「あまだれ」「せせらぎ」「ひだまり」「こもれび」「ゆうばえ」、これらの四つの文字には一つの濁音をもち、“癒し”の言葉をイメージする四文字とされます。最初の二文字を息で吸い込み1~2秒、間をおきます。すると新鮮な酸素が肺のすみずみに運ばれ、気持ちよさを感じ、力が手足の先まで届くようです。そして、ゆっくり息を吐いて最後の二文字を……。時には目を閉じて、息を整えて、故郷の風景を想い浮かべることもよいでしょう。
これは、「写真でつづる癒し憩い」(牛尾恭輔先生.監修)の1ページです(http://iyashi-ikoi.net/book)。牛尾先生は、九州がんセンター名誉院長ならびに癒し憩いネットワークの理事長であられます。先生は、2007年5月に医療と福祉の増進、心のケアを図る活動、支援事業としてNPO法人「癒し憩いネットワーク」を設立され、入院患者さんがベッドサイドのモニターから全国を旅することができるように、患者さんのための“癒し憩いの瞬間(とき)”を作成されたのです。牛尾先生は消化器内科のご専門でありますが、退職後はがんセンターの研修棟で本ネットワークのお仕事をなされ現在も続けられております。2015年には「心の原風景と時の流れ」(海鳥社.DVD付)をご出版されましたが、ご自身が全国を駆け巡って写真を撮影されるその行動力には驚かされています。これらの業績が認められ、「瑞宝中授賞(2022.11.3)を授賞されています。
私は、現役最後の国立病院機構九州がんセンター(2004~2008)でご一緒させていただきました。先生の仰せにより、九州がんセンター血液腫瘍画像データベースの構築を完成させ、また同じ時期にベックマン・コールター社さんのデーベースの監修にも携わることができ、今日のマンスリーマガジンにつながっています。先生の優しくてとても気さくなお人柄に今日も支えられております。
日本各地の原風景を知るにふさわしい「癒し憩い」の書です、皆さんの故郷もきっとみつかりますよ。

2025年9月号の問題. 下記のご質問をいただきましたがどのようにお答えしますか。
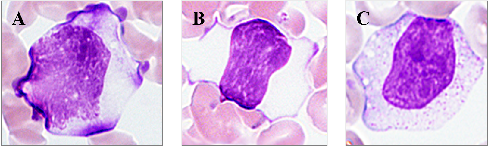
| 【Q1】 | 大リンパ球と単球の見分け方についての質問です。大きくて細胞質の青味が強めのリンパ球と青味が少ないリンパ球、また単球の鑑別に悩んでおります。鑑別の方法を教えてください。 | |
| 【助言1】 | ご質問から細胞質の青味が強めとは異型リンパ球(反応性リンパ球)、青味が少ないとは大リンパ球を考えます。単球も含めて鑑別ポイントを解説致します。下図に異型リンパ球(A)、大リンパ球(B)、単球(C)を提示します。大きさは異型リンパ球と単球が16μmを超えることが多く、異型リンパ球は核クロマチンの粗剛さと細胞質の好塩基性(青色)が強く、大リンパ球はクロマチンの粗剛さは同じですが、細胞質の好塩基性は薄れ(淡青色)、単球はクロマチンは繊細さで細胞質の好塩基性は薄れ(灰青色)微細顆粒が充満して空胞をもつことが特徴になります。 | |

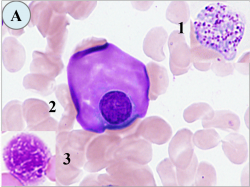
| 【Q2】 | 血液室に配属され、末梢血液像にみられるリンパ球と有核赤血球の鑑別がうまくいきません。何かアドバイスを頂けますか。 | |
| 【助言2】 | 末梢血に有核赤血球(赤芽球)の出現は、髄外造血や摘脾後に遭遇することがあるために類似する小リンパ球との鑑別が求められます。大きさは共に赤血球よりやや大きく11~12μm大で、異なる所見は核クロマチンの様相と細胞質の色調にあると考えます。下図に小リンパ球(A)と多染性赤芽球(B)を提示します。共に核は円形で、A.はクロマチンが粗剛で凝集塊は乏しく細胞質は好塩基性(青色)を呈し、B.はクロマチンが粗剛で凝集塊が強く細胞質は多染性(青紫色)の色調が特徴としてみられます。 | |


2025年10月号の問題. 下記のご質問をいただきましたがどのようにお答えしますか。
| 【Q1】 | 骨髄検査の骨髄穿刺液はマイクロテイナーに入れて検査室で標本作製を行っています。形態観察に影響があることは周知しておりますが、骨髄採取後、何時間経過してから形態異常は起こるのでしょうか。また、形態異常を教えてください。 |
|
| 【Q2】 | 顕微鏡観察時の顕微鏡の取り扱いの注意点や油浸レンズ使用後のレンズの拭き取りをどのようにすればよいか教えてください。 |
|

形態マガジン号キャプテン 阿南 建一

「細胞同定」については、骨髄像の鑑別細胞を提示しました。画像は高倍率(1,000倍)で提示しています。細胞の大きさは赤血球の大きさを対照に判定してください。
「ワンポイントアドバイス」は、細胞の観察においては二次的変化の少ない方を優先することをお薦めします。例えば、顆粒球系は細胞質に脱顆粒などが起こるために核所見を優先に、赤芽球系は核に巨赤芽球様変化が起こるために細胞質所見を優先にして観察することです(私見)。
問題1
BM-MG.1000

BM-MG.1000

BM-MG.1000

BM-MG.1000

問題
骨髄像の細胞同定を行ってください。
【解説】

A-1. 直径13μm大、そもそも存在していた核が抜け出し、残存する細胞質の顆粒がむき出しになったアーチファクトとしました。血小板にみえますが、血小板は中央が顆粒質、辺縁は硝子質の形態を示すことで異なります。
A-2. 直径25μm大、核は偏在し豊富な細胞質は濃ピンク色に包まれ、形状から形質細胞を考えます。ピンク色は産生すべき免疫グロブリンが細胞質に蓄積したもので酸性色素(エオジン)と結合したものとされます。
A-3. 直径12µm大、細胞全体が壊れたようで核影にしました。

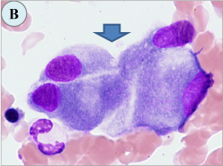
B. 直径30μm大、4個の細胞が集塊をなしています。共通所見として、核は類円形で極度に偏在しクロマチンは細網状、細胞質は青色で明庭部は核から離れてみられ、核が細胞質から飛び出そうとする細胞(右上)もみられます。全体像から骨芽細胞(造骨細胞)の集塊と考えますが、通常は単発にみられます。

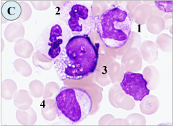
C-1. 直径15μm大、核は桿状で湾曲しクロマチンは粗剛、細胞質の顆粒は細かく二次顆粒とみなし桿状核球にしました。
C-2. 直径13µm大、核は分葉しクロマチンは結節状のことから分葉核球にしました。
C-3. 直径22µm大、右辺縁は赤血球に押されていますのでもっと大きくなりそうです。核は類円形で不整がみられ、クロマチンは無構造で細胞質の空胞が特徴で、それは核の上にもみられます。空胞の大きさから顆粒は大きいことが推測され好塩基球が考えられます。細胞ならびに核の大きさから幼若好塩基球(前骨髄球あたり)にしました。
C-4. 直径14µm大、核は類円形でクロマチンは粗剛、核幅の短径が長径の1/3以上、細胞質は淡橙色で顆粒は細く二次顆粒とみなし後骨髄球にしました。

D-1. 直径25μm大、核はほぼ円形でクロマチンは網状、細胞質は淡青色で一部辺縁が不鮮明であることから細網細胞にしました。
D-2. 直径22µm大、N/C比はやや高く(約70%)、核は類円形でクロマチンは網状繊細、細胞質は青色で顆粒は認めず骨髄芽球にしました。
これから先のページでは、医療関係者の方々を対象に医療機器・体外診断薬等の製品に関する情報を提供しております。当社製品を適正に使用していただくことを目的としており、一部の情報では専門的な用語を使用しております。
一般の方への情報提供を目的としたものではありませんので、ご了承ください。
医療関係者の方は、次のページへお進みください。
(お手数ですが、「進む」ボタンのクリックをお願いします)