今年の7月、全国的に「リュウゼツラン」の開花が話題になりました。数十年という長い年月をかけて開花するといわれることから、センチュリープラント(世紀の植物)とも呼ばれ、メキシコ原産の大型の多肉植物で、肉厚で鋭いトゲのある大きな葉を竜の舌に例え、竜舌蘭(りゅうぜつらん)の和名がついています。日本では比較的寒さに強い「アオノリュウゼツラン」が多く、7月~8月に開花し、開花期間は1~2週間ほどといわれます。
10mほどの高さで茎の先端周辺に房状で黄色い花を咲かせ、この樹液には刺激物が含まれていて、肌に触れると軽度の皮膚炎を引き起こすことがあるようです。折しも宮崎の知人が、風光明媚な宮崎県日南市の海岸沿いに数本開花したリュウゼツランの写真を送ってきてくれました。黄色の花をみることはできなかったようですが、拝見すると熱帯に自生する植物のような印象でした。花言葉は“繊細”や“貴婦人”といわれます。
メキシコ原産といえば、数年前まで「コウテイ(皇帝)ダリア」(和名.コダチダリア)が拙宅にありました。メキシコや中南米が原産のキク科の植物でダリアのなかでも最も大きく成長し、草丈は5m程になり、やさしく透明感のあるピンクや紫の花を咲かせます。開花は11月~12月で径15~20㎝ほどの巨大な頭状花を数輪~数十輪咲かせます。
ダリアの球根は一度植え付ければ植えっぱなしでも大丈夫とされますが、数年前の積雪や大霜により株元を腐らせてしまい、今は面影を偲ぶしかありません。ちなみに花言葉は“乙女の真心” や“乙女の純潔” ともいわれます。
日本の気候は今や亜熱帯気候化しているともいわれ、年々熱帯・亜熱帯植物のニュースが飛び込んできそうですが、季節の移ろいを感じることが少なくなるのではないかと心配しております。
草丈10mほどのリュウゼツラン、熱帯地帯に自生する植物を思わせ、黄色の花を咲かせます。
(撮影:二反田隆夫さん. 2020.7.19. 日南海岸)
草丈5mほどの皇帝ダリア、ピンクの花が秋空に映えます。
(撮影:阿南. 2020.11.10. 拙宅)
2024年10月号の問題. 下記のご質問をいただきましたがどのようにお答えしますか。
| 【Q】 | basket cellが出現した場合にアルブミン処理で行っていますが、スピナー標本の作製も対策の1つと聞きましたが、その形態情報について教えてください。 | |
| 【助言】 |
裸核の対策としてアルブミン添加標本とスピナー標本の作製があります。スピナー標本の作製には卓上型遠心塗抹装置が必要になります。操作は4,700rpm/1.5sec.で行いますが、EDTA採血後の検体の経時的変化によって細胞が縦伸びすることがありますので新鮮な検体を用いることを推奨します。
|
|



2024年11月号の問題. 下記のご質問をいただきましたがどのようにお答えしますか。
| 【Q1】 | 検査科のローテーションで今年から血液室に配属されました。先日、末梢血に赤芽球が出現していて、リンパ球と間違って観察しておりました。リンパ球と赤芽球の鑑別法を教えて下さいますか。 |
|

形態マガジン号キャプテン 阿南 建一

「細胞同定」については、骨髄像の同定に挑戦します。紛らわしい細胞や鑑別を要する細胞を提示しましたので試みてください。
「ワンポイントアドバイス」は、裸核対策の1つとしてスピナー法についてふれてみました。
問題1
BM-MG.1000

BM-MG.1000

BM-MG.1000


問題
骨髄像の細胞同定を行ってください。
【解説】

A-1.直径26µm大、大型で核は類円形、N/C比は低くクロマチンは繊細顆粒状で核小体は不明瞭、細胞質の好塩基性は強く6時方向は突起を認めることから前赤芽球にしました。
A-2.直径16μm大、核質や核縁は不明で、細胞質は豊富で大きめの赤紫色の顆粒がみられることから肥満細胞と思われます。本顆粒は好塩基球に類似してヘパリンやヒスタミンを含みますが、水溶性でないため顆粒が抜けることはないようです。

B-1.直径15µm大、核は桿状(バナナ状)でクロマチンは粗大粗剛、細胞質は橙紅色で顆粒は小さく二次顆粒とみなし桿状核球にしました。
B-2.直径16μm大、核は不規則性でクロマチンは粗網状、細胞質は軽度好塩基性で微細顆粒を認めることから単球にしました。
B-3.直径15μm大、核は長方形で陥没しクロマチンは粗剛、核幅の長径と短径比が3:1未満のことや細胞質は橙紅色で顆粒が小さく二次顆粒とみなし後骨髄球にしました。

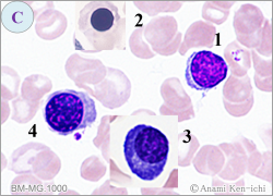
C-1.直径10μm大、核は円形で偏在しクロマチンは粗剛、細胞質は好塩基性のことから小型リンパ球にしました。
C-2.直径9μm大、核は中心性でクロマチンは濃縮状、細胞質は紫紅色のことから正染性赤芽球にしました。
C-3.直径12µm大、核は偏在しクロマチンは粗大凝集(虎斑状)、細胞質は好塩基性が強度で核周に明庭を認めることから形質細胞にしました。
C-4.直径11μm大、核は円形で偏在しクロマチンは粗大凝集状、細胞質は青紫色のことから多染性赤芽球にしました。

D-1.大型(計測不可)、核は長方形でクロマチンは細網状、細胞質は不明で血小板の貪食がみられることから、血球貪食細胞と思われます。
D-2.芽球は16μm大、N/C比は高くクロマチンは網状で核小体を認め、細胞質は好塩基性で顆粒は認めず骨髄芽球と思われます。
D-3.直径10μm大、核は円形で偏在しクロマチンは粗大凝集状、細胞質は青紫色から多染性赤芽球にしました。
これから先のページでは、医療関係者の方々を対象に医療機器・体外診断薬等の製品に関する情報を提供しております。当社製品を適正に使用していただくことを目的としており、一部の情報では専門的な用語を使用しております。
一般の方への情報提供を目的としたものではありませんので、ご了承ください。
医療関係者の方は、次のページへお進みください。
(お手数ですが、「進む」ボタンのクリックをお願いします)