葛飾北斎(1760-1849)は皆様もよくご存知の江戸時代後期に一世を風靡した浮世絵師です。19歳で勝川派の頭領、勝川春章に師事し絵師として活動を始め、88歳で亡くなるまでの約70年間、3万4千点を超える作品を世に出したと言われます。代表作は富士山をテーマにした「富嶽三十六景」で、このシリーズの「神奈川沖浪裏」は“波裏の富士”として知られ、海外でも高く評価されています。その多くは木版画とされます。その北斎、生涯約93回も引っ越しを繰り返す“引っ越し魔”だったようで、1日に3回転居したという逸話があり、転居先は現在の墨田区周辺だったそうです。その理由には掃除が苦手だったという説や、幕府の弾圧を避けるためといった諸説があり、住所欄には居所不定と記されたといわれます。
さて北斎の右腕として画業をサポートし晩年まで身の回りの世話をしたといわれる絵師、葛飾応為(おうい)が存在します。北斎の三女で、北斎から絵の才能を受け継ぎ、幼名は「お栄(おえい)」といい、北斎が「おーい、おーい!」と呼んでいたことから「応為」(画号)と名づけられたそうです。当時としては珍しい女性の絵師として活躍し、父から学んだ技術に加え、西洋画のような「陰影」を駆使した技法を取り入れたことで“美人画は北斎を凌ぐ”とも言われ、北斎からも一目置かれるほどでした。応為は北斎の弟子と結婚しましたが、自分より絵が下手という理由で離婚し、その後、北斎のもとで画業に専念することになります。応為の代表作とされる「吉原格子先の図(よしわらこうしさきのず)」は、江戸の遊郭・吉原の光と闇を描き出した肉筆画で、応為の代名詞ともいえる作品となっています。北斎は複数の流派や西洋画の手法を取り入れつつも伝統的な線描中心の表現を極めたのに対し、応為は西洋的な「光と影」の技法を積極的に取り入れ、独自の空間表現と叙情性を追求した点が、両者の最も大きな技法的な違いと言われます。
折しも、葛飾応為の人生を描いた映画、「おーい、応為」が10/17(金)より公開されましたので、注目しているところであります。皆さま、2025年もお付き合いくださりありがとうございました。良いお年をお迎えください!

2025年11月号の問題. 下記のご質問をいただきましたがどのようにお答えしますか。
| 【Q1】 | 白赤芽球症と類白血病反応の区別がつきませんのでご教示ください。また、骨髄線維症は類白血病反応として捉えてもよいでしょうか。 | |
| 【助言1】 | 白赤芽球症は末梢血に幼若顆粒球や有核赤血球(赤芽球)が出現する状態で、骨髄の機能障害や髄外造血が関与しているとされます。原発性骨髄線維症、がんの骨髄転移などがあげられます。一方、類白血病反応は白血病以外の原因で起こり、末梢血中の白血球数が著しく増加(50,000/μL以上)しますが、基礎疾患が原因とされます。多くは好中球の増加ですが、リンパ球の増加では百日咳菌感染や伝染性単核球症があげられます。 骨髄線維症は骨髄の線維化によって造血能が低下するために肝臓や脾臓が造血を代償する(髄外造血)役目を担いますが、骨髄のような防御機構がないために幼若細胞や赤芽球が末梢血に出現することになります。従って、類白血病反応としては扱わないとされます。また、類白血病反応は基礎疾患による反応性であるのに対し、骨髄線維症は骨髄増殖性腫瘍の一種であり、双方の病態は根本的に異なるものとされます。 |
|
| 【Q2】 | AMLのMPO染色で芽球の弱陽性の判定に迷っています。一個の芽球につきどのくらい染まっていれば陽性ととるのでしょうか。またMDSの際に出現するMPO陰性好中球は何個中何個あれば異形成ととるなど具体的な評価指標はあるのでしょうか。 | |
| 【助言2】 | MPO染色は感度が高いベンチジン誘導体を用いたDAB法を前提に解説致します。腫瘍性芽球1個に対し、細胞質内(稀に核内)に少しでも染まっていれば陽性と判定します。AMLでは芽球100個中に3個以上の陽性をもってAMLと診断します。MDSでみられるMPO陰性の好中球については具体的な基準はなく、数個でもあれば報告に値するものと考えています。記録として好中球100個中〇個が陰性として残すことは必要かと思います。 | |

2025年12月号の問題. 下記のご質問をいただきましたがどのようにお答えしますか。
| 【Q1】 | ヒトパルボウイルスB19感染に出現する前赤芽球の形態は正常の前赤芽球と同じでしょうか、また赤芽球癆に関して形態情報を教えてください。 |
|
| 【Q2】 | 標的赤血球は、サラセミアや肝疾患で出現するといわれますが、その出現機序は異なるのでしょうか。 |
|

形態マガジン号キャプテン 阿南 建一

「細胞同定」は、末梢血では見逃し禁止のAPL細胞と久しぶりに特殊染色にも挑戦しました。特殊染色では判定の評価について学びます。
「ワンポイントアドバイス」は、白赤芽球症と類白血病反応や骨髄線維症について、またAMLの芽球におけるMPO染色の判定や好中球におけるMPO陰性についての評価を解説します。
問題1
染色の種類と細胞の判別をお答えください。
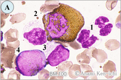
BM.100

MG染色の細胞同定を行ってください。
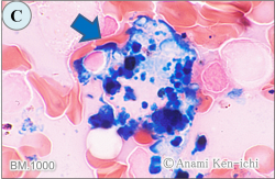
PB-MG.1000

染色の種類と細胞の判別をお答えください。
BM.1000

染色の種類と細胞の判別をお答えください。
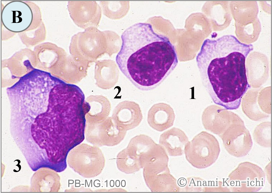
BM.1000

問題
A.C.D.の染色の種類と細胞の判別をお答えください。
B.はMG染色の細胞同定を行ってください。
【解説】


B. 末梢血のMG染色です。
B-1,2. 直径15μm大、N/Cは低く、核は偏在し軽度の不整を認めクロマチンは粗剛で、細胞質は青色が中等度のことから大リンパ球にしました。
B-3. 直径22μm大の大型で、N/Cが低くクロマチンが粗剛で、細胞質の青色が強度のことから異型リンパ球にしました。

C. 骨髄の鉄染色です。中央にはマクロファージが鉄顆粒(青色)を沢山貪食した像がうかがえます。この鉄顆粒は非フェリチン鉄(ヘモジデリン)が染まったものとされ、マクロファージの周囲に成熟赤芽球が取り囲んだ場合を赤芽球島とよび、赤芽球がマクロファージから鉄の補給をしているシーンともいわれます。本像では赤芽球の取り囲みは少ないようです。

D. アセテート・エステラーゼ染色です。本例は、AML-M5の分化型の症例で、単球系の腫瘍細胞(矢印)がびまん性陽性を呈したものです。本染色は非特的エステラーゼ染色の1つですが、陽性所見がびまん性に染まるために弱陽性の判定には困難なことが多く細心の注意を払う必要があります。
これから先のページでは、医療関係者の方々を対象に医療機器・体外診断薬等の製品に関する情報を提供しております。当社製品を適正に使用していただくことを目的としており、一部の情報では専門的な用語を使用しております。
一般の方への情報提供を目的としたものではありませんので、ご了承ください。
医療関係者の方は、次のページへお進みください。
(お手数ですが、「進む」ボタンのクリックをお願いします)