。
| 【Q1】 | 普通染色でメイグリュンワルド染色液からギムザ染色液に入れる際、成書では緩衝液でメイグリュンワルドを落とすと書いてありますが、それを省略したり、水を使用したりすると、染色にどのような影響が出るのか教えていただきたいです。また、普通染色で細胞質が青色に染まるのはどのような理由からでしょうか。 |
|

形態マガジン号キャプテン 阿南 建一

「細胞同定」については、骨髄像の同定に挑戦します。紛らわしい細胞や鑑別を要する細胞を提示しましたので試みてください。
「ワンポイントアドバイス」は、AML-M6について解説します。
問題1
BM-MG.1000

BM-MG.1000

BM-MG.1000

BM-MG.1000

問題
骨髄像の細胞同定を行ってください。
【解説】

A-1. 直径15μm大、核は円形で中心性、クロマチンは虎斑状、細胞質は周辺が不規則性で好塩基性がみられ、核周明庭や空胞を認めることから形質細胞にしました。
A-2. 直径18μm大、核は偏在し核形不整がみられクロマチンは網状、細胞質は軽度好塩基性でわずかに微細顆粒を認めることから幼若単球にしました。
A-3. 直径 10μm大、核は類円形でクロマチンは凝集塊状、細胞質は僅かに認め青紫色とみなし多染性赤芽球にしました。
A-4. 直径22µm大、細胞および核は楕円状で核形不整を認めクロマチンは粗網状、細胞質は軽度好塩基性で不規則がみられることから細網細胞、紡錘状のことから線維細胞かと思われます。

B-1. 直径17μm大、核は類円形でクロマチンは粗剛、一部に核小体(?矢印)を認めるようで前骨髄球を思わせますが、顆粒が小さいことやゴルジ野の不明から未熟骨髄球も考えられそうです。
B-2. 直径16μm大、核は長方形でクロマチンは粗剛、核幅の短径が長径の1/3以上の長さから後骨髄球にしました。
B-3. 直径15μm大、核はバナナ状でクロマチンは粗剛、核幅の短径が長径の1/3未満として桿状核球にしました。
B-4. 直径13μm大、核は分葉傾向でクロマチンは結節状、細胞質は二次顆粒とみなし分葉核球にしました。

C-1. 直径15µm大、核は長方形でクロマチンは粗剛、核幅の短径が長径の1/3以上の長さから後骨髄球にしました。
C-2. 直径14μm大、核はバナナ状でクロマチンは結節状、細胞質は二次顆粒とみなし桿状核球にしました。
C-3. 直径15μm大、核形は不整でクロマチンはやや粗荒、細胞質は軽度の好塩基性から単球にしました。
C-4. 直径11μm大、核は円形で中心性、クロマチンは凝集塊状、細胞質は青紫色から多染性赤芽球にしました。
C-5. 直径13μm大、核は分葉しクロマチンは結節状のことから分葉核球にしました。

D-1. 直径10μm大、核は円形でクロマチンは凝集塊状、細胞質は濃い青紫色から多染性赤芽球にしました。
D-2. 直径8µm大、小型で核は円形でクロマチン構造は不明ですが、細胞質は青紫色のことから正染性というより多染性赤芽球にしました。
D-3. 直径13μm大、核は類円形で偏在しクロマチンは不明瞭、細胞質は淡褐色で空胞を認め顆粒は不明ですが、好塩基球(幼若型)にしました。
D-4. 直径13μm大、核はねじれクロマチンは結節状のことから分葉核球にしました。
これから先のページでは、医療関係者の方々を対象に医療機器・体外診断薬等の製品に関する情報を提供しております。当社製品を適正に使用していただくことを目的としており、一部の情報では専門的な用語を使用しております。
一般の方への情報提供を目的としたものではありませんので、ご了承ください。
医療関係者の方は、次のページへお進みください。
(お手数ですが、「進む」ボタンのクリックをお願いします)