前 略
2004年4月私は9年ぶりに九州がんセンターの勤務となりました。がんセンターでの勤務は技師生活の半分(19年)を過ごしたことになり、終着の駅としての最後の務めとなりました。しかし、厳しい医療状況の中、独立行政法人化されたセンターの臨床検査科技師長として検査室の業務・経営改善を進めることになりました。目標を立てるのですが元来“ドンブリ勘定”の私ですので(笑)、なかなか先に進めない日々が続き、“地震、雷、火事、技師長”とスタッフには陰口を叩かれておりました。しかし、人間って不思議なものですね。その気になれば1つ1つ改善案が思い浮かんでくるものです。やっと検査科は“改革を求める軍団”として委員会を立ち上げ改善に向けてスタートしました。業務改善には、今まで見て見ぬ振りをしていた事や蓋をされていた事など痛みを伴う意識の改革が必要です。しかし、いつの時代でも大将一人では何もできません。良き参謀と家臣によって城は守られるように検査科スタッフの協力無しには何もできません。そんな思いで毎日を過ごしておりました。
ある日の主任会議で私はこんなことを言い出しました“私は腹を掻っ捌く覚悟でいるから、主任も頑張って欲しい‥” と、今思えばゾーッとしますがよく言えたもんだと感心しておりました‥。
To be continued !
草々
形態マガジン号キャプテン 阿南 建一 
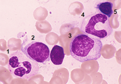
今回は、骨髄の顆粒球系細胞の鑑別と末梢血のPO染色の読み方です。顆粒球系の分化・成熟については、以前にも示しました通りDiggsら(1956)の“血球分化・成熟に伴う一般的原則”に従って同定しましょう。しかし、巨核球系細胞は白血球系や赤血球系とは異なる分化・成熟を示します。また、特殊染色(細胞化学染色)は、正常な血球細胞の染まり方を理解しないと応用できません。今回のシリーズでは特殊染色の判定について挑戦していきます。
CASE 1の細胞像を確認して1 ~ 10の細胞の同定を行ってください。
BM-MG×1000

BM-MG×1000

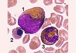
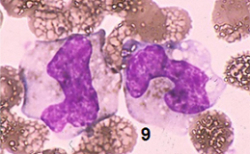
CASE 2の細胞像を確認して1 ~ 9の細胞の同定を行ってください。
PB-PO×1000

PB-PO×1000

PB-PO×1000

PB-PO×1000







これから先のページでは、医療関係者の方々を対象に医療機器・体外診断薬等の製品に関する情報を提供しております。当社製品を適正に使用していただくことを目的としており、一部の情報では専門的な用語を使用しております。
一般の方への情報提供を目的としたものではありませんので、ご了承ください。
医療関係者の方は、次のページへお進みください。
(お手数ですが、「進む」ボタンのクリックをお願いします)