日本と朝鮮半島との国交を長く断絶させる不幸な出来事の舞台となった肥前名護屋(ひぜんなごや)城跡が佐賀県唐津市鎮西町に残っています。「文禄・慶長の役」(1592~1598)、豊臣秀吉は全国平定後、中国・朝鮮半島の侵略を企て、この地に名護屋城を築き出兵基地としました。わずか5か月で築城され、当時の大阪城に次ぐ規模を誇り、周囲には130以上に上る諸大名の陣屋が構築され、全国から20万人を超える人々が参集されたと言われます。大名のなかには徳川家康、前田利家、伊達政宗、加藤清正、黒田長政、真田昌幸など錚々たる武将たちの陣屋跡が今も多数残されています。秀吉は二度にわたる朝鮮出兵を試みるも敗北し、豊臣政権が弱体化する原因となり、1598年の秀吉の死により撤退し7年にも及ぶ戦いは終結しました。
朝鮮出兵は、民族的トラウマと反日感情、朝鮮王朝(宣祖国王)の文化財の損失など、今の韓国に多大な爪痕を残しました。朝鮮では、「壬辰(じんしん)・丁酉(ていゆう)の倭乱(わらん)」と言われ、侵略戦争の歴史として記憶されています。この歴史には互いに認識の相違があると言われ、現在の日韓関係における摩擦の背景の一つとなっていますが、その一方で過去の歴史を克服し、和解を試みる動きも見られます。
佐賀県立名護屋城博物館には、原始・古代から中世に及ぶ国交の歴史や日本文化の発展に多大な影響を与えた外来文化を示す考古・美術・工芸が展示されています。これが日韓関係の交流の展望となればと願っております。私は30年前に交友を深めた韓国の仕事仲間の皆さんと今もなお交流が続いております。歴史の問題は残されていますが、個人の信頼関係を築くことができていることは嬉しいことです。

2025年10月号の問題. 下記のご質問をいただきましたがどのようにお答えしますか。
| 【Q1】 | 骨髄検査の骨髄穿刺液はマイクロティナーに入れて検査室で標本作製を行っています。 形態観察に影響があることは周知しておりますが、骨髄採取後、何時間経過してから形態異常は起こるのでしょうか。また、形態異常を教えてください。 |
|
| 【助言1】 | マイクロティナーにEDTAが添加されたものは形態変化を起こすことが考えられます。 形態変化は一般に1時間位から起こるといわれますので、せめて30分以内に標本作製を行うべきかと考えます。その形態異常とは、細胞や核の萎縮、顕著な核形不整、クロマチンの粗剛化、細胞質の顆粒減少、アウエル小体の減少、空胞化などを経験するため、形態診断には注意を払うことになります。もし使用された場合は上記の形態変化を念頭に置くことになります。 また、ヘパリンを添加したマイクロティナーはヘパリンが塩基性色素(メチレンアズール)と結合しますので標本全体が赤っぽく染まり細胞の判定ができません。 |
|
| 【Q2】 | 顕微鏡観察時の顕微鏡の取り扱いの注意点や油浸レンズ使用後のレンズの拭き取りをどのようにすればよいか教えてください。 | |
| 【助言2】 | 顕微鏡の取り扱いにはじっくり取説を読むことに尽きます。なかでも光軸の調整、眼幅の調整、ピント合わせ、照明の調整、レンズの切り替え、スライドガラスの設置(平行に)などを習得し理解することです。顕微鏡が共有の場合は眼幅の調整に気配りします。長時間の思考作業にもなりますので仲良くお付き合いしましょう。 油浸後レンズ使用後のレンズの拭き取りにつきましては、経験から、ニコンさんのレンズの洗浄用として光学機器洗浄剤(IC-O1NK)を専用のペーパーに吹きかけて軽く拭き取っていました。その昔、キシレンを使用したことがありましたが、レンズのコーテイング材を侵し、損傷させることがありますので避けるべきです。 |
|

2025年11月号の問題. 下記のご質問をいただきましたがどのようにお答えしますか。
| 【Q1】 | 白赤芽球症と類白血病反応の区別がつきませんのでご教示ください。また、骨髄線維症は類白血病反応として捉えてもよいでしょうか。 |
|
| 【Q2】 | AMLのMPO染色で芽球の弱陽性の判定に迷っています。一個の芽球につきどのくらい染まっていれば陽性ととるのでしょうか。 また、MDSの際に出現するMPO陰性好中球は何個中何個あれば異形成ととるなど具体的な評価指標はあるのでしょうか。 |
|

形態マガジン号キャプテン 阿南 建一

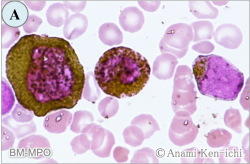
「細胞同定」は、骨髄における非造血細胞のなかで類似細胞の鑑別に挑戦します。
「ワンポイントアドバイス」は、骨髄穿刺液の採取時にマイクロティナーを用いた場合の形態変化について考えます。また、顕微鏡観察時の顕微鏡の取り扱いの注意点と油浸レンズ使用後のレンズの拭き取り方について解説します。
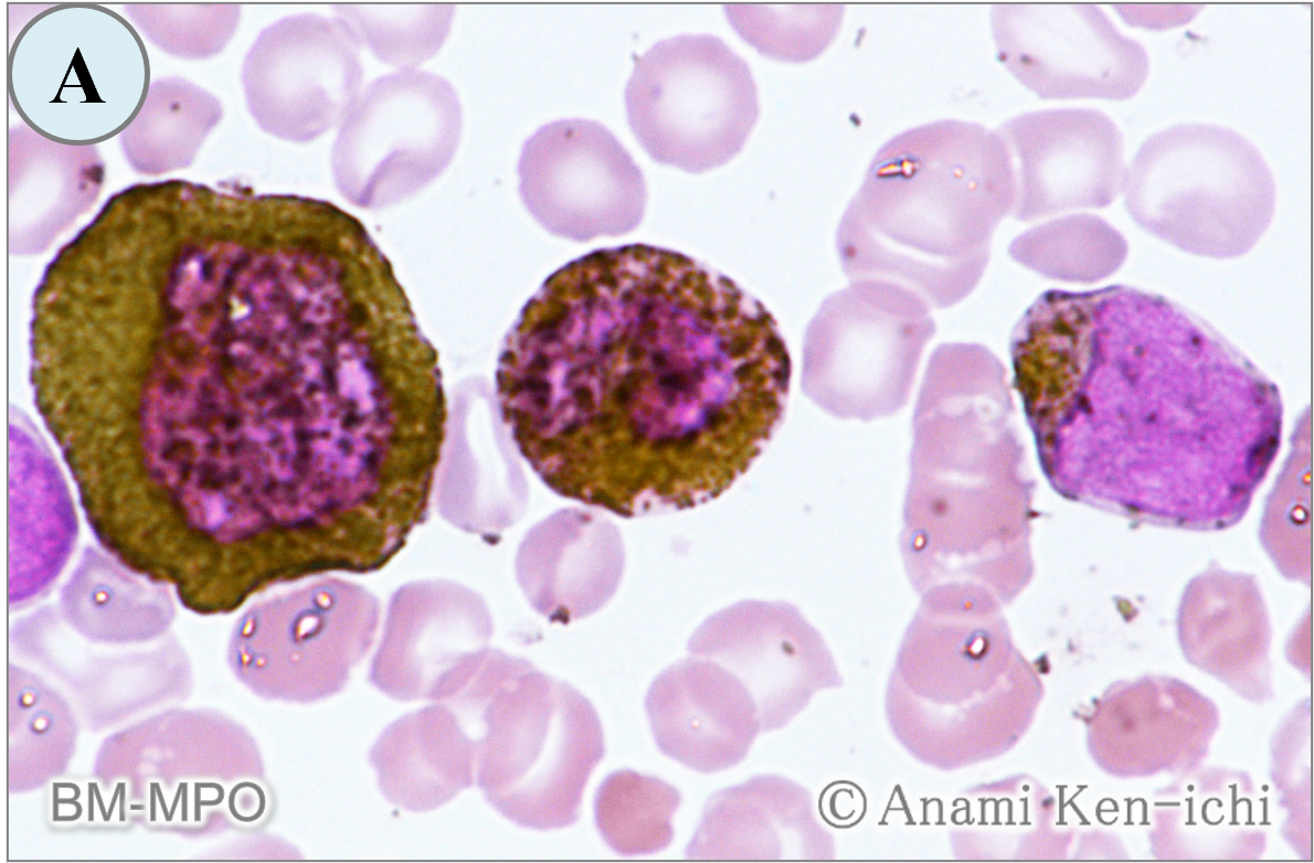
問題1
陽性は何の細胞ですか。

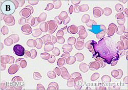
所見を述べ、次に必須の検査と予想される疾患をお考えください。

所見を述べ、次に必須の検査と予想される疾患をお考えください。

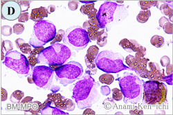
所見を述べ、次に必須の検査と予想される疾患をお考えください。

問題
骨髄像の細胞同定を行ってください。
【解説】


B. 末梢血の矢印の細胞は、大型で核は偏在し、細かい顆粒が散らばってみえます。この細胞1個では判定できませんので周囲の状況から単一の様式であったことから腫瘍性が疑われます。顆粒は小さいものの前骨髄球に類似しています。まずはMPO染色で強陽性を呈することを証明し異常の前骨髄球(APL細胞)として捉えます。骨髄穿刺では90%がAPL細胞で満たされ、豊富な顆粒を有しアウエル小体や束状(ファゴット)も認めました。FISH法でPML::RARA融合遺伝子を認め、急性前骨髄性白血病(APL)と診断されました。末梢血と骨髄の形態が異なることは珍しくありません。

C. 骨髄のMG染色とPAS染色です。(左)MG染色は小型でN/C比の高い芽球を認めます。(右)PAS染色は点状ならびに粗大顆粒状の強陽性を呈することからリンパ芽球と判定します。他の芽球(骨髄芽球、単芽球など)は通常は陰性で陽性の場合は細顆粒状に染まりますので陽性態度は異なります。前駆B細胞マーカー(TdT、CD19、CD10、CD79aなど)の発現を認め、前駆B細胞性リンパ芽球白血病・リンパ腫と診断されました。

D. 骨髄のMPO染色です。全体像から単球系の増加を考え、(右下)はMPO陽性の幼若単球ですが、他は陰性の単球で占められています。単球が優位のことから急性単球性白血病を疑い、単芽球よりも前単球が優位のことから分化型の単球性白血病(M5b)を考えます。類似の慢性骨髄単球性白血病は顆粒球系の混在もみられますので本例とは異なるものとなります。
これから先のページでは、医療関係者の方々を対象に医療機器・体外診断薬等の製品に関する情報を提供しております。当社製品を適正に使用していただくことを目的としており、一部の情報では専門的な用語を使用しております。
一般の方への情報提供を目的としたものではありませんので、ご了承ください。
医療関係者の方は、次のページへお進みください。
(お手数ですが、「進む」ボタンのクリックをお願いします)