今年の4月に、福岡市内から東へ約12km付近に位置する糟屋(かすや)郡笹栗町(ささぐりまち)にある南蔵院(なんぞういん)を訪れました。ここでは全長41メートル、高さ11メートル、重さ300トンの巨大な涅槃像(ねはんぞう)が迎えてくれます。南蔵院が長年ミャンマーやネパールの子供たちに支援物資を贈り続けた返礼として贈られたお釈迦様、阿難様、目連様の三尊仏舎利を安置する場所として、1995年に釈迦涅槃像は完成しました。
ブロンズ製の涅槃像としては世界最大級で、 町のシンボルとして「ねぼとけさん」の愛称で親しまれています。仏教の開祖である釈迦が弟子たちに見守られて、身を横たえ息を引き取る姿を表した涅槃仏で、涅槃とは我々が言う死ではなく、煩悩の火を吹き消したことで、入滅とか入涅槃といわれます。また、足の裏にはお釈迦様の尊い教えと慈悲の心が文様として書かれています。
篠栗四国霊場の総本寺である南蔵院は、空海(弘法大師)を拝する八十八ヶ所の霊場の総称で篠栗八十八ヶ所または篠栗霊場とも呼ばれています。涅槃像は内部にも入れるようになっていて、護摩木(ごまぎ)を奉納すると、涅槃像の体内参拝(お砂踏み)で四国八十八ヶ所をお参りすることができます。護摩木とは、お護摩祈願で使用する特別な薪(たきぎ・まき)です。
篠栗の釈迦涅槃像のご利益はというと、“金運を祈る”とありますが、これには裏話があって、南蔵院のご住職が宝くじの1等を当てたことから、金運アップという別の意味もあることに驚いております。
それはともかく、全ての煩悩が消え、全ての苦が無くなり、最も悟りを開いているお姿に会えるのも「ねぼとけさん」の魅力でしょうか。

2024年9月号の問題. 下記のご質問をいただきましたがどのようにお答えしますか。
| 【Q1】 | 好中性顆粒球の前骨髄球と骨髄球の鑑別がうまくいきません。典型的な場合は判りますが、そうでない場合によく混乱しますのでアドバイスをお願いします。 | |
| 【助言1】 | 分裂能を有する好中性顆粒球のなかには移行形(中間型)が出現します。判別に混乱する細胞の多くは骨髄球と思われますのでそれに絞って解説します。まず典型的な骨髄球は直径16~23µm大、核はほぼ円形でクロマチンは粗大粗剛、細胞質は橙黄色で小さな二次顆粒を有します。鑑別細胞は前骨髄球になりますが、顆粒は二次的に増減することを考えると、双方の違いは核質すなわちクロマチンの差にあり、骨髄球はクロマチンが粗剛で核小体を認めません。なかには前骨髄球に近い大きさもみられますが、核質の違いがポイントで移行形として“未熟骨髄球” に捉えると双方の線引きがうまくいくと思われ、判定は骨髄球に分類します。 (図1. 典型的な骨髄球、2.3. 未熟骨髄球、4. 前骨髄球) |


2024年10月号の問題. 下記のご質問をいただきましたがどのようにお答えしますか。
| 【Q1】 | basket cellが出現した場合にアルブミン処理で行っていますが、スピナー標本の作製も対策の1つと聞きましたが、その形態情報について教えてください。 |
|

形態マガジン号キャプテン 阿南 建一

「細胞同定」については、骨髄像の同定に挑戦します。紛らわしい細胞や鑑別を要する細胞を提示しましたので試みてください。
「ワンポイントアドバイス」は、好中性顆粒球の前骨髄球と骨髄球の鑑別についての問い合わせです。特に移行形の捉え方がポイントと思われますので解説します。
問題1
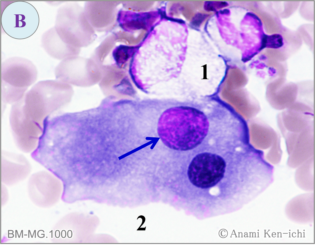
BM-MG.1000

BM-MG.1000

BM-MG.1000

BM-MG.1000

問題
骨髄像の細胞同定を行ってください。
【解説】

A-1. 直径20µm大、大型で核は偏在し、細胞質には赤紫色の粗大顆粒を認めます。赤紫色の顆粒はエオジン色素とイオン結合したものと思われ幼若好酸球(前骨髄球あたり)にしました。
A-2. 直径9μm大、小型で核は偏在しクロマチンは粗剛、細胞質は淡青色のことからリンパ球にしました。
A-3. 直径8μm大、N/C比は高そうですが、肝心の細胞質が不明のことから裸核にしました。

B-1. 直直径16µm大、大型で核は偏在し、ハレーションのため、クロマチンと細胞質の詳細な所見は掴めません。全体像から前骨髄球かも知れません。
B-2. 直径45μm大、とても大型で豊富な細胞質は好塩基性の染まりにムラがみられ空胞を有し、核は上段(矢印)のものと思われます。全体像から大型の形質細胞として捉え、下段の裸核は偶然に細胞質に乗かかったものと思われます。

C-1. 直径8µm大、小型で核は粗剛で濃染性、僅かにみえる細胞質は好塩基性で空胞を有することから小リンパ球にしました。
C-2. 直径15μm大、核は桿状で湾曲しクロマチンはやや粗剛、細胞質は軽度の好塩基性に顆粒を認めることから単球にしました。核所見は桿状核球を思わせますが、細胞質の不規則性や色調そして顆粒の大きさは合致しないようです。
C-3. 直径15µm大、核は円形でクロマチンは粗大粗荒、細胞質の顆粒は豊富ですが二次顆粒とみなし骨髄球にしました。

D-1. 直直径22µm大、核は円形でクロマチンは顆粒状、核小体はあるようですが不明瞭、細胞質は好塩基性が強度で突起物を認めることから前赤芽球にしました。
D-2. 直径17μm大、右側が赤血球と被り通常より委縮してみえます。核は偏在しクロマチンは粗網状、細胞質は好塩基性で太めの顆粒は一次顆粒とみなし前骨髄球にしました。
これから先のページでは、医療関係者の方々を対象に医療機器・体外診断薬等の製品に関する情報を提供しております。当社製品を適正に使用していただくことを目的としており、一部の情報では専門的な用語を使用しております。
一般の方への情報提供を目的としたものではありませんので、ご了承ください。
医療関係者の方は、次のページへお進みください。
(お手数ですが、「進む」ボタンのクリックをお願いします)